The Journal of Practical Medicine ›› 2024, Vol. 40 ›› Issue (14): 1969-1974.doi: 10.3969/j.issn.1006-5725.2024.14.012
• Clinical Research • Previous Articles Next Articles
Yigang TAN,Honglan ZHONG(
),Chunming LUO,Xingshan CAI,Bitong WU,Hui FAN,Min. SONG
Received:2024-01-29
Online:2024-07-25
Published:2024-07-15
Contact:
Honglan ZHONG
E-mail:zhonghong1206@21cn.com
CLC Number:
Yigang TAN,Honglan ZHONG,Chunming LUO,Xingshan CAI,Bitong WU,Hui FAN,Min. SONG. Clinical analysis of pulmonary tuberculosis complicated with Nocardia farcinica[J]. The Journal of Practical Medicine, 2024, 40(14): 1969-1974.
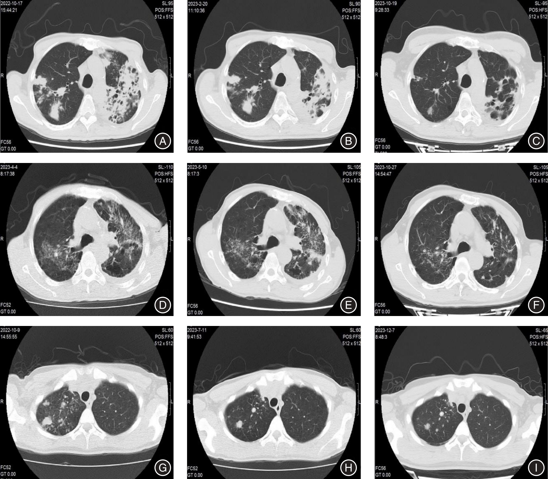
Tab.1
Diagnosis and treatment of patients with TB-associated Nocardia lung disease"
| 病例 | 性别 | 年龄 (岁) | 影像学指示 病灶部位 | 合并免疫受损 相关的基础性疾病 | 抗结核 治疗时间 | 诺卡菌培 检出时间 | 抗诺卡菌 治疗时间 |
|---|---|---|---|---|---|---|---|
| 1 | 男 | 67 | 双肺/脑 | 类风湿性关节炎/糖尿病 | 03/09/2020 ~ 01/01/2021 | 23/12/2020 | 23/12/2020 ~ 01/01/2021 |
| 2 | 女 | 23 | 双肺/喉/双颈淋巴结/左侧胸膜 | 无 | 02/03/2021 ~ 20/09/2022 | 13/01/2022 | 09/02/2022 ~ 30/08/2022 |
| 3 | 女 | 45 | 双肺/支气管(右上肺空洞) | 右侧支扩 | 15/11/2021 ~ 15/11/2022 | 24/04/2023 | 02/06/2023 ~ 01/09/2023 |
| 4 | 男 | 54 | 双肺/支气管(左上肺空洞) | 糖尿病/低蛋白/左上支扩 | 16/11/2021 ~ 21/06/2023 | 17/05/2023 | 21/06/2023 ~ |
| 5 | 男 | 55 | 双肺/左侧胸膜(右上/左上下肺空洞) | 糖尿病/低蛋白 | 09/07/2022 ~ 19/10/2023 | 19/01/2023 | 23/02/2023 ~ 13/11/2023 |
| 6 | 女 | 20 | 右上下肺/支气管/纵隔淋巴结 | 无 | 30/08/2022 ~ 30/08/2023 | 14/06/2023 | 09/07/2023 ~ 20/12/2023 |
| 7 | 女 | 33 | 右肺上叶 | 无 | 13/10/2022 ~ 27/10/2023 | 10/02/2023 | 24/05/2023 ~ 30/11/2023 |
| 8 | 男 | 21 | 双肺上叶(右上肺空洞) | 无 | 27/11/2022 ~ 17/08/2023 | 29/01/2023 | 23/03/2023 ~ 17/08/2023 |
| 9 | 女 | 69 | 双肺(右上肺空洞) | 糖尿病/双肺支扩 | 30/12/2022 ~ | 29/07/2023 | 05/10/2023 ~ |
| 10 | 男 | 63 | 右上下肺 | 糖尿病 | 17/01/2023 ~ | 15/05/2023 | 09/06/2023 ~ |
| 11 | 女 | 49 | 右肺上下叶 | 无 | 10/02/2023 ~ 10/11/2023 | 29/05/2023 | 07/07/2023 ~ 27/10/2023 |
| 12 | 女 | 53 | 双肺/支气管 | 无 | 12/03/2023 ~ | 30/06/2023 | 02/08/2023 ~ 30/12/2023 |
| 13 | 男 | 50 | 双肺(双肺空洞) | 糖尿病/低蛋白 | 23/03/2023 ~ | 02/08/2023 | 30/08/2023 ~ |
| 14 | 男 | 65 | 双肺/左侧胸膜(右下/左上肺空洞) | 低蛋白 | 30/03/2023 ~ | 04/08/2023 | 15/09/2023 ~ |
| 15 | 女 | 86 | 双肺(右上肺空洞) | 糖尿病/间质性肺炎 | 15/04/2023 ~ | 09/06/2023 | 02/08/2023 ~ |
| 16 | 男 | 20 | 左肺上叶/左侧胸膜 | 无 | 21/04/2023 ~ | 25/07/2023 | 25/08/2023 ~ |
| 17 | 女 | 27 | 双肺/支气管 | 支扩 | 21/04/2023 ~ | 03/08/2023 | 01/09/2023 ~ |
| 18 | 男 | 51 | 双肺/纵隔淋巴结(双肺多发空洞) | 肾病综合征/类固醇糖尿病 | 04/04/2023 ~ | 09/06/2023 | 20/06/2023 ~ |
| 19 | 男 | 21 | 双肺/支气管 | 双肺支扩 | 21/05/2023 ~ | 04/07/2023 | 25/07/2023 ~ |
| 20 | 男 | 75 | 双肺/右上空洞 | 无 | 25/05/2023 ~ | 19/06/2023 | 16/08/2023 ~ |
| 21 | 男 | 78 | 双肺下叶 | 肺癌脑转移/慢性阻塞性肺病 | 01/06/2023 ~ | 30/07/2023 | 01/09/2023 ~ |
| 22 | 男 | 61 | 双肺(右上肺空洞) | 糖尿病 | 02/06/2023 ~ | 18/05/2023 | 13/06/2023 ~ |
| 1 |
HUANG L, SUN L Y, YAN Y. Characteristics of nocardiosis patients with different immune status from a Chinese tertiary general hospital during 8-year period A STROBE-compliment observational study[J]. Medicine (Baltimore), 2019,98(45): e17913. doi:10.1097/md.0000000000017913
doi: 10.1097/md.0000000000017913 |
| 2 |
YADAV P, KUMAR D, MEENA D S,et al. Clinical Features, Radiological Findings, and Treatment Outcomes in Patients with Pulmonary Nocardiosis: A Retrospective Analysis[J]. Cureus,2021,13(8): e17250. doi:10.7759/CUREUS.17250
doi: 10.7759/CUREUS.17250 |
| 3 |
ZHONG C, HUANG P P, ZHAN Y S,et al. Clinical Features of Pulmonary Nocardiosis in Patients with Different Underlying Diseases:A Case Series Study[J]. Infect Drug Resist, 2022,15:1167-1174. doi:10.2147/idr.s359596
doi: 10.2147/idr.s359596 |
| 4 |
WEI M, XU X M, YANG J X,et al. MLSA phylogeny and antimicrobial susceptibility of clinical Nocardia isolates:a multicenter retrospective study in China[J]. BMC Microbiol, 2021,21(1):342. doi:10.1186/s12866-021-02412-x
doi: 10.1186/s12866-021-02412-x |
| 5 | 中国结核病预防控制工作技术规范( 2020 版)诊断标准。 |
| 6 | 中华人民共和国卫生行业标准W S288-2017结核病诊断标准。 |
| 7 | 阮继生. “伯杰氏系统细菌学手册(第二版)”第5卷与我国的放线菌系统学研究 [J]. 微生物学报, 2013, 53(6): 521-530. |
| 8 |
BARBARA A B, JUNE M B, PATRICIA S C, et al. Clinical and laboratory features of the Nocardia spp.based on current molecular Taxonomy[J]. Clin Microbiol Rev, 2006,19(2):259-282. doi:10.1128/cmr.19.2.259-282.2006
doi: 10.1128/cmr.19.2.259-282.2006 |
| 9 |
WANG C H, SUN Q, YAN J,et al. The species distribution and antimicrobial resistance profiles of Nocardia species in China: A systematic review and meta-analysis[J]. PLoS Negl Trop Dis,2023,17(7):e0011432. doi:10.1371/journal.pntd.0011432
doi: 10.1371/journal.pntd.0011432 |
| 10 |
BAI Y H, LIU K Y, CHEN Y Q,et al. Disseminated Infection of Nocardia farcinica in an Immunocompetent Adult: Mistaken for Tuberculosis Bacilli in Acid-Fast Staining of Bronchoalveolar Lavage Fluid[J]. J Cytol, 2021,38(2):106-108. doi:10.4103/joc.joc_208_20
doi: 10.4103/joc.joc_208_20 |
| 11 |
ENGELBRECHT A, SAAD H, GROSS H,et al. Natural Products from Nocardia and Their Role in Pathogenicity[J]. Microb Physiol, 2021,31(3): 217-232. doi:10.1159/000516864
doi: 10.1159/000516864 |
| 12 |
MURICY E C, LEMES R A, BOMBARDA S,et al. Differentiation between Nocardia spp. and Mycobacterium spp.: Critical aspects for bacteriological diagnosis[J]. Rev Inst Med Trop Sao Paulo,2014,56(5):397-401. doi:10.1590/s0036-46652014000500005
doi: 10.1590/s0036-46652014000500005 |
| 13 |
DUGGAL S D, CHUGH T D. Nocardiosis: A Neglected Disease.Med Princ Pract[J]. Med Princ Pract, 2020,29(6):514-523. doi:10.1159/000508717
doi: 10.1159/000508717 |
| 14 |
HU Y N, ZHU Y, LI C,et al. Evaluation of BACTEC MGIT 960 system for recovery of Nocardia from clinical specimens[J]. Diagn Microbiol Infect Dis, 2023,106(4):115989. doi:10.1016/j.diagmicrobio.2023.115989
doi: 10.1016/j.diagmicrobio.2023.115989 |
| 15 |
牟向东,郭文佳,蔡存良,等. 支气管扩张症合并肺诺卡菌病临床病例分析[J]. 中华结核和呼吸杂志, 2022,3(45):276-281. doi:10.3760/cma.j.cn112147-20211128-00844
doi: 10.3760/cma.j.cn112147-20211128-00844 |
| 16 |
STEINBRINK J, LEAVENSL J, KAUFFMAN C A,et al. Manifestations and outcomes of nocardia infections Comparison of immunocompromised and nonimmunocompromised adult patients[J].Medicine (Baltimore), 2018,97(40):e12436. doi:10.1097/md.0000000000012436
doi: 10.1097/md.0000000000012436 |
| 17 |
JIAO M F, MA X X, LI Y G,et al. Metagenomic next-generation sequencing provides prognostic warning by identifying mixed infections in nocardiosis[J]. Front Cell Infect Microbiol, 2022,12:894678. doi:10.3389/fcimb.2022.894678
doi: 10.3389/fcimb.2022.894678 |
| 18 |
WANG L, XU Y, CHEN Z,et al. Nocardiosis: A two-center analysis of clinical characteristics[J]. Front Med(Lausanne), 2022,9: 996442. doi:10.3389/fmed.2022.996442
doi: 10.3389/fmed.2022.996442 |
| 19 |
YETMAR Z A, KHODADADI R B, CHESDACHAI S,et al. Mortality After Nocardiosis: Risk Factors and Evaluation of Disseminated Infection[J]. Open Forum Infect Dis, 2023,10(8):ofad409. doi:10.1093/ofid/ofad409
doi: 10.1093/ofid/ofad409 |
| 20 |
练巧燕,陈奥,徐鑫,等. 肺移植受者诺卡菌感染5例临床分析[J]. 中华器官移植杂志, 2021,42(7),417-421. doi:10.3760/cma.j.cn421203-20200303-00055
doi: 10.3760/cma.j.cn421203-20200303-00055 |
| 21 | 李君,陈虹,吴广东,等. 肝移植术后皮疽诺卡菌感染1例[J].中华器官移植杂志, 2022,43(10):622-624. |
| 22 |
AKANE T, TAKASHI Y, YASUAKI T,et al. Nocardiosis in Japan:a Multicentric Retrospective Cohort Study[J]. Antimicrob Agents Chemother, 2022,66(2):e0189021. doi:10.1128/aac.01890-21
doi: 10.1128/aac.01890-21 |
| 23 | KHURRAM Z, TAHA N, MUHAMMAD F,et al. Ten Year Review of Pulmonary Nocardiosis: A Series of 55 Cases[J]. Cureus,2019,11(5): e4759. |
| 24 |
RUBEN M B. Isolated Nocardiosis, an Unrecognized Primary Immunodeficiency?[J]. Front Immunol, 2020,11:590239. doi:10.3389/fimmu.2020.590239
doi: 10.3389/fimmu.2020.590239 |
| 25 |
DONG G W, CHU P, GUO J,et al. Nontuberculous mycobacterial and Nocardia infections mimicking pulmonary tuberculosis: a retrospective study of a general hospital patient population in China[J]. J Med Microbiol, 2020,69(9):1145-1150. doi:10.1099/jmm.0.000961
doi: 10.1099/jmm.0.000961 |
| 26 |
MEHRABADI S M, TARAGHIAN M, PIROUZI A,et al. Pulmonary Nocardiosis in Suspected Tuberculosis Patients: A Systematic Review and Meta- Analysis of Cross-Sectional Studies[J].Ethiop J Health Sci, 2020, 30(2):293-300. doi:10.4314/ejhs.v30i2.17
doi: 10.4314/ejhs.v30i2.17 |
| 27 |
ALIZADEH S A, JAVADI A, MARDANEH J,et al. Development of a SYBR Green Multiplex Real Time PCR for Simultaneous Detection of Mycobacterium Tuberculosis and Nocardia Asteroides in Respiratory Samples[J]. Ethiop J Health Sci, 2021,31(2):241-246. doi:10.4314/ejhs.v31i2.6
doi: 10.4314/ejhs.v31i2.6 |
| 28 |
UMAIRI R S, PANDAK N, BUSAIDI M A. The Findings of Pulmonary Nocardiosis on Chest High Resolution Computed Tomography:Single centre experience and review of literature[J]. Sultan Qaboos Univ Med J, 2022,22(3):357-361. doi:10.18295/squmj.9.2021.131
doi: 10.18295/squmj.9.2021.131 |
| 29 |
叶涛,杨杰,傅昌瑜,等. 肺诺卡菌病的胸部CT特征[J]. 国际呼吸杂志, 2020, 40(24):1862-1867. doi:10.3760/cma.j.cn131368-20200328-00229
doi: 10.3760/cma.j.cn131368-20200328-00229 |
| 30 |
NDLOVU M, JEENA P M, THULA S A,et al. Disseminated nocardiosis in an immunocompetent patient[J]. Afr J Thorac Crit Care Med, 2019,25(4):10.7196/AJTCCM.2019.v25i4.026. doi:10.7196/sarj.2019.v25i4.026
doi: 10.7196/sarj.2019.v25i4.026 |
| 31 |
SINGH A, CHHINA D, SONI R K,et al. Clinical spectrum and outcome of pulmonary nocardiosis: 5-year experience[J]. Lung India, 2016, 33(4):398-403. doi:10.4103/0970-2113.184873
doi: 10.4103/0970-2113.184873 |
| 32 |
LI J, SHEN H, YU T,et al. Isolation and Characterization of Nocardia Species from Pulmonary Nocardiosis in a Tertiary Hospital in China[J]. Jpn J Infect Dis, 2022,75(1):31-35. doi:10.7883/yoken.jjid.2020.1096
doi: 10.7883/yoken.jjid.2020.1096 |
| [1] | Xiuting HUANG,Jie LIN,Xiaoxin YE,Jiazuo CAI,Yawei. YUAN. Copper regulates the radiosensitivity of nasopharyngeal carcinoma by activating MAPK-ERK signaling pathway [J]. The Journal of Practical Medicine, 2024, 40(9): 1191-1196. |
| [2] | Yuxuan DING,Lining GUO,Jiayi SHEN,Lijun. WANG. Safety and efficacy of radiotherapy and PD⁃1/PD⁃L1 inhibitor + TKI for MSS/pMMR colorectal cancer with liver metastases [J]. The Journal of Practical Medicine, 2024, 40(9): 1293-1297. |
| [3] | Xi LIU,Xiaona LIU,Chao LI,Rui XIAN,Lihong CUI. Efficacy analysis of different regimens for treatment of Helicobacter pylori infection combined with small intestinal bacterial overgrowth [J]. The Journal of Practical Medicine, 2024, 40(9): 1303-1308. |
| [4] | Qi CHEN,Yaxi ZHANG,Mingxia ZHANG,Jieyun ZHANG,Qianting. YANG. The detection value of tuberculosis-specific QFT-TB in different types of specimens of tuberculosis patients [J]. The Journal of Practical Medicine, 2024, 40(7): 1002-1005. |
| [5] | Xiya MA,Hu JI,Zehua ZHU,Bo PAN,Qiang XIE,Xiaobo. YAO. The predictive value of 18F⁃FDG PET/CT metabolic heterogeneity parameters combined with clinical features for the prognosis of esophageal squamous cell carcinoma before definitive radiochemotherapy [J]. The Journal of Practical Medicine, 2024, 40(7): 966-971. |
| [6] | Xiaotong LIU,Xianhua SU,Zhijun XIN,Fengqiong GAO,Jiayi FENG,Tongxia. XIA. Risk factors of postoperative complications in patients with spinal tuberculosis and the predictive value of prognostic nutritional index [J]. The Journal of Practical Medicine, 2024, 40(7): 972-978. |
| [7] | Fazhu FEI,Jiajun LU,Shuai ZHANG,Hao LI,Bin REN. Clinical application progress of immunization and targeted therapy for Hepatocellular Carcinoma in special populations [J]. The Journal of Practical Medicine, 2024, 40(6): 738-742. |
| [8] | Junhong XU,Hongbing YAO,Xueyao WANG,Wei GUO,Caijin LU,Jiaxing WU,Jianhui JIANG,Dongkang ZHAO. Clinical efficacy of FOLFOX⁃HAIC combined with lenvatinib and PD⁃1 inhibitor in the treatment of intermediate and advanced Hepatocellular Carcinoma [J]. The Journal of Practical Medicine, 2024, 40(6): 762-767. |
| [9] | Yong LIU,XiaoLei CHENG,Xiangli CUI,Hao TANG,Huanzhen CHEN. ROBO3 deficiency promotes chemotherapy⁃induced transition of macrophage to foam cell [J]. The Journal of Practical Medicine, 2024, 40(6): 787-795. |
| [10] | Shu CHEN,Jinglei ZHANG,Kang RONG,Nan ZHANG,Weiyi SUN. Research progress of exosomes in distant metastasis and drug resistance of gastric cancer [J]. The Journal of Practical Medicine, 2024, 40(6): 870-876. |
| [11] | Jing HU,Xu WANG,Xiaoqin GONG,Rui LING,Tao YOU,Chunhua DAI,Ye TIAN,Fei. CHEN. Analysis of dosimetric parameters of acute radiation enteritis in cervical cancer patients treated with concurrent chemoradiotherapy [J]. The Journal of Practical Medicine, 2024, 40(5): 672-676. |
| [12] | Wenji ZHUO,Ran WEI,Yanmei CHEN,Xunxun CHEN,Meiling YU,Huixin GUO,Hongdi LIANG,Jing LIANG,Xiaoyu. LAI. Drug resistance characteristics and treatment strategies of TB patients in three age groups in Guangdong Province from 2014 to 2020 [J]. The Journal of Practical Medicine, 2024, 40(5): 702-707. |
| [13] | Yigang TAN,Haobin KUANG,Hongmei FU,Chunyan LI,Xiaobing ZHAO,Lijing XUE. Analysis of clinical characteristics of 33 cases of tuberculosis complicated by tumor necrosis factor⁃α inhibitor in autoimmune diseases [J]. The Journal of Practical Medicine, 2024, 40(3): 378-383. |
| [14] | Jiang SHAO,Lin LI,Yansong GUO,Chengyuan SUN,Xichao WEN,Kebin ZHENG,Yanfang SHI. Research progress of CD73/NT5E in glioblastoma [J]. The Journal of Practical Medicine, 2024, 40(3): 428-431. |
| [15] | Huiling YE,Renming. ZHONG. Progress in assessing the treatment accuracy of liver stereotactic body radiotherapy through post-therapeutic magnetic resonance imaging morphologic alterations [J]. The Journal of Practical Medicine, 2024, 40(22): 3119-3123. |
| Viewed | ||||||
|
Full text |
|
|||||
|
Abstract |
|
|||||

