实用医学杂志 ›› 2025, Vol. 41 ›› Issue (1): 35-40.doi: 10.3969/j.issn.1006-5725.2025.01.006

• 临床研究 • 上一篇    下一篇

超声测量坐骨神经横截面积在单侧腰椎间盘突出症内镜术后早期疗效评估中的应用

曾琳钰1,陈子明1,曾俊卿1,鄢毅1,2,3,张达颖1,2,3,顾丽丽1,2,3()   

  1. 1.南昌大学第一附属医院疼痛科 (江西 南昌 330006 )
    2.江西省卫生健康委员会神经性疼痛重点实验室 (江西 南昌 330006 )
    3.江西省创烧伤及疼痛重点实验室 (江西 南昌 330006 )
  • 收稿日期:2024-10-25 出版日期:2025-01-10 发布日期:2025-01-14
  • 通讯作者: 顾丽丽 E-mail:gll2009c@aliyun.com;gll2009cn@aliyun.com
  • 基金资助:
    国家重点研发计划项目(2022YFC3602202);江西省科技厅重点研发计划一般项目(20203BBGL73194)

Ultrasound measurement of sciatic nerve cross⁃sectional area in early outcome assessment after endoscopic surgery for unilateral lumbar disc herniation

Linyu ZENG1,Ziming CHEN1,Junqing ZENG1,Yi YAN1,2,3,Daying ZHANG1,2,3,Lili GU1,2,3()   

  1. 1.st Affiliated Hospital,Jangxi Medical College,Nanchang University,Nanchang 330006,Jiangxi,China
  • Received:2024-10-25 Online:2025-01-10 Published:2025-01-14
  • Contact: Lili GU E-mail:gll2009c@aliyun.com;gll2009cn@aliyun.com

摘要:

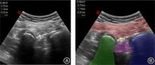
目的 观察内镜手术治疗单侧腰椎间盘突出症的早期临床疗效与坐骨神经横截面积变化之间的关系。 方法 招募2023年6月至2024年6月南昌大学第一附属医院疼痛科52例(n = 52)单侧腰椎间盘突出症患者为研究对象,在手术前以及手术后第4天使用超声测量双侧臀部坐骨结节-股骨大转子水平坐骨神经横截面积值(cross sectional area,CSA),计算坐骨神经横截面积变化△CSA、坐骨神经肿胀率(sciatic nerve swelling rate,SR-SN)。收集患者BMI值(body mass index)、术前、术后第4天视觉模拟量表(Visual Analogue Scale,VAS)、日本骨科协会评分(Japanese Orthopaedic Association Score,JOA)、Oswestry残疾指数(oswestry disability index,ODI)和治疗改善率(treatment improvement rate,TIR)。以评分量表为对照,对坐骨神经横截面积在单侧腰椎间盘突出症中的变化以及其与临床疗效的关系进行分析。 结果 与术前相比,术后第4天VAS、ODI评分降低,JOA 评分升高(P < 0.01),手术后患者临床疗效显著改善。坐骨神经术前患侧CSA值大于健侧(P < 0.01),术后患侧CSA值减小但仍大于健侧(P < 0.01),患侧SR-SN大于健侧(P < 0.01)。患侧△CSA 与术后VAS评分、JOA评分、治疗改善率负相关(P < 0.05);患侧SR-SN与BMI正相关,与术后VAS评分、JOA评分、治疗改善率负相关(P < 0.05);患侧△CSA、SR-SN与ODI评分无明显相关性(P > 0.05)。 结论 在经内镜手术治疗的腰椎间盘突出症患者中,患侧坐骨神经横截面积手术前后的变化越大,术后早期症状改善越明显。

关键词: 腰椎间盘突出症, 超声测量, 坐骨神经, 横截面积, 疗效评估

Abstract:

Objective To investigate the correlation between early clinical outcomes following endoscopic surgery for unilateral lumbar disc herniation and variations in the cross?sectional area of the sciatic nerve. Methods Fifty?two patients (n = 52) with unilateral lumbar disc herniation were recruited from June 2023 to June 2024 at the Pain Department of the First Affiliated Hospital of Nanchang University. The cross?sectional area (CSA) values of bilateral sciatic nerves were measured at the gluteal sciatic tuberosity?great femoral rotor level using ultrasound before and on the 4th day after surgery. The change in nerve cross?sectional area ΔCSA and sciatic nerve swelling rate (SR?SN) were calculated. Patient BMI (Body Mass Index), visual analog scale (VAS), Japanese Orthopaedic Association score (JOA), Oswestry Disability Index (ODI), and Treatment Improvement Rate (TIR) were collected preoperatively and on postoperative day 4. Changes in sciatic nerve cross?sectional area in unilateral lumbar disc herniation and its relationship to clinical outcomes were analyzed using the scoring scales as controls. Results Compared to the preoperative period, there was a significant decrease in VAS and ODI scores, as well as an increase in JOA score on the 4th postoperative day (P < 0.01). Furthermore, surgical intervention led to substantial improvement in clinical outcomes for the patients. Prior to surgery, the CSA value of the affected side of the sciatic nerve was greater than that of the healthy side (P < 0.01). Although CSA value decreased on the affected side after surgery, it remained higher than that of the healthy side (P < 0.01). Additionally, there was a significant difference between SR?SN values on both sides with higher values observed on the affected side (P < 0.01). Notably, △CSA on the affected side exhibited a negative correlation with postoperative VAS score, JOA score, and treatment improvement rate (P < 0.05); The SR?SN on the affected side exhibited a positive correlation with BMI and negative correlations with postoperative VAS score, JOA score, and treatment improvement rate (P < 0.05). However, no significant correlations were observed between △CSA, SR?SN, and ODI score on the affected side. (P > 0.05). Conclusions In patients undergoing endoscopic surgery for lumbar disc herniation, a greater change in the cross?sectional area of the affected sciatic nerve before and after the operation is associated with more pronounced improvement in early symptoms. However, further investigation is required to explore the relationship between this change and recovery of both lumbar spine and lower limb function.

Key words: lumbar disc herniation, ultrasound measurements, sciatic nerve, cross-sectional area, efficacy assessment

中图分类号: