The Journal of Practical Medicine ›› 2024, Vol. 40 ›› Issue (19): 2672-2677.doi: 10.3969/j.issn.1006-5725.2024.19.002

• Basic Research • Previous Articles     Next Articles

Impact of Atractylodin on lung tissue damage in young asthma rats by regulating the CXCL12/CXCR4 signaling pathway

Yangyang CHEN1,Hongqi MA2,Jing YANG1,Zongyue WU1,Ping. ZHU1   

  1. *.Department of Children′s Respiratory,Nanyang Central Hospital,Nanyang 473000,He′nan,China
  • Received:2023-09-26 Online:2024-10-10 Published:2024-10-22

Abstract:

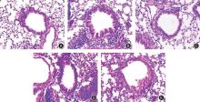
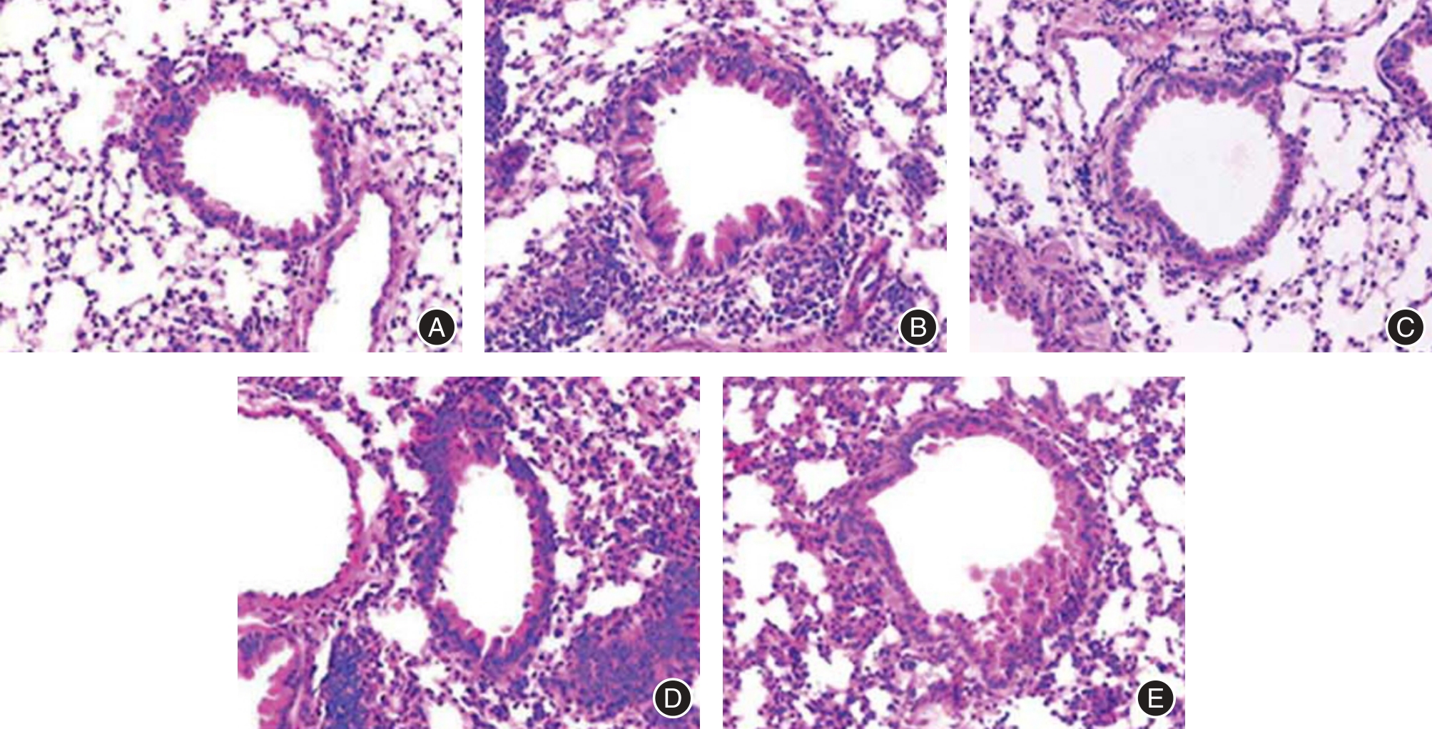
Objective To investigate the impact of Atractylodin on lung tissue damage in young asthmatic rats by regulating the CXC chemokine ligand 12 (CXCL12)/CXC chemokine receptor 4 (CXCR4) signaling pathway. Methods Twelve young SD rats were randomly selected from 60 rats as the control group (CON group), while the remaining 48 rats were used to construct asthma models using ovalbumin (OVA). Successfully modeled asthma rats were randomly separated into Model group, Atractylodin group (50 mg/kg Atractylodin), and CXCL-12 group (5 μg/kg recombinant CXCL-12 protein) and Atractylodin+CXCL-12 group (50 mg/kg Atractylodin+5 μg/kg recombinant CXCL-12 protein), with 12 in each group, continuously administered for 14 days. The CON and Model groups were given equal amounts of physiological saline. The percentages of neutrophils and eosinophils in bronchoalveolar lavage fluid (BALF) were detected. ELISA method was applied to detect cytokine levels in serum and BALF fluid; HE staining was applied to detect pathological changes in lung tissue; Western blot was applied to detect the levels of CXCL12/CXCR4 pathway related proteins. Results Compared with the CON group, the pathological score of lung tissue, percentage of neutrophils, percentage of eosinophils, the levels of IL-17, IL-4, IL-5, IL-13, IgE, OVA sIgE, and the protein levels of CXCL12 and CXCR4 in Model group were obviously increased (P < 0.05); compared with the Model group, the pathological score of lung tissue, percentage of neutrophils, percentage of eosinophils, the levels of IL-17, IL-4, IL-5, IL-13, IgE, OVA sIgE, and the protein levels of CXCL12 and CXCR4 in the Atractylodin group were obviously reduced (P < 0.05), the results in the CXCL-12 group were opposite to those in the Atractylodes group; CXCL-12 eliminated the improvement effect of atractylodes on asthma rats. Conclusion Atractylodin may improve lung tissue damage in asthmatic rats by down-regulating the CXCL12/CXCR4 signaling pathway.

Key words: Atractylodin, CXCL12/CXCR4 signaling pathway, asthma, lung damage

CLC Number: