The Journal of Practical Medicine ›› 2025, Vol. 41 ›› Issue (15): 2336-2341.doi: 10.3969/j.issn.1006-5725.2025.15.007

• Basic Research • Previous Articles    

Mechanism of dauricine in reducing ischemia⁃reperfusion acute kidney injury

Zhiwei ZHOU1,Jing CAI2,Lei ZHENG2,Zhao XU1,Yaping YU1()   

  1. *.Department of Nephrology,Taizhou Traditional Chinese Medicine Hospital,Taizhou 225300,Jiangsu,China
  • Received:2025-03-26 Online:2025-08-10 Published:2025-08-11
  • Contact: Yaping YU E-mail:julia_yu1985@163.com

Abstract:

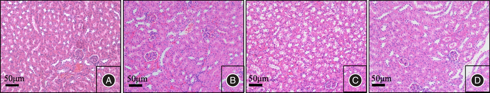
Objective To investigate whether Dauricine (Dau) can ameliorate acute kidney injury induced by renal ischemia-reperfusion (IR) in mice. Methods C57BL/6 mice were randomly assigned to three experimental groups: sham operation, ischemia-reperfusion injury (IRI), and IRI treated with daunorubicin (IRI+Dau), with 12 animals in each group. Following oral administration of Dau (15 mg/kg), renal ischemia-reperfusion was induced, and blood and kidney tissue samples were collected 24 hours post-surgery. Histopathological changes were assessed using hematoxylin and eosin (HE) staining. Renal function was evaluated by measuring serum creatinine and blood urea nitrogen (BUN) levels. Protein expression related to lipid peroxidation was analyzed using western blotting and immunofluorescence. Inflammatory gene expression was determined via quantitative polymerase chain reaction (qPCR). Nuclear translocation of nuclear factor κB (NF-κB), a key inflammatory marker, was assessed using immu-nofluorescence. Statistical comparisons between groups were performed using t-tests. Results The administration of Dau significantly ameliorated IR-induced acute kidney injury compared to the Sham group. Serum creatinine (P < 0.001) and urea nitrogen (P < 0.000 1) levels were markedly decreased in Dau-treated mice relative to those in the IRI group. Furthermore, Dau significantly suppressed lipid peroxide production in renal tissues (P < 0.001), without significantly affecting the expression levels of Gpx4 (P = 0.919) and Acsl4 (P = 0.086), two key proteins involved in lipid peroxidation. In addition, Dau effectively inhibited IR-induced nuclear translocation of NF-κB (P < 0.001) and reduced apoptosis in kidney cells (P = 0.004). Conclusion Dau mitigates IR-induced kidney damage by reducing the accumulation of lipid peroxides and inhibiting the nuclear translocation of NF-κB, thereby attenuating inflammation and renal cell apoptosis.

Key words: dauricine, renal ischemia-reperfusion, acute kidney injury, lipid peroxides, nucleus factor-κB

CLC Number: