实用医学杂志 ›› 2023, Vol. 39 ›› Issue (20): 2629-2632.doi: 10.3969/j.issn.1006-5725.2023.20.013

• 临床研究 • 上一篇    下一篇

ECM1基因在膀胱癌中的表达及其与临床病理特征及预后关系

肖峰1,姜锡男2,舒露1,石家齐2,陈方敏3,穆毅1   

  1. 1.贵阳市第一人民医院泌尿外科 (贵阳 550002 )
    2.贵州医科大学附属医院泌尿外科 (贵阳 550001 )
    3.天津市第三中心医院泌尿外科 (天津 300170 )
  • 收稿日期:2023-05-24 出版日期:2023-10-25 发布日期:2023-11-15
  • 基金资助:
    贵州省卫生健康委科学技术基金项目(Gzwkj2023-160);贵阳市科技计划项目(筑科合同[2018]1-4号)

Expression of ECM1 gene in bladder cancer and its relationships with clinical pathological features and prognosis

Feng XIAO1,Xi′nan JIANG2,Lu SHU1,Jiaqi SHI2,Fangmin CHEN3,Yi. MU1   

  1. 1.Department of Urology,Guiyang First People′s Hospital,Guiyang 550002,China
  • Received:2023-05-24 Online:2023-10-25 Published:2023-11-15

摘要:

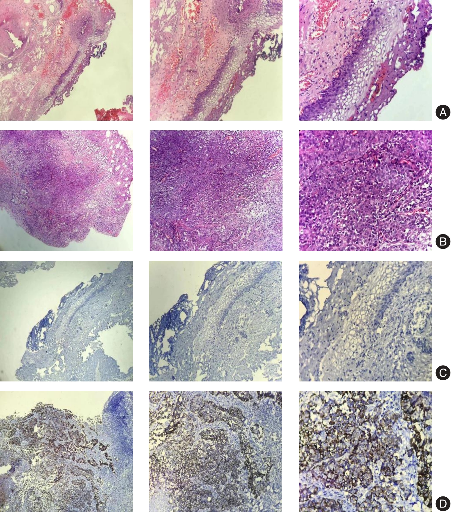
目的 探讨膀胱癌组织中EDM1的表达与临床病理特征和预后的关系。 方法 选取2018年1月至2019年12月贵州医科大学附属医院泌尿外科行根治术治疗的60例膀胱癌患者的癌组织样本。对比膀胱癌组织和癌旁组织中ECM1 MRNA表达。分析患者癌组织中ECM1表达与临床病理特征的关系。进一步分析ECM1表达与膀胱癌患者预后的关系。Cox风险比例回归模型评估影响预后的因素。 结果 与癌旁组织相比,膀胱癌组织中ECM1表达显著增加。ECM1蛋白在癌组织中的阳性率高达56.67%,癌旁组织阳性率为13.33%。膀胱癌患者病理Ⅲ级、TNMⅢ-Ⅳ期、有淋巴结转移膀胱癌患者ECM1表达高于病理Ⅰ-Ⅱ级、TNM Ⅰ-Ⅱ期、无淋巴结转移者。高表达ECM1的患者总生存率低于低表达患者,高表达ECM1患者预后较差。Cox回归分析结果显示ECM1是影响膀胱癌患者预后的独立危险因素。 结论 膀胱癌组织中ECM1表达增加与患者病理分级、淋巴结转移、TNM分期及预后相关,且ECM1高表达为膀胱患者预后的独立危险因素。

关键词: 膀胱癌, ECM1, 预后, 危险因素

Abstract:

Objective To investigate the expression of ECM1 in bladder cancer tissue and its relationships with clinical pathological features and prognosis. Methods A total of 60 patients with bladder cancer who underwent radical surgery at Department of Urology, Affiliated Hospital of Guizhou Medical University from January 2018 to December 2019 were enrolled in this study. The mRNA expression of ECM1 in the bladder cancer tissues and adjacent normal tissues of the patients was compared. The relationships of the ECM1 expression with the clinical pathological features and the prognosis of bladder cancer patients were analyzed. Cox proportional hazard regression model was used to evaluate the factors affecting prognosis. Results The expression of ECM1 in the bladder cancer tissues was significantly increased. The positive rate of ECM1 protein in the cancer tissues was 56.67%, and the positive rate in the paracancerous tissues was 13.33%. The expression of ECM1 in the bladder cancer patients with pathology stage Ⅲ, TNM stage Ⅲ-Ⅳ, and lymph node metastasis was higher than that in those with pathology stage Ⅰ-Ⅱ, TNM stage Ⅰ-Ⅱ, and no lymph node metastasis. The patients with high expression of ECM1 had lower overall survival rates and poorer prognosis than those with low expression. Cox regression analysis showed that ECM1 was an independent risk factor affecting the prognosis of the patients. Conclusion The increased expression of ECM1 in bladder cancer tissues of bladder cancer patients is correlated with pathological grading, lymph node metastasis, TNM staging, and their prognosis. High expression of ECM1 is an independent risk factor for poor prognosis of the patients.

Key words: bladder cancer, ECM1, prognosis, risk factor

中图分类号: