The Journal of Practical Medicine ›› 2025, Vol. 41 ›› Issue (5): 664-669.doi: 10.3969/j.issn.1006-5725.2025.05.007

• Basic Research • Previous Articles    

Montelukast sodium inhibits airway inflammation through Phd2/Hif⁃1Α pathway in asthmatic mice

Chunxue KONG1,Qiqi LIU1,Liwei ZHANG1,Chuansha WU1,Longzhu XIONG1,Guowei ZHANG1,Minyue CAO1,Ping LI2,Ting ZHOU1()   

  1. *.Environmental Toxicology Laboratory,Hubei Province Key Laboratory of Occupational Hazard Identification and Control,School of Public Health,Department of Medicine,Wuhan University of Science and Technology,Wuhan 430065,China
  • Received:2024-11-04 Online:2025-03-10 Published:2025-03-20
  • Contact: Ting ZHOU E-mail:zhouting84@wust.edu.cn

Abstract:

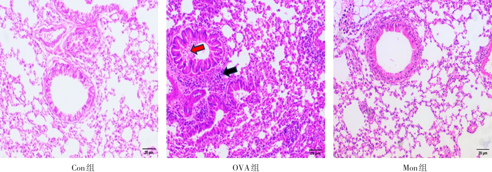
Objective The study aimed to investigate whether montelukast sodium could alleviate airway inflammatory responses in asthmatic mice by affecting the PHD2/HIF?1α pathway. Methods An allergic asthma model was established by ovalbumin (OVA) induction, and 18 female BALB/c mice were randomly divided into a control group (Con group), an asthma group (OVA group), and an asthma group with montelukast sodium intervention (30 mg/kg montelukast sodium by oral administration 1 h before OVA challenge, Mon group). HE staining was used to analyze the pathological changes in the lungs of mice. Blood cell analyzer and kits were used to determine the number of inflammatory cells and the levels of cytokines, the content of lactic acid and pyruvic acid in the lungs, respectively. RT?PCR and Western blot were used to detect the mRNA and protein expression of HIF?1α, PHD2, E?cad and p120 in the lungs of mice. Results Compared with the Con group, there was a significant increase in the number of eosinophils, lymphocytes, neutrophils and monocytes, the levels of IL?5, IL?13, complement factor D (CFD) and contents of lactate and pyruvate in the lungs of mice in the OVA group. Lung HIF?1α, PHD2, p120 and E?cad mRNA levels were reduced, meanwhile HIF?1α and PHD2 protein expression were upregulated but E?cad and p120 protein expression were downregulated (all with P < 0.05). After montelukast sodium intervention, the number of eosinophils and monocytes and CFD expression were significantly decreased in the lungs of Mon group, the contents of lactate and pyruvate were basically restored to normal, and the mRNA and protein expression of HIF?1α, PHD2, p120 and E?cad were effectively improved. Conclusion Montelukast sodium could alleviate the airway inflammatory responses in the lungs of asthmatic mice by regulating the PHD2/ HIF?1α signaling pathway.

Key words: montelukast sodium, allergic asthma, airway inflammation, hypoxia inducible factor?1 alpha, proline hydroxylase

CLC Number: