The Journal of Practical Medicine ›› 2023, Vol. 39 ›› Issue (22): 2885-2890.doi: 10.3969/j.issn.1006-5725.2023.22.005

• Feature Reports:Breast tumors • Previous Articles     Next Articles

FGF2 gene knockout inhibits MCF⁃7 cell proliferation, motility and invasion while promotes cell apoptosis

Zhenghua ZHANG1,2,Rongfu GONG1,Wen. FANG1,2()   

  1. *.Center for Clinical Laboratories,the Affiliated Hospital of Guizhou Medical University,Guiyang 550004,China
    *.School of Medical Laboratory Medicine,Guizhou Medical University,Guiyang 550004,China
  • Received:2023-08-28 Online:2023-11-25 Published:2023-12-11
  • Contact: Wen. FANG E-mail:fangwen@gmc.edu.cn

Abstract:

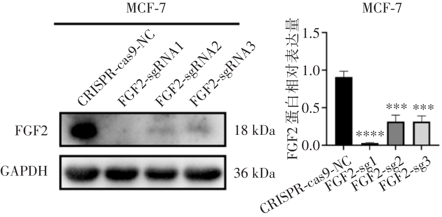
Objective To explore the effect and mechanism of fibroblast growth factor 2 (FGF2) knockout on proliferation, migration, invasion and apoptosis of human breast cancer cell line MCF?7. Methods FGF2?sgRNA gene sequence was inserted into the vector lenticrispv2 to create CRISPR?cas9?FGF2 stably transfected cell line, and FGF2 knockout in the cell lines and related apoptotic protein and cyclin indicators were detected by using Western blot. MCF?7 cells were separated into two groups: CRISPR?cas9?NC (control) and CRISPR?cas9?FGF2 (FGF2 knockout). CCK?8 assay and cell colony formation assay were used to detect cell proliferation ability, so were cell scratch assay and Transwell assay to detect cell migration and invasion ability, and flow cytometry to detect changes in cell cycles. Results (1) All three designed FGF2?sgRNA sequences were successfully linked to the carrier lenticrispv2. Western blot showed that FGF2?sgRNA1 knockout effect was more obvious (P < 0.000 1). The cellular proliferation, migration, and invasion ability were markedly lowered in the FGF2 knockout group as compared with the control group (P < 0.01). Expressions of Cyclin CDK2 and cyclinA were dramatically reduced (P < 0.001), the expression of pro?apoptotic protein Bax was increased (P < 0.001), whereas the expression of anti?apoptotic protein Bcl?2 was decreased (P < 0.001). A decline in the ratio of Bcl?2/Bax promoted apoptosis. Conclusions FGF2 gene knockout significantly inhibited proliferation, migration, and invasion of breast cancer cells, blocked cells in the S phase, inhibited cell division, and promoted cell apoptosis, indicating that FGF2 gene has become a potential molecular target for breast cancer therapy.

Key words: fibroblast growth factor 2, CRISPR/cas9, breast cancer, cell migration, apoptosis

CLC Number: