实用医学杂志 ›› 2025, Vol. 41 ›› Issue (14): 2152-2159.doi: 10.3969/j.issn.1006-5725.2025.14.005

• 专题报道:乳腺癌 • 上一篇    

不同MRI测量方式评估乳腺癌新辅助治疗疗效的临床价值

段玉灵1,周雪枝1,李永义1,马丽霞1,杨德盛2,程姣3,伍燕1,刘桃1,蒋国元1,王梅4()   

  1. 1.遵义医科大学第三附属医院(遵义市第一人民医院),乳甲外科,(贵州 遵义 563000 )
    2.遵义医科大学第三附属医院(遵义市第一人民医院),病理科,(贵州 遵义 563000 )
    3.遵义医科大学第三附属医院(遵义市第一人民医院),老年病科,(贵州 遵义 563000 )
    2.遵义市红花岗区人民医院普外科 (贵州 遵义 563000 )
  • 收稿日期:2025-03-20 出版日期:2025-07-25 发布日期:2025-07-29
  • 通讯作者: 王梅 E-mail:15685295689@163.com
  • 基金资助:
    遵义市科技计划项目(编号:遵市科合HZ[2022]_67号,遵市科合HZ字[2024]49号)

Clinical value analysis of different MRI measurement methods in evaluating the efficacy of neoadjuvant therapy for breast cancer

Yuling DUAN1,Xuezhi ZHOU1,Yongyi LI1,Lixia MA1,Desheng YANG2,Jiao CHENG3,Yan WU1,Tao LIU1,Guoyuan JIANG1,Mei. WANG4()   

  1. Department of Breast and Thyroid Surgery,the Third Affiliated Hospital of Zunyi Medical University (Zunyi City First People's Hospital),Zunyi 563000,Guizhou,China
  • Received:2025-03-20 Online:2025-07-25 Published:2025-07-29
  • Contact: Mei. WANG E-mail:15685295689@163.com

摘要:

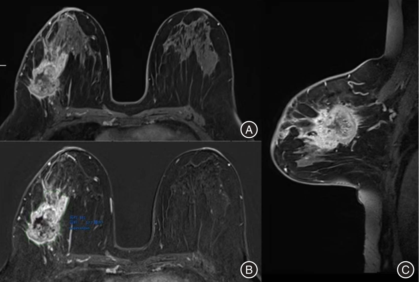
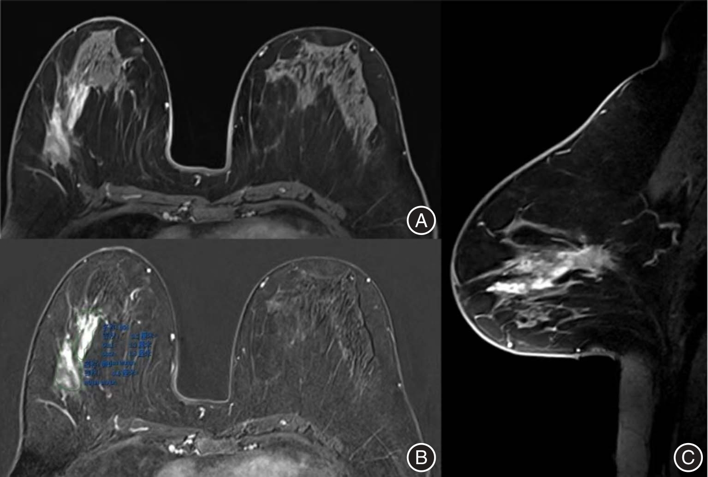
目的 比较乳腺磁共振(MRI)三种测量方法——RECIST 1.1标准、最优法和三维(3D)体积测量法在乳腺癌新辅助化疗(NAC)疗效评估中的诊断性能差异,筛选更具临床实用性的影像学评估方式。 方法 纳入2019—2023年间接受NAC及手术治疗的乳腺癌患者110例。化疗前后分别于1周内完成乳腺MRI,采用RECIST 1.1、最优法和3D体积测量法进行疗效评估,以MP病理分级为金标准。比较3种方法的敏感度、特异度、准确性及受试者工作特征曲线(ROC)下面积(AUC),并通过Delong检验进行统计比较。 结果 RECIST 1.1、最优法和3D测量法的AUC分别为0.768、0.795和0.883,3D体积测量法显著优于其他两种方法(P < 0.05)。3D法在敏感度(98.9%)、特异度(77.8%)和准确性(95.5%)方面均表现最优。最优法在部分指标上亦优于RECIST 1.1。 结论 3D体积测量法在乳腺癌NAC疗效评估中显示出最佳的诊断性能,具有更高的临床应用价值。最优法相较于传统RECIST 1.1方法也表现出更优的判别能力,是资源受限情况下的可行替代方案。

关键词: 乳腺癌, 磁共振成像, 新辅助化疗, 三维测量, 疗效评估, ROC曲线

Abstract:

Objective To compare the diagnostic performance of three breast MRI measurement methods—RECIST 1.1, the optimal method, and three-dimensional (3D) volumetric assessment—in assessing the efficacy of neoadjuvant chemotherapy (NAC) in breast cancer patients, with the objective of identifying the most clinically practical approach. Methods A total of 110 breast cancer patients who underwent NAC followed by surgical treatment between 2019 and 2023 were included in the study. Breast magnetic resonance imaging (MRI) was conducted within one week before and after the completion of NAC. Tumor response was evaluated using RECIST 1.1 criteria, widely recognized as the optimal method, as well as 3D volume measurement. Pathological response was determined according to the Miller-Payne grading system. Sensitivity, specificity, accuracy, and the area under the receiver operating characteristic curve (AUC) were computed and compared using the DeLong test. Results The AUC values for RECIST 1.1, the optimal method, and 3D volumetric assessment were 0.768, 0.795, and 0.883, respectively. The 3D volumetric assessment exhibited significantly better discriminative performance (P < 0.05), with the highest sensitivity (98.9%), specificity (77.8%), and accuracy (95.5%). Additionally, the optimal method demonstrated superior performance over RECIST 1.1 across multiple parameters. Conclusions 3D volumetric measurement demonstrates superior performance compared to RECIST 1.1 and the optimal method in evaluating the response to NAC, offering a more accurate and comprehensive assessment tool. Additionally, the optimal method shows advantages over RECIST 1.1 and may serve as a practical alternative in settings where 3D software is not available.

Key words: breast cancer, magnetic resonance imaging, neoadjuvant chemotherapy, 3D volume measurement, efficacy evaluation, ROC curve

中图分类号: