The Journal of Practical Medicine ›› 2023, Vol. 39 ›› Issue (20): 2579-2583.doi: 10.3969/j.issn.1006-5725.2023.20.004
• Basic Research • Previous Articles Next Articles
Jiashan LI1,Debin YANG1,Zhifeng. PENG2()
Received:
2023-06-17
Online:
2023-10-25
Published:
2023-11-15
Contact:
Zhifeng. PENG
E-mail:pzf181@126.com
CLC Number:
Jiashan LI,Debin YANG,Zhifeng. PENG. Effect of chronic high fat diet on brain injury in ischemia/reperfusion rats and its mechanisms[J]. The Journal of Practical Medicine, 2023, 39(20): 2579-2583.
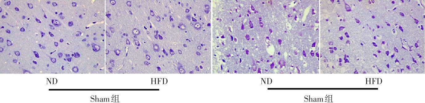
Tab. 1
Comparison of metabolic parameters between two groups of rats after 3 months of feeding"
组别 | n | 体质量(g) | 脂肪组织(g) | 甘油三酯(mg/dL) | 总胆固醇(mg/dL) | 葡萄糖(mg/dL) |
---|---|---|---|---|---|---|
ND组 | 30 | 398.5 ± 45.3 | 19.8 ± 23.4 | 73.8 ± 7.8 | 54.6 ± 5.9 | 134.6 ± 16.2 |
HFD组 | 30 | 523.6 ± 61.9 | 41.2 ± 5.3 | 96.7 ± 10.2 | 88.6 ± 9.7 | 153.8 ± 17.3 |
t值 | 26.437 | 39.075 | 14.378 | 31.849 | 11.536 | |
P值 | < 0.001 | < 0.001 | 0.006 | < 0.001 | 0.017 |
1 | 张继红, 马存根. 高脂饮食诱导肥胖对小鼠缺血性脑损伤的影响[J]. 中国康复理论与实践, 2018, 24(10):1146-1150. |
2 | LITEIN M, Obesity KULAGA Z., syndrome metabolic, and hypertension primary [J]. Pediatr Nephrol,2021, 36(4):825-837. |
3 | YAWOOT N, GOVITRAPONG P, TOCHARUS C. Ischemic stroke, obesity, and the anti-infammatory role of melatonin[J]. Biofactors,2021, 47(1):41-58. |
4 | ARENILLAS J F, SANDOVAL P, PEREZDEDA OSSAN, et al.The metabolic syndrome is associated with a higher resistance to intravenous thrombolysis for acute ischemic stroke in women than in men[J]. Stroke,2009, 40(2):344-349. |
5 | GRISOTTO C, TAILE J, PLANESSE C, et al. High-fat diet aggravates cerebral infarct, hemorrhagic transformation and neuroinfammation in a mouse stroke model[J]. Int J Mol Sci,2021, 22(9):4571. |
6 | SHI Z, YUAN S, SHI L, et al.Programmed cell death in spinal cord injury pathogenesis and therapy[J]. Cell Prolif,2021, 54(3):e12992. |
7 | FRANK D, VINCE J E. Pyroptosis versus necroptosis: Similarities, diferences, and crosstalk[J]. Cell Death Difer,2019, 26(1):99-114. |
8 | PURNAMA C A, MEILIANA A, BARLIANA M I, et al.Update of cellular responses to the efferocytosis of necroptosis and pyroptosis[J]. Cell Div,2023,18(1):5. |
9 | CHENh J, YANG C, XU X, et al.The effect of focal cerebral ischemia-reperfusion injury on TLR4 and NF-κB signaling pathway[J]. Exp Ther Med,2018,15(1):897-903. |
10 | LIU T, ZHANG L, JOO D. Nf-kappab signaling in inflammation[J]. Signal Transduct Target Ther,2017, 2:17023. |
11 | SHAHJOUEI S, CAI PY, ANSARI S, et al. Middle cerebral artery occlusion model of stroke in rodents: a step-by-step approach[J]. J Vasc Interv Neurol,2016, 8(5):1-8. |
12 | JAIKUMKAO K, PROMSAN S, TONGNAK L, et al. Dapaglifozin ameliorates pancreatic injury and activates kidney autophagy by modulating the AMPK/mTOR signaling pathway in obese rats[J]. J Cell Physiol,2021, 236(9):6424-6440. |
13 | SIVASINPRASASN S, WIKAN N, TOCHARUS J, et al. Synergistic effects of the capsaicinoid nonivamide and rosuvastatin on obesity-related endothelial dysfunction in rat fed a high-fat diet[J]. Phytother Res, 2019,33(7):1815-1826. |
14 | WIKAN N, TOCHARUS J, SIVASINPRASASN S, et al. Capsaicinoid nonivamide improves nonalcoholic fatty liver disease in rats fed a highfat diet[J]. J Pharmacol Sci, 2020, 143(3):188-198. |
15 | MARTIN S J, HENRY C M. Distinguishing between apoptosis, necrosis, necroptosis and other cell death modalities[J]. Methods, 2013, 61(2):87-89. |
16 | 李权, 权美玉, 张金三. Parkin调控凋亡,坏死性凋亡和焦亡的研究进展[J]. 中国细胞生物学学报, 2021, 43(12):2433-2440. |
17 | D'ARCY M S. Cell death: a review of the major forms of apoptosis, necrosis and autophagy[J]. Cell Biol Int, 2019, 43(6):582-592. |
18 | KIM E H, WONG S W, MARTINEZ J.Programmed necrosis and disease: we interrupt your regular programming to bring you necroinfammation[J]. Cell Death Difer,2019,26:25-40. |
19 | PAN Y, CAI W, HUANG J, et al. Pyroptosis in development, inflammation and disease[J]. Front Immunol,2022,13:991044. |
20 | WANG H, CHEN H, JIN J, et al. Inhibition of the NLRP3 infammasome reduces brain edema and regulates the distribution of aquaporin-4 after cerebral ischaemia-reperfusion[J]. Life Sci,2020, 251:117638. |
21 | YE Y, ZENG Z, JIN T, et al. The role of high mobility group box 1 in ischemic stroke[J]. Front Cell Neurosci,2019, 13:127. |
22 | 蔡乐, 李想, 王勇. HMGB1/TLR4信号通路-细胞凋亡在脑缺血再灌注损伤中的作用及研究进展[J]. 四川生理科学杂志, 2022, 44(3):561-564. |
23 | CHEN J, YANG C, XU X, et al. The effect of focal cerebral ischemia-reperfusion injury on TLR4 and NF-κB signaling pathway[J]. Exp Ther Med, 2018, 15:897-903. |
24 | ZHAO H, CHEN Z, XIE L J, et al. Suppression of TLR4/NF-κB signaling pathway improves cerebral ischemia-reperfusion injury in rats[J]. Mol Neurobiol, 2018, 55(5):4311-4319. |
25 | FANN D Y, LIM Y A, CHENG Y L, et al. Evidence that NF-κB and MAPK signaling promotes NLRP inflammasome activation in neurons following ischemic stroke[J]. Mol Neurobiol, 2018,55(2):1082-1096. |
[1] | Yujun YI,Xiaoming ZHAI,Huiling LIU,Jin. TAO. The role of PTTG1 in colonic inflammation by regulating intestinal epithelial cells pyroptosis [J]. The Journal of Practical Medicine, 2024, 40(5): 632-638. |
[2] | Zhenghao ZHANG,Fang MA,Qing ZHANG,Tongtong XIA,Honglin LIU,Zhigang BAI,Guanjun LU,Jingwen ZHANG,Hongjian PENG,Yideng JIANG,Shengchao. MA. Effect of LncRNA SNHG1 on homocysteine⁃induced podocytespyrophosis [J]. The Journal of Practical Medicine, 2024, 40(4): 476-482. |
[3] | Lili TANG,Xinyu WANG,Jie ZHANG,Yue ZHAO,Xiaoyue LI. Research progress on the relationship between m6A methylation modification and acute kidney injury [J]. The Journal of Practical Medicine, 2024, 40(2): 278-282. |
[4] | Xiuli SHI,Jiaqi CHEN,Fan ZHU,Juan ZENG,Na. WU. The effect of miR⁃143⁃3p on pyroptosis of ulcerative colitis cells by regulating TLR2/NF⁃κB/NLRP3 [J]. The Journal of Practical Medicine, 2024, 40(15): 2056-2062. |
[5] | Di WANG,Jian YANG,Xiang HE. Dexmedetomidine alleviates propofol induced learning and memory impairment in rats at developmental stage by regulating AKAP150 [J]. The Journal of Practical Medicine, 2024, 40(12): 1619-1624. |
[6] | Xuan QIU,Yishajiang SHAREZATI,Yulan CHEN,Mengmeng WANG,Yu LI,Tulahong GULINAZI,Abuhan ZUBAIDAN,Abulizi ALIYA,Xingchen WANG. Effect of transient receptor potential channel 5 on myocardial pyroptosis in intermittent hypoxia [J]. The Journal of Practical Medicine, 2024, 40(12): 1637-1642. |
[7] | Qi WU,Le BU,Bei. XU. Research progress of the relationship between high fat diet-Induced gastrointestinal microbiota and gastrointestinal cancer [J]. The Journal of Practical Medicine, 2024, 40(1): 123-128. |
[8] | Yue SUN,Na GE,Xue ZHAO,Tengfei GUO,Jiawei LIU,Wenlong ZHANG,Peng. ZHOU. Effect of ursolic acid extracted from Hippophae Rhamnoides L. on repair of sciatic nerve injury in rats [J]. The Journal of Practical Medicine, 2023, 39(24): 3158-3162. |
[9] | Dan XIE,Shi. OUYANG. Effect of Yinchenhao Decoction combined with exosomes derived from umbilical cord mesenchymal stem cells on acute liver failure and hepatocyte pyroptosis [J]. The Journal of Practical Medicine, 2023, 39(23): 3034-3042. |
[10] | Xiaolin LEI,Yanxiu LIU,Chan. ZHANG. Protective effects and the mechanism of miR⁃21⁃3p/p53 signaling pathway on renal function in mice with renal ischemia/reperfusion injury [J]. The Journal of Practical Medicine, 2023, 39(19): 2475-2482. |
[11] | Jing WU,Zuqiong NIE,Wanling. YIN. MiR⁃499 protects hypoxia/reoxygenation (H/R) cardiomyocytes through Drp1⁃mediated mitochondrial autophagy [J]. The Journal of Practical Medicine, 2023, 39(17): 2196-2203. |
[12] | Sha YI,Nan HU,Yue LI,Lin YANG,Yuting ZHANG,Xia XIONG,Guishu ZHONG,Yan. CHEN. Role of peroxisome proliferator⁃activated receptors⁃γ in modulating P. acnes⁃induced pyroptosis, cell proliferation and apoptosis in human keratinocytes [J]. The Journal of Practical Medicine, 2023, 39(16): 2043-2049. |
[13] | . Amygdalin reduces coronary endothelial pyroptosis and ameliorates atherosclerotic plaque formation in ApoE-/- mice [J]. The Journal of Practical Medicine, 2023, 39(14): 1746-1755. |
[14] |
HUANG Jianmin, YUN Yanfang, YANG Guixin, CHEN Haiyan, JIANG Yongming, HUANG Dongxu, LIU Jie, MO Xiaorong, LI Xuebin..
Effects of survivin inhibitor YM155 on microvessel density and angiogenesis⁃related gene expression in rats with cerebral infarction [J]. The Journal of Practical Medicine, 2022, 38(8): 946-951. |
[15] |
QIU Xianxian, AN Nini, JIANG Kehua, PENG Jinpu, ZHAO Yinyin, SUN Fa..
Reproductive dysfunction induced by PM2.5 exposure through NF ⁃ κB signaling pathway in male rats [J]. The Journal of Practical Medicine, 2022, 38(7): 836-847. |
Viewed | ||||||
Full text |
|
|||||
Abstract |
|
|||||