The Journal of Practical Medicine ›› 2026, Vol. 42 ›› Issue (5): 792-800.doi: 10.3969/j.issn.1006-5725.2026.05.009
• Chronic Disease Control • Previous Articles
Yazhou ZHAO1,Lewen WU1,Zhe ZHANG1,Hongtao LI1,Yuan SONG2(
)
Received:2025-11-12
Online:2026-03-10
Published:2026-03-09
Contact:
Yuan SONG
E-mail:songyuan3947@126.com
CLC Number:
Yazhou ZHAO,Lewen WU,Zhe ZHANG,Hongtao LI,Yuan SONG. Effect of Xiaozhong Zhitong Mixture on oxidative stress and inflammatory injury in diabetic ulcer rats through the AMPK/SIRT1/NF-κB signaling pathway[J]. The Journal of Practical Medicine, 2026, 42(5): 792-800.
Tab.1
Primer sequences"
| 基因名称 | 引物序列(5′-3′) | 基因长度/bp |
|---|---|---|
| AMPK | F: GAGAAGCAGAAGCACGACGG | 170 |
| R: CCAACAACATCTAAACTGCGAATC | ||
| SIRT1 | F: GCATCACACGCAAGCTCTAG | 258 |
| R: GCACTCTTGTAGTAACTTCAC | ||
| IL-6 | F: CTCCGCAAGAGACTTCCAGC | 127 |
| R: TCTGACCACAGTGAGGAATG | ||
| TNF-α | F:CCAGGAGAAAGTCAGCCTCCT | 103 |
| R: TCATACCAGGGCTTGAGCTCA | ||
| GAPDH | F:CATCTTCTTGTGCAGTGCC | 217 |
| R:ACCAGCTTCCCATTCTCAG |
Tab.3
Levels of TNF-α, IL-6, and IL-10 expression levels in rat wound tissues among the groups"
| 组别 | IL-6 | TNF-α | IL-10 | |||
|---|---|---|---|---|---|---|
| 第7天 | 第14天 | 第7天 | 第14天 | 第7天 | 第14天 | |
| Control组 | 25.4 ± 3.21 | 24.8 ± 2.91 | 15.2 ± 1.82 | 14.9 ± 1.63 | 75.3 ± 4.82 | 77.1 ± 4.53 |
| Model组 | 85.6 ± 8.72## | 110.5 ± 9.33## | 77.8 ± 6.91## | 90.4 ± 8.53## | 20.1 ± 2.72## | 15.8 ± 2.12## |
| XZZT组 | 58.9 ±6.51?? | 42.3 ± 4.82?? | 45.2 ± 5.17?? | 28.7 ± 3.35?? | 39.6 ± 3.94?? | 52.8 ± 5.70?? |
| XZZT+CC组 | 72.8 ± 9.72▲▲ | 77.8 ± 5.91▲▲ | 70.5 ± 7.61▲▲ | 79.1 ± 8.14▲▲ | 22.5 ± 2.81▲▲ | 18.9 ± 2.35▲▲ |
| CC组 | 88.0 ± 6.08? | 114.5 ± 6.53? | 79.5 ± 5.05? | 92.6 ± 6.07? | 18.5 ± 3.05? | 14.5 ± 2.52? |
| F值 | 98.42 | 326.64 | 168.44 | 228.43 | 481.72 | 641.53 |
| P值 | < 0.001 | < 0.001 | < 0.001 | < 0.001 | < 0.001 | < 0.001 |
Tab.4
SOD activity and MDA content in wound tissues among different groups of rats"
| 组别 | MDA/(nmol/mg) | SOD/(U/mg prot) | ||
|---|---|---|---|---|
| 第7天 | 第14天 | 第7天 | 第14天 | |
| Control组 | 6.84 ± 0.41 | 7.14 ± 0.11 | 1.16 ± 0.01 | 1.19 ± 0.01 |
| Model组 | 24.64 ± 40.10## | 28.21 ± 80.13## | 0.58 ± 0.03## | 0.44 ± 0.09## |
| XZZT组 | 18.93 ± 0.14?? | 16.07 ± 60.12?? | 0.91 ± 0.03?? | 1.04 ± 0.07?? |
| XZZT+CC组 | 20.89 ± 00.23▲▲ | 21.06 ± 0.16▲▲ | 0.63 ± 0.01▲▲ | 0.58 ± 0.02▲▲ |
| CC组 | 25.76 ± 50.48? | 29.52 ± 0.77? | 0.53 ± 0.03? | 0.39 ± 0.10? |
| F值 | 1 395.62 | 1 672.57 | 981.66 | 225.48 |
| P值 | < 0.001 | < 0.001 | < 0.001 | < 0.001 |
Tab.5
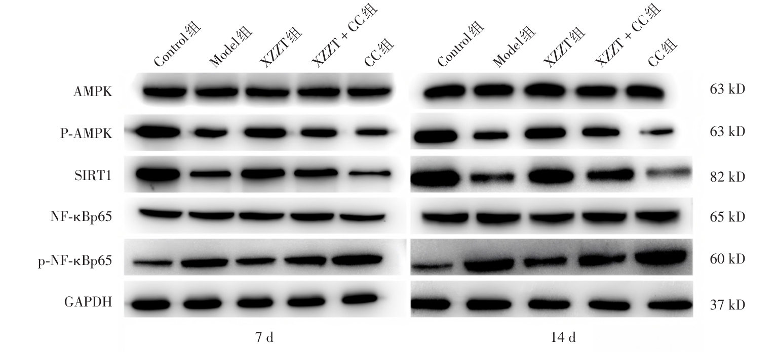
Quantitative analysis of AMPK/SIRT1/NF-κB pathway protein expression in wound tissues of rats from each group x ± s"
| 组别 | p-AMPK/AMPK | SIRT1 | p-NF-κB/ NF-κB | |||
|---|---|---|---|---|---|---|
| 第7天 | 第14天 | 第7天 | 第14天 | 第7天 | 第14天 | |
| Control组 | 0.98 ± 0.11 | 1.03 ± 0.07 | 0.99 ± 0.06 | 1.07 ± 0.06 | 1.09 ± 0.08 | 0.99 ± 0.05 |
| Model组 | 0.43 ± 0.08?? | 0.33 ± 0.12?? | 0.47 ± 0.03?? | 0.36 ± 0.10?? | 1.89 ± 0.11?? | 2.71 ± 0.16?? |
| XZZT组 | 0.79 ± 0.15## | 0.90 ± 0.14## | 0.74 ± 0.12## | 0.89 ± 0.06## | 1.57 ± 0.08## | 1.27 ± 0.10## |
| XZZT+CC组 | 0.48 ± 0.05▲▲ | 0.51 ± 0.05▲▲ | 0.52 ± 0.04▲▲ | 0.49 ± 0.09▲▲ | 1.75 ± 0.04▲▲ | 2.25 ± 0.09▲▲ |
| CC组 | 0.39 ± 0.04 | 0.30 ± 0.08 | 0.43 ± 0.07 | 0.35 ± 0.07 | 2.53 ± 0.07 | 3.73 ± 0.21 |
| F值 | 59.18 | 93.08 | 86.38 | 143.07 | 348.63 | 446.18 |
| P值 | < 0.001 | < 0.001 | < 0.001 | < 0.001 | < 0.001 | < 0.001 |
Tab.6
The mRNA expression levels of AMPK, SIRT1,IL-6, and TNF-α in wound tissues of rats in each group"
| 组别 | AMPK | SIRT1 | ||
|---|---|---|---|---|
| 第7天 | 第14天 | 第7天 | 第14天 | |
| Control组 | 1.01 ± 0.18 | 0.99 ± 0.10 | 1.05 ± 0.09 | 0.97 ± 0.21 |
| Model组 | 0.41 ± 0.03** | 0.33 ± 0.02** | 0.46 ± 0.04** | 0.37 ± 0.04** |
| XZZT组 | 1.34 ± 0.12## | 1.59 ± 0.07## | 1.38 ± 0.07## | 1.69 ± 0.05## |
| XZZT + CC组 | 0.68 ± 0.03▲▲ | 0.62 ± 0.08▲▲ | 0.63 ± 0.04▲▲ | 0.55 ± 0.07▲▲ |
| CC组 | 0.32 ± 0.05 | 0.26 ± 0.05 | 0.30 ± 0.03 | 0.25 ± 0.06 |
| F值 | 141.09 | 348.77 | 460.18 | 240.67 |
| P值 | < 0.001 | < 0.001 | < 0.001 | < 0.001 |
| 组别 | IL-6 | TNF-α | ||
| 第7天 | 第14天 | 第7天 | 第14天 | |
| Control组 | 1.04 ± 0.23 | 0.98 ± 0.17 | 1.07 ± 0.14 | 1.11 ± 0.08 |
| Model组 | 3.22 ± 0.45** | 3.82 ± 0.22** | 3.06 ± 0.31** | 3.52 ± 0.10** |
| XZZT组 | 1.67 ± 0.25## | 1.21 ± 0.16## | 1.48 ± 0.13## | 1.21 ± 0.13## |
| XZZT + CC组 | 2.38 ± 0.17▲▲ | 2.93 ± 0.09▲▲ | 2.34 ± 0.24▲▲ | 3.04 ± 0.37▲▲ |
| CC组 | 3.37 ± 0.33 | 4.03 ± 0.28 | 3.19 ± 0.19 | 3.65 ± 0.15 |
| F值 | 87.25 | 432.76 | 156.35 | 250.44 |
| P值 | < 0.001 | < 0.001 | < 0.001 | < 0.001 |
| [1] |
FAN Z, HUANG J, LIU Y, et al. Multifactorial analysis of risk factors for foot ulcers in patients with neurovascular complications of diabetes[J]. Front Endocrinol (Lausanne),2024,15:1399924.doi:10.3389/fendo.2024.1399924 .
doi: 10.3389/fendo.2024.1399924 |
| [2] |
MOHSIN F, JAVAID S, TARIQ M, et al. Molecular immunological mechanisms of impaired wound healing in diabetic foot ulcers (DFU), current therapeutic strategies and future directions[J]. Int Immunopharmacol,2024,139:112713.doi:10.1016/j.intimp. 2024.112713 .
doi: 10.1016/j.intimp. 2024.112713 |
| [3] |
XU Y, HU Q, WEI Z, et al. Advanced polymer hydrogels that promote diabetic ulcer healing: Mechanisms, classifications, and medical applications[J]. Biomater Res,2023,27(1):36.doi:10.1186/s40824-023-00379-6 .
doi: 10.1186/s40824-023-00379-6 |
| [4] |
CHEN L, LI Y, ZHANG X, et al. A one-two punch of inflammation and oxidative stress promotes revascularization for diabetic foot ulcers[J]. Mater Today Bio,2025,31:101548.doi:10.1016/j.mtbio.2025.101548 .
doi: 10.1016/j.mtbio.2025.101548 |
| [5] |
RAJA J M, MATURANA M A, KAYALI S, et al. Diabetic foot ulcer: A comprehensive review of pathophysiology and management modalities[J]. World J Clin Cases,2023,11(8):1684-1693.doi:10.12998/wjcc.v11.i8.1684 .
doi: 10.12998/wjcc.v11.i8.1684 |
| [6] |
WANG X, ZHANG W, MAO L, et al. Inflammation-related gene ITGA5 affects the healing of diabetic foot ulcers through PI3K-AKT signaling pathway[J]. Eur J Pharmacol,2025,1002:177865. doi:10.1016/j.ejphar.2025.177865 .
doi: 10.1016/j.ejphar.2025.177865 |
| [7] |
THEODOULOU A, SPECKMANN T, POTAMITI L, et al. Stbd1 stimulates AMPK signaling and alleviates insulin resistance in an in vitro hepatocyte model[J]. FEBS J, 2025, 292(11):2882-2901.doi:10.1111/febs.70040 .
doi: 10.1111/febs.70040 |
| [8] |
ABEBIMANESH N, ASGHARI S, MOHAMMADNEJAD K, et al. The anti-diabetic effects of betanin in streptozotocin-induced diabetic rats through modulating AMPK/SIRT1/NF-kappaB signaling pathway[J]. Nutr Metab (Lond),2021,18(1):92.doi:10.1186/s12986-021-00621-9 .
doi: 10.1186/s12986-021-00621-9 |
| [9] |
张效科,苏虹霞,段玉红. 《中国糖尿病足防治指南(2019版)》中医治疗部分解读[J]. 现代中医药,2022,42(2):17-19. doi:10.13424/j.cnki.mtcm.2022.02.003 .
doi: 10.13424/j.cnki.mtcm.2022.02.003 |
| [10] |
魏晓涛,何志军,刘涛,等. 消肿止痛合剂对糖尿病溃疡模型大鼠创面愈合的影响[J]. 中国病理生理杂志,2023,39(5):902-909. doi:10.3969/j.issn.1000-4718.2023.05.016 .
doi: 10.3969/j.issn.1000-4718.2023.05.016 |
| [11] |
韩潇,刘涛,宋渊,等. 消肿止痛合剂对糖尿病足溃疡模型大鼠创面组织血管生成及Dll4/Notch1信号通路的影响[J]. 中医杂志,2025,66(16):1695-1703.doi:10.13288/j.11-2166/r.2025.16.012 .
doi: 10.13288/j.11-2166/r.2025.16.012 |
| [12] |
肖颖馥,盛文,张锦明,等. 基于数据挖掘的糖尿病前期动物模型应用特点分析[J]. 中国中医基础医学杂志,2023,29(8):1288-1295. doi:10.19945/j.cnki.issn.1006-3250.20230506.001 .
doi: 10.19945/j.cnki.issn.1006-3250.20230506.001 |
| [13] |
党赢,焦雨琦,海日,等. 基于PINK1/parkin通路介导线粒体自噬探讨冲和膏促进糖尿病溃疡创面愈合的机制[J]. 中国病理生理杂志,2025,41(2):338-347. doi:10.3969/j.issn.1000-4718. 2024.00.023 .
doi: 10.3969/j.issn.1000-4718. 2024.00.023 |
| [14] |
乔靖,宋渊,沈稼轩,等. 消肿止痛合剂调控PI3K/Akt/mTOR信号通路对糖尿病足溃疡大鼠细胞自噬的影响[J]. 时珍国医国药,2024,35(9):2099-2103. doi:10.3969/j.issn.1008-0805. 2024.09.11 .
doi: 10.3969/j.issn.1008-0805. 2024.09.11 |
| [15] |
CHEN L, SUN S, GAO Y, et al. Global mortality of diabetic foot ulcer: A systematic review and meta-analysis of observational studies[J]. Diabetes Obes Metab,2023,25(1):36-45. doi:10.1111/dom.14840 .
doi: 10.1111/dom.14840 |
| [16] |
杜明威,朱信霖,廖万清,等. 中西医治疗糖尿病足溃疡的研究现状[J]. 中国皮肤性病学杂志,2024,38(2):128-133. doi:10.13735/j.cjdv.1001-7089.202307006 .
doi: 10.13735/j.cjdv.1001-7089.202307006 |
| [17] |
牟新,刘超. 糖尿病中医治疗切入点的探讨与思考[J]. 实用医学杂志,2024,40(16):2211-2218. doi:10.3969/j.issn.1006-5725.2024 .
doi: 10.3969/j.issn.1006-5725.2024 |
| [18] |
THEOCHARIDIS G, THOMAS B E, SARKAR D, et al. Single cell transcriptomic landscape of diabetic foot ulcers[J]. Nat Commun,2022,13(1):181. doi:10.1038/s41467-021-27801-8 .
doi: 10.1038/s41467-021-27801-8 |
| [19] |
SHI R, JIN Y, ZHAO S, et al. Hypoxic ADSC-derived exosomes enhance wound healing in diabetic mice via delivery of circ-Snhg11 and induction of M2-like macrophage polarization[J]. Biomed Pharmacother,2022,153:113463. doi:10.1016/j.biopha.2022.113463 .
doi: 10.1016/j.biopha.2022.113463 |
| [20] |
TIAN C, XU H, LI C, et al. ADSC exosomes improve high glucose induced fibroblast oxidative stress injury and accelerate DFU wound healing via regulating Keap1/Nrf2 axis[J]. Cell Signal,2025,134:111936. doi:10.1016/j.cellsig.2025.111936 .
doi: 10.1016/j.cellsig.2025.111936 |
| [21] |
LIN J, HUANG L, LI W, et al. Unraveling the oxidative stress landscape in diabetic foot ulcers: Insights from bulk RNA and single-cell RNA sequencing data[J]. Biol Direct,2025,20(1):79. doi:10.1186/s13062-025-00672-5 .
doi: 10.1186/s13062-025-00672-5 |
| [22] |
HUANG F, LU X, YANG Y, et al. Microenvironment-Based Diabetic Foot Ulcer Nanomedicine[J]. Adv Sci (Weinh),2023,10(2):e2203308. doi:10.1002/advs.202203308 .
doi: 10.1002/advs.202203308 |
| [23] |
GUAN G, CHEN Y, DONG Y. Unraveling the AMPK-SIRT1-FOXO Pathway: The In-Depth Analysis and Breakthrough Prospects of Oxidative Stress-Induced Diseases[J]. Antioxidants (Basel),2025,14(1) :70. doi:10.3390/antiox14010070 .
doi: 10.3390/antiox14010070 |
| [24] |
DENG L, WANG G, JU S. Correlation between inflammatory factors, autophagy protein levels, and infection in granulation tissue of diabetic foot ulcer[J]. Immun Inflamm Dis,2024,12(4):e1233. doi:10.1002/iid3.1233 .
doi: 10.1002/iid3.1233 |
| [25] |
杨卡明,李贞林,劳琬文,等. 糖尿病足血清学诊断标志物的研究进展[J]. 实用医学杂志,2024,40(16):2224-2228. doi:10.3969/j.issn.1006-5725.2024.16.005 .
doi: 10.3969/j.issn.1006-5725.2024.16.005 |
| [26] |
HONG Y, LI J, ZHONG Y, et al. Elabela inhibits TRAF1/NF-kappaB induced oxidative DNA damage to promote diabetic foot ulcer wound healing[J]. iScience,2023,26(9):107601. doi:10.1016/j.isci.2023.107601 .
doi: 10.1016/j.isci.2023.107601 |
| [27] |
罗富强,余电柏,谢康麒,等. 糖尿病足溃疡创面修复相关机制的研究进展[J]. 实用医学杂志,2023,39(2):158-163. doi:10.3969/j.issn.1006-5725.2023.02.006 .
doi: 10.3969/j.issn.1006-5725.2023.02.006 |
| [28] |
GONG F, ZHANG Y, CHENG S, et al. Inhibition of TGFbeta1/Smad pathway by NF-kappaB induces inflammation leading to poor wound healing in high glucose[J]. Cells Dev,2022,172:203814. doi:10.1016/j.cdev.2022.203814 .
doi: 10.1016/j.cdev.2022.203814 |
| [29] |
PENG X, HE F, MAO Y, et al. miR-146a promotes M2 macrophage polarization and accelerates diabetic wound healing by inhibiting the TLR4/NF-kappaB axis[J]. J Mol Endocrinol,2022,69(2):315-327. doi:10.1530/JME-21-0019 .
doi: 10.1530/JME-21-0019 |
| [30] |
KEMELO M, MOSEKI P. The AMPK-SIRT1 Axis: Redefining type 2 diabetes mellitus management[J]. Results Chem,2025,14:102139. doi: 10.1016/j.rechem.2025.102139 .
doi: 10.1016/j.rechem.2025.102139 |
| [31] |
LI X, WU G, HAN F, et al. SIRT1 activation promotes angiogenesis in diabetic wounds by protecting endothelial cells against oxidative stress[J]. Arch Biochem Biophys,2019,661:117-124. doi:10.1016/j.abb.2018.11.016 .
doi: 10.1016/j.abb.2018.11.016 |
| [32] |
SHAN T, LI X, XIE W, et al. Rap1GAP exacerbates myocardial infarction by regulating the AMPK/SIRT1/NF-kappaB signaling pathway[J]. Cell Signal,2024,117:111080. doi:10.1016/j.cellsig.2024.111080 .
doi: 10.1016/j.cellsig.2024.111080 |
| [33] |
LU Z, WANG H, ISHFAQ M, et al. Quercetin and AMPK: A Dynamic Duo in Alleviating MG-Induced Inflammation via the AMPK/SIRT1/NF-kappaB Pathway[J]. Molecules,2023,28(21):7388. doi:10.3390/molecules28217388 .
doi: 10.3390/molecules28217388 |
| [1] | Ting WU,Mingzhong XIA,Xiangdi YU. Mechanisms and clinical prospects of intravenous lidocaine for pain management in rheumatoid arthritis [J]. The Journal of Practical Medicine, 2026, 42(3): 355-362. |
| [2] | Lixia ZHANG,Xuefei FAN,Suhuan CHEN,Mengyan ZHANG,Yubao SHAO,Jian ZHOU,Xiaoyu CHEN. Effect of resveratrol mediated by the PINK1/Parkin pathway on fibroblast-like synovial cells of osteoarthritis treated with H2O2 [J]. The Journal of Practical Medicine, 2026, 42(3): 363-370. |
| [3] | Jiaxin LIU,Mengqi SHI,Tengfei GUO,Xue ZHAO,Duo YIN,Wenlong ZHANG,Na GE,Yajing YUAN,Shuyu GE. The ameliorative effect of ursolic acid on liver injury induced by rare earth neodymium oxide through the Nrf2/GPX4 signaling pathway [J]. The Journal of Practical Medicine, 2026, 42(3): 387-394. |
| [4] | Yao ZHOU,Qianbin DAI,Wei LONG,Kaixiang HU,Rui WU,Biqi FU. Expression and significance of circular RNA hsa_circ_0001707 in ankylosing spondylitis [J]. The Journal of Practical Medicine, 2026, 42(2): 295-302. |
| [5] | Lina XU,Xiaoshuang HE,Dong LIU,Chao WU. The study on the function and mechanism of bone marrow mesenchymal stem cell exosomes in alleviating the mouse asthma model [J]. The Journal of Practical Medicine, 2026, 42(1): 72-78. |
| [6] | Jinshan YANG,Benzhong JIA,Siwen ZHONG,Tao LI,Dengbao. LI. Effect of lactobacillus plantarum LB12 on renal calcium oxalate stones in rats [J]. The Journal of Practical Medicine, 2025, 41(8): 1130-1138. |
| [7] | Lulin CHEN,Tingjie YANG,Meng SUN,Xin LI,Yiming GUO,Yuqing YANG,Yudong CAO,Wenzhe LI,Jiangshu YUAN,Honghui YANG. Association between coronary inflammation and malnutrition on prognosis in patients with coronary artery disease [J]. The Journal of Practical Medicine, 2025, 41(7): 1010-1017. |
| [8] | Chunxue KONG,Qiqi LIU,Liwei ZHANG,Chuansha WU,Longzhu XIONG,Guowei ZHANG,Minyue CAO,Ping LI,Ting ZHOU. Montelukast sodium inhibits airway inflammation through Phd2/Hif⁃1Α pathway in asthmatic mice [J]. The Journal of Practical Medicine, 2025, 41(5): 664-669. |
| [9] | Jiyue ZHU,Bo ZHANG,Yaru LI,Liuye. HUANG. The predictive value of the systemic inflammation response index for non⁃curative resection after endoscopic submucosal dissection for early colorectal cancer [J]. The Journal of Practical Medicine, 2025, 41(5): 716-723. |
| [10] | Rongxin LI,Li HUANG,Yueyang ZENG,Shuhui ZHANG,Yiran CHEN,Yuli LIU,Tieming. MA. Exploring the mechanism of electroacupuncture to improve cognitiveimpairment in alzheimer′s disease model rats based on NF⁃κB/NLRP3/Caspase⁃1 signaling pathway [J]. The Journal of Practical Medicine, 2025, 41(3): 322-329. |
| [11] | Lu ZHENG,Haohao ZHANG,Feifei WU,Jiaqi GUO,Youqin WANG,Ruimin HAO,Lihui FENG,Yan. LI. Protective effect of exenatide on oxidative stress in hypothalamus of diabetes mice and its mechanism [J]. The Journal of Practical Medicine, 2025, 41(3): 330-338. |
| [12] | Zhiyi CHEN,Sirui LIU,Jingxian HAN,Xuezhu. ZHANG. Interaction between DNA methylation and oxidative stress in Alzheimer′s disease: Bidirectional regulation and positive⁃feedback networks [J]. The Journal of Practical Medicine, 2025, 41(24): 3802-3808. |
| [13] | Bin SUN,Ni LI,Lin YAN,Qizhao WANG,Min ZHANG,Yuehan YANG,Huan. QIN. Microglia mediate neuroinflammation and immune cell recruitment in blue light‑damaged retina [J]. The Journal of Practical Medicine, 2025, 41(23): 3666-3675. |
| [14] | Jianqiang WEI,Jing YIN,Mingyan HONG,Jianzhong CUI,Kaijie WANG,Hongyu WANG,Xinwang CAI,Wenqian ZHANG,Huan LIU. Study on the correlation between the expression of inflammatory cytokines in cerebrospinal fluid and the severity and prognosis of spontaneous intracerebral hemorrhage [J]. The Journal of Practical Medicine, 2025, 41(22): 3558-3565. |
| [15] | Xingwei WU,Jianying WANG,Chengxiao GUO,Ziyi LIU,Chao SUN,Fei. YU. The effect of remimazolam on modulating the ROS/RAGE/NF-κB signaling pathway in LPS-induced microglial inflammation [J]. The Journal of Practical Medicine, 2025, 41(2): 153-161. |
| Viewed | ||||||
|
Full text |
|
|||||
|
Abstract |
|
|||||

