实用医学杂志 ›› 2024, Vol. 40 ›› Issue (9): 1262-1267.doi: 10.3969/j.issn.1006-5725.2024.09.014

• 临床研究 • 上一篇    下一篇

脑胶质瘤组织ZEB2、CCL20表达及其与患者预后的相关性

肖仕和,李钢,刘仲海(),刘珍   

  1. 三亚中心医院 (海南 三亚 572000 )
  • 收稿日期:2023-11-02 出版日期:2024-05-10 发布日期:2024-05-15
  • 通讯作者: 刘仲海 E-mail:87659306@qq.com
  • 基金资助:
    海南省卫生健康行业科研项目(20A200300)

Expression of ZEB2 and CCL20 in glioma tissue and their correlation with prognosis

Shihe XIAO,Gang LI,Zhonghai LIU(),Zhen. LIU   

  1. Sanya Central Hospital,Sanya 572000,China
  • Received:2023-11-02 Online:2024-05-10 Published:2024-05-15
  • Contact: Zhonghai LIU E-mail:87659306@qq.com

摘要:

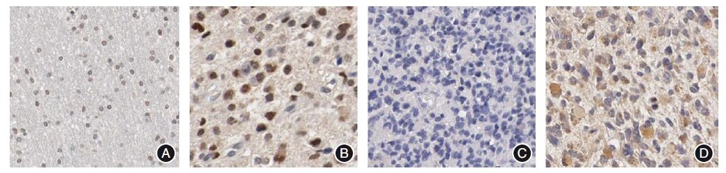
目的 探讨脑胶质瘤组织中E盒结合锌指蛋白2(ZEB2)、CC趋化因子配体20(CCL20)表达情况及其与患者预后的关系。 方法 收集156例脑胶质瘤患者的肿瘤组织为肿瘤组,收集同期52例正常脑组织为正常组。采用免疫组织化学法检测组织中ZEB2、CCL20的表达情况,采用Kaplan-Meier生存曲线分析二者表达情况与生存的关系。根据随访3年的生存情况分为预后不良组与预后良好组,通过COX回归分析预后影响因素。 结果 肿瘤组ZEB2、CCL20阳性表达率均高于正常组(P < 0.05)。156例脑胶质瘤患者3年生存率为69.87%。ZEB2、CCL20阳性表达患者的生存率均低于ZEB2、CCL20阴性表达患者(P < 0.001)。年龄、肿瘤最大直径、肿瘤病理分级、ZEB2与CCL20阳性表达均是导致脑胶质瘤患者预后不良的危险因素(P < 0.05),术前KPS、术后放疗、替莫唑胺疗程均为保护因素(P < 0.05)。 结论 脑胶质瘤患者肿瘤组织中ZEB2与CCL20表达水平均上调,二者表达均与患者预后有关。

关键词: 脑胶质瘤, E盒结合锌指蛋白2, CC趋化因子配体20, 预后

Abstract:

Objective To investigate the expression of zinc finger E-box-binding protein 2(ZEB2) and CC chemokine ligand 20 (CCL20) in glioma tissue and their relationship with prognosis. Methods The tumor tissues of 156 patients with glioma were collected as tumor group and 52 normal brain tissues of the same period were collected as normal group. The expression of ZEB2 and CCL20 in tissues were detected by immunohistochemistry, and the relationship between the expression and survival was analyzed by Kaplan-Meier survival curve. Patients in the tumor group were followed up for three years and grouped into a poor prognosis group and a good prognosis group based on their survival status, and the prognostic factors were analyzed by COX regression. Results The positive expression rate of ZEB2 and CCL20 in the tumor group were higher than those in the normal group (P < 0.05). The 3-year survival rate of 156 glioma patients was 69.87%. The survival rate of patients with positive ZEB2 and CCL20 expression was lower than that of patients with negative expression (P < 0.001). Age, maximum tumor diameter, tumor pathological grade, and positive expression of ZEB2 and CCL20 were all risk factors for poor prognosis of patients with glioma (P < 0.05), and preoperative KPS, postoperative radiotherapy, and course of temozolomide treatment were all protective factors (P < 0.05). Conclusion The expression level of ZEB2 and CCL20 in tumor tissues of glioma patients is up-regulated, and related to the prognosis of patients.

Key words: glioma, zinc finger E-box-binding protein 2, CC chemokine ligand 20, prognosis

中图分类号: