实用医学杂志 ›› 2024, Vol. 40 ›› Issue (4): 496-502.doi: 10.3969/j.issn.1006-5725.2024.04.010
宋子旭1,朱光正2,郭晨旭1,武佳琪1,张立功1,钱军1()
Zixu SONG1,Guangzheng ZHU2,Chenxu GUO1,Jiaqi WU1,Ligong ZHANG1,Jun. QIAN1()
摘要:
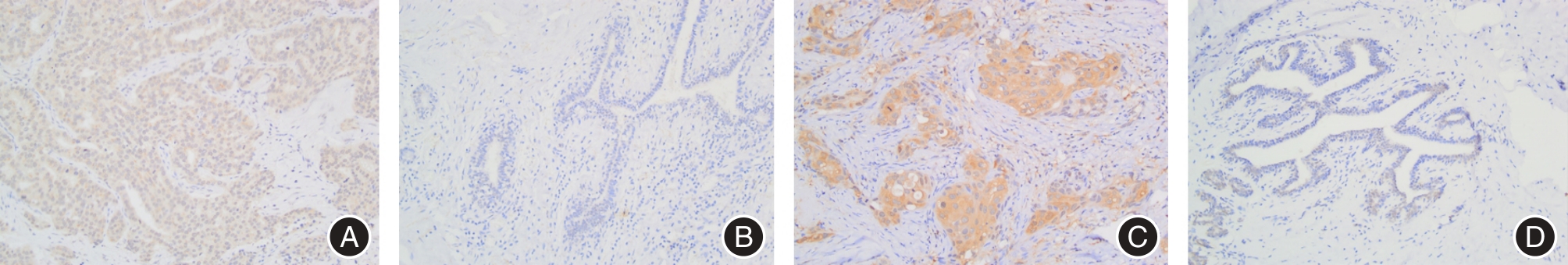
目的 研究SLC35A2、前叶黄素亚基2(PFDN2)在乳腺癌中的表达及其与临床观察指标和预后的关系。 方法 使用TCGA数据库及TIMER 2.0数据库分析SLC35A2、PFDN2在乳腺癌组织及癌旁组织中的表达差异;K-M数据库绘制两者高、低表达组患者的生存曲线。qRT-PCR及免疫组化法检测SLC35A2、PFDN2在癌和癌旁组织的表达,统计学分析两者在两组织中的表达差异及其表达水平与临床观察指标之间的关系,并筛选出乳腺癌独立预后因素;将两者按表达水平分组,使用K-M生存分析比较各组预后差异并绘制生存曲线。 结果 生信、qRT-PCR及免疫组化结果显示SLC35A2、PFDN2在乳腺癌癌组织中表达水平显著高于癌旁组织。SLC35A2的表达与淋巴结转移情况显著相关,PFDN2的表达与肿瘤直径及淋巴结转移情况显著相关,两者高表达是乳腺癌的独立预后因素,两者均为高表达的患者预后最差。 结论 乳腺癌组织中SLC35A2和PFDN2的表达与临床观察指标和乳腺癌预后密切相关,可作为乳腺癌治疗的潜在靶点。
中图分类号: