The Journal of Practical Medicine ›› 2024, Vol. 40 ›› Issue (10): 1382-1388.doi: 10.3969/j.issn.1006-5725.2024.10.009

• Clinical Research • Previous Articles     Next Articles

Correlations of miR⁃203a⁃3p and PHOX2B expression in glioma tissues with clinical features and prognosis

Qi ZHANG1,Jia HU1,Hui LI1,Jin WANG2,Zhongde LI1,Zhiyuan. HU1()   

  1. *.Second Department of Neurosurgery,Zhangye People's Hospital,Hexi University,Zhangye 734000,China
  • Received:2023-11-07 Online:2024-05-25 Published:2024-05-21
  • Contact: Zhiyuan. HU E-mail:huzy120@163.com

Abstract:

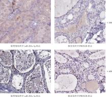
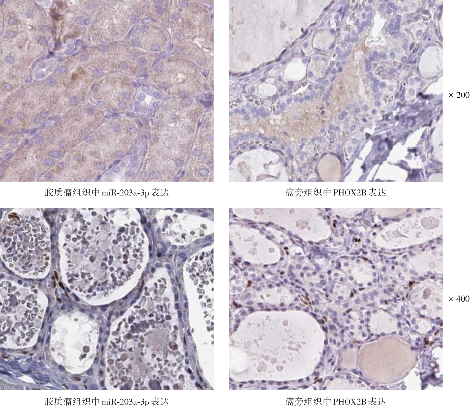
Objective To investigate the correlations microRNA-203a-3p (miR-203a-3p) and paired allographic box protein 2B (PHOX2B) expression levels in glioma tissues with clinical features and prognosis. Methods Ninety-six glioma patients admitted to our hospital from June 2017 to April 2020 were included in the study. The resected glioma tissues and corresponding paracancerous tissues from the patients were collected intraoperatively. qRT-PCR and immunohistochemistry were conducted to detect the expression of miR-203a-3p and PHOX2B mRNA in glioma tissues and paracancerous groups. Pearson's method was used to analyze the correlation between miR-203a-3p and PHOX2B mRNA. Kaplan-Meier survival curves were used to analyze the correlations of miR-203a-3p and PHOX2B mRNA with the prognosis of glioma patients. COX regression was used to analyze the risk factors affecting the prognosis of glioma patients. Results The miR-203a-3p level and positive expression rate of glioma tissues were significantly lower than that of paracancerous tissues (P < 0.05), and the PHOX2B mRNA level and positive expression rate were significantly higher than that of paracancerous tissues (P < 0.05). By Pearson correlation analysis, the miR-203a-3p and PHOX2B mRNA levels of glioma patients were negatively correlated (P < 0.05). miR-203a-3p and PHOX2B were associated with KPS score, tumor tissue necrosis, and WHO grading (P < 0.05). Kaplan-Meier curve analysis yielded the results that the survival rate of the miR-203a-3p highly expressed group was significantly higher than that of the lowly expressed group (P < 0.05), and the survival rate of the PHOX2B mRNA highly expressed group was significantly lower than that of the lowly expressed group (P < 0.05). COX regression analysis showed that miR-203a-3p, PHOX2B mRNA, tumor tissue necrosis, and WHO grading were the risk factors affecting the prognosis of glioma patients (P < 0.05). Conclusion The expression level of miR-203a-3p is obviously reduced and the expression level of PHOX2B mRNA is obviously increased in glioma, both showing close correlation with clinical characteristics and prognosis.

Key words: micro RNA-203a-3p, paired-like homebox 2B, glioma, clinical characteristics, prognosis

CLC Number: