The Journal of Practical Medicine ›› 2026, Vol. 42 ›› Issue (7): 1280-1285.doi: 10.3969/j.issn.1006-5725.2026.07.022

• Modernization of Traditional Chinese Medicine • Previous Articles    

Clinical observation of ultrasound-guided myofascial trigger point acupuncture combined with conventional western medicine for primary dysmenorrhea

Jun WANG1,Qiang LI1,Yeying ZHENG1,Yuan ZHOU1,Juan MIAO1,Lin LIU2()   

  1. 1.Department of Anesthesiology,Fourth People's Hospital of Zigong City,Zigong 637000,Sichuan,China
    2.School of Sports and Health,Nanjing Sport University,Nanjing 210014,Jiangsu,China
  • Received:2025-12-24 Revised:2026-01-26 Accepted:2026-01-27 Online:2026-04-10 Published:2026-04-13
  • Contact: Lin LIU E-mail:wj19870721@sina.com

Abstract:

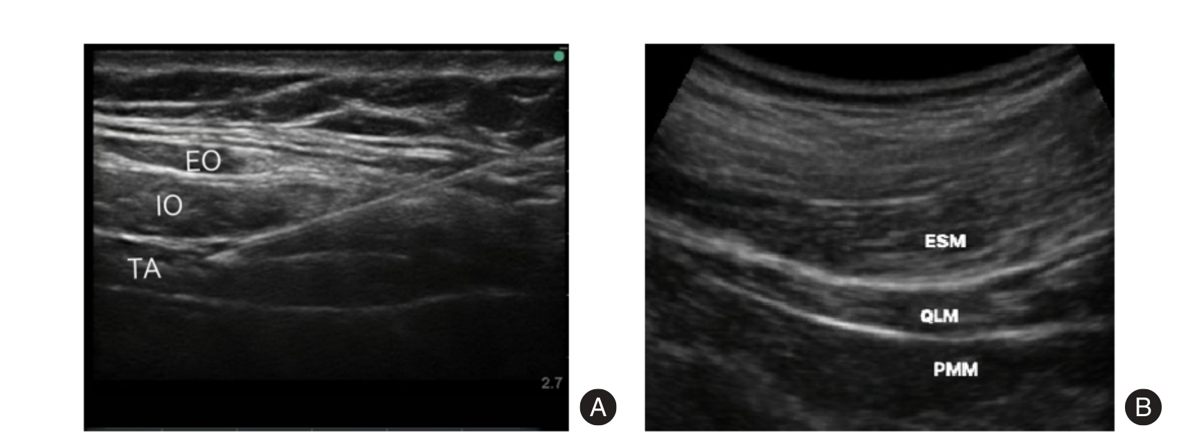
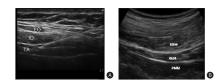
Objective To evaluate the clinical efficacy of ultrasound-guided myofascial trigger point acupuncture in combination with conventional Western medicine for the treatment of primary dysmenorrhea. Methods A total of 112 patients with primary dysmenorrhea who were admitted to the Department of Anesthesiology of Zigong Fourth People’s Hospital from January 2023 to August 2024 were enrolled in the study. These patients were randomly divided into two groups (n = 56 each) by using a random number table. The control group was treated with ibuprofen granules, whereas the observation group received ultrasound-guided myofascial trigger point acupuncture in addition. Therapeutic efficacy, pain intensity, dysmenorrhea symptoms, uterine microcirculation, and serum pain-related mediators were compared between the two groups. Results The total effective rate in the observation group was 94.64%, which was significantly higher than that in the control group (80.36%, P < 0.05). After treatment, both groups experienced reductions in scores on the Short-Form McGill Pain Questionnaire (SF-MPQ), Visual Analog Scale (VAS), resistance index (RI), pulsatility index (PI), systolic/diastolic ratio (S/D), prostaglandin E2, and substance P levels (all P < 0.05). Moreover, the observation group exhibited lower values than the control group in all these aspects (all P < 0.05). Beta-endorphin levels increased in both groups after treatment, and the levels in the observation group were significantly higher (P < 0.05). Conclusion Ultrasound-guided myofascial trigger point acupuncture, when combined with conventional Western medicine, significantly enhances clinical outcomes in primary dysmenorrhea, alleviates pain, improves uterine microcirculation, and regulates serum pain-related mediators.

Key words: ultrasound-guided, myofascial trigger point acupuncture, primary dysmenorrhea, clinical efficacy

CLC Number: