The Journal of Practical Medicine ›› 2023, Vol. 39 ›› Issue (20): 2584-2590.doi: 10.3969/j.issn.1006-5725.2023.20.005

• Basic Research • Previous Articles     Next Articles

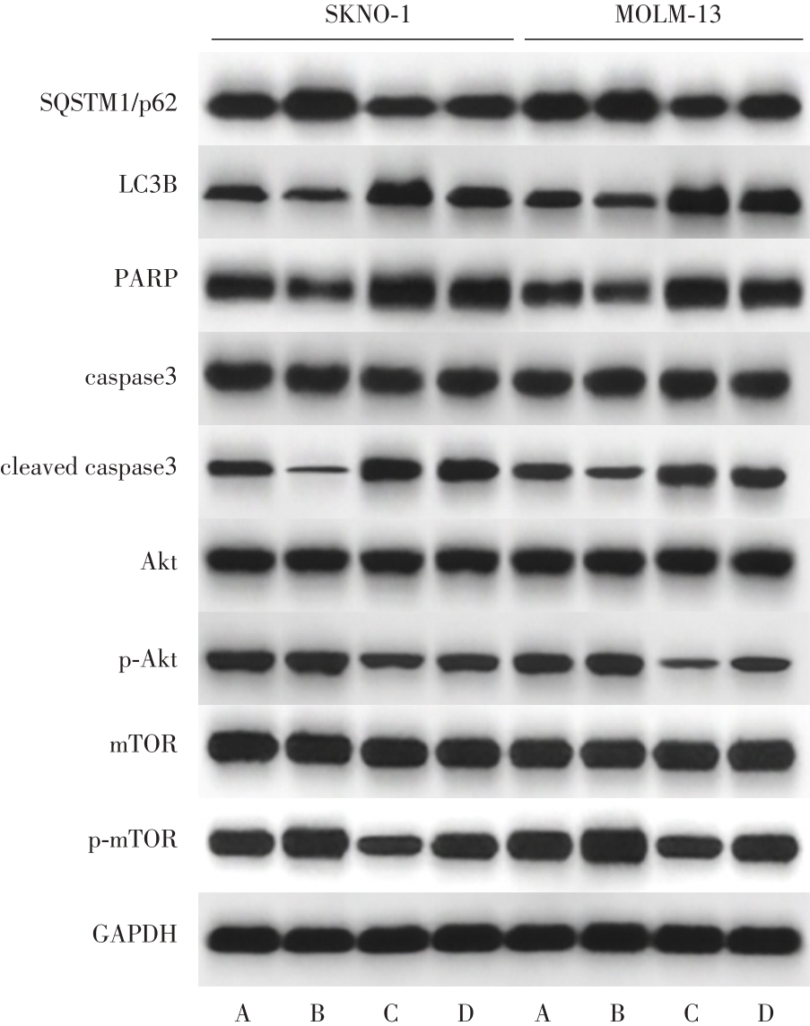
Impacts of chlorprothixene on autophagy and apoptosis in human acute myeloid leukemia cells by regulating Akt/mTOR pathway

Ruijuan WANG,Chao LI,Lijuan DUAN,Miao SHANG,Ruyu. YANG   

  1. Department of Hematology,Nanyang Central Hospital,Nanyang 473000,China
  • Received:2023-02-15 Online:2023-10-25 Published:2023-11-15

Abstract:

Objective To investigate the impacts of chlorprothixene on autophagy and apoptosis in human acute myeloid leukemia (AML) cells by regulating the protein kinase B (Akt)/mammalian target of rapamycin (mTOR) pathway. Methods Two cell lines, SKNO-1 and MOLM-13, were used as the research objects, and they were treated with (0, 20, 40, 60) μmol/L chlorprothixene for (6, 12, 24) h, respectively, CCK-8 was performed to detect cell proliferation.Experiments were divided into control group (normal culture), SC79 group (5 mg/L SC79 treated cells for 2 h),chlorprothixene group (40 μmol/L chloroprotixol treated cells for 12 h), chlorprothixene + SC79 group (40 μmol/L chlorprothixene was added to the cells for 12 h on the basis of the group),monodansylcadaverine (MDC) staining was performed to measure the occurrence of autophagy;flow cytometry was performed to measure cell apoptosis rate;Western blot was performed to measure autophagy-related protein SQSTM1/p62, microtubule-related protein 1 light chain 3B (LC3B), apoptosis-related protein poly (ADP-ribosyltransferase) (PARP), aspartate-specific cysteine protease 3 (caspase3), activated caspase3 (cleaved caspase3) and Akt/mTOR signaling pathway related proteins Akt, phosphorylated (p)-Akt, mTOR and p-mTOR. Results In SKNO-1 and MOLM-13 cells, at (6, 12, 24) h, compared with 0 μmol/L chlorprothixene, (20, 40, 60) μmol/L chlorprothixene treatment increased the inhibition rate of cell proliferation (P < 0.05);at the same time point, as the concentration of chlorprothixene increased, the inhibition rate of cell proliferation increased, and 40 μmol/L chlorprothixene treatment for 12 h was used for the next study.In SKNO-1 and MOLM-13 cells, compared with the control group, the apoptosis rate, autophagosome positive rate, LC3B, PARP, cleaved caspase3/caspase3 protein expression levels in SC79 group decreased (P < 0.05), the SQSTM1/p62, p-Akt/Akt and p-mTOR/mTOR protein expression levels increased (P < 0.05);the chlorprothixene group showed the opposite trends (P < 0.05);after adding chlorprothixene on the basis of SC79 group, the apoptosis rate, autophagosome positive rate, LC3B, PARP, cleaved caspase3/caspase3 protein expression levels decreased than chlorprothixene group (P < 0.05), the protein expression levels of SQSTM1/p62, p-Akt/Akt and p-mTOR/mTOR increased (P < 0.05). Conclusion Chlorprothixene can inhibit the Akt/mTOR pathway and promote autophagy and apoptosis in human AML cells.

Key words: chlorprothixene, protein kinase B/mammalian target of rapamycin pathway, human acute myeloid leukemia cells, autophagy, apoptosis

CLC Number: