The Journal of Practical Medicine ›› 2026, Vol. 42 ›› Issue (5): 869-877.doi: 10.3969/j.issn.1006-5725.2026.05.019
• Treatise: Clinical Practice • Previous Articles
Neng HU1,Jianghua SHEN1,Mei YAO2,Xinqian ZHAO1(
)
Received:2025-09-30
Online:2026-03-10
Published:2026-03-09
Contact:
Xinqian ZHAO
E-mail:1807615333@163.com
CLC Number:
Neng HU,Jianghua SHEN,Mei YAO,Xinqian ZHAO. The assessment value of nomogram prediction model based on lung ultrasound and clinical indicators for children with severe mycoplasma pneumoniae pneumoniae prognosis[J]. The Journal of Practical Medicine, 2026, 42(5): 869-877.
Tab.1
Comparison of clinical data between training set and test set"
| 项目 | 训练集(n = 368) | 测试集(n = 159) | t/χ2/Z值 | P值 |
|---|---|---|---|---|
| 年龄(x ± s)/岁 | 7.38 ± 4.02 | 7.31 ± 4.26 | -0.186 | 0.852 |
| 性别/[例(%)] | 1.492 | 0.222 | ||
| 男 | 194(52.72) | 93(58.49) | ||
| 女 | 174(47.28) | 66(41.51) | ||
| 入院前发烧持续时间/d | 6.00(3.00,8.00) | 6.00(3.00,8.00) | -0.246 | 0.806 |
| 治疗时发烧持续时间/d | 5.00(3.00,6.00) | 5.00(3.00,7.00) | -0.480 | 0.631 |
| 咳嗽/[例(%)] | 334(90.76) | 147(92.45) | 0.399 | 0.528 |
| 高热/[例(%)] | 273(74.18) | 114(71.70) | 0.352 | 0.553 |
| 腹痛/胸痛/[例(%)] | 47(12.77) | 24(15.09) | 0.514 | 0.474 |
| WBC计数/(× 109/L) | 7.74(4.88,9.99) | 7.66(5.31,10.79) | -1.318 | 0.187 |
| 中性粒细胞绝对值/(× 109/L) | 5.32(4.58,6.12) | 5.52(4.60,6.07) | -0.335 | 0.738 |
| 单核细胞数/(× 109/L) | 0.97(0.59,1.42) | 1.06(0.67,1.38) | -0.754 | 0.451 |
| CRP/(mg/L) | 20.51(12.74,28.10) | 21.52(13.79,26.71) | -0.304 | 0.761 |
| ALT/(U/L) | 24.23(17.08,30.15) | 22.08(16.52,28.39) | -1.378 | 0.168 |
| PCT/(ng/mL) | 0.46(0.29,0.65) | 0.47(0.27,0.66) | -0.239 | 0.811 |
| D-二聚体/(μg/mL) | 1.56(0.96,2.10) | 1.61(0.97,2.16) | -0.089 | 0.929 |
| LDH/(U/L) | 300.07(262.48,337.92) | 308.14(263.95,352.61) | -1.335 | 0.182 |
| IL-6/(pg/mL) | 219.23(197.57,242.41) | 222.36(199.06,241.23) | -0.494 | 0.621 |
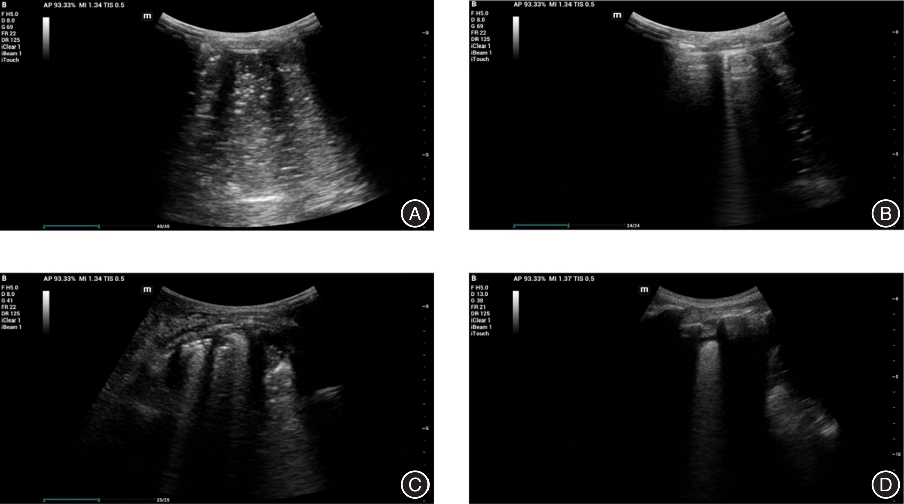
| B线/[例(%)] | - | 0.438 | ||
| 散在的B线 | 6(1.63) | 4(2.52) | ||
| 密集的B线 | 354(96.20) | 149(93.71) | ||
| 融合的B线 | 8(2.17) | 6(3.77) | ||
| 肺实变 | ||||
| 最大直径/cm | 5.11(3.17,7.31) | 4.86(2.66,7.28) | -0.692 | 0.489 |
| 实变大小/BSA | 6.13(3.85,8.47) | 6.37(3.50,8.23) | -0.041 | 0.967 |
| 单侧实变/[例(%)] | 315(85.60) | 145(91.19) | 3.134 | 0.077 |
| 支气管造影/[例(%)] | ||||
| 空气 | 341(92.66) | 146(91.82) | 0.111 | 0.738 |
| 液体 | 14(3.80) | 7(4.40) | 0.104 | 0.747 |
| CDFI | 351(95.38) | 150(94.34) | 0.256 | 0.613 |
| 胸腔积液 | 130(35.33) | 55(34.59) | 0.026 | 0.871 |
Tab.2
Comparison of clinical data between good prognosis and poor prognosis groups after training set"
| 项目 | 预后良好组(n = 315) | 预后不良组(n = 53) | t/χ2/Z值 | P值 |
|---|---|---|---|---|
| 年龄(x ± s)/岁 | 7.49 ± 4.04 | 6.75 ± 3.88 | 1.226 | 0.221 |
| 性别/[例(%)] | 3.120 | 0.077 | ||
| 男 | 172(54.60) | 22(41.51) | ||
| 女 | 143(45.40) | 31(58.49) | ||
| 入院前发烧持续时间/d | 6.00(3.00,8.00) | 5.000(3.00,8.00) | -0.812 | 0.417 |
| 治疗时发烧持续时间/d | 4.00(3.00,6.00) | 9.000(6.00,11.00) | -8.225 | < 0.001 |
| 咳嗽/[例(%)] | 284(90.16) | 50(94.34) | 0.513 | 0.474 |
| 高热/[例(%)] | 225(71.43) | 48(90.57) | 8.676 | 0.003 |
| 腹痛/胸痛/[例(%)] | 38(12.06) | 9(16.98) | 0.985 | 0.321 |
| WBC计数/(×109/L) | 7.63(4.68,9.83) | 8.44(5.92,12.59) | -2.748 | 0.006 |
| 中性粒细胞绝对值/(×109/L) | 5.15(4.46,5.96) | 6.20(5.56,6.67) | -6.092 | < 0.001 |
| 单核细胞数/(×109/L) | 0.96(0.60,1.42) | 1.03(0.47,1.44) | -0.411 | 0.681 |
| CRP/(mg/L) | 20.78(13.27,28.15) | 15.91(10.18,27.51) | -1.657 | 0.097 |
| ALT/(U/L) | 24.01(16.90,30.25) | 25.39(17.83,29.26) | -0.531 | 0.595 |
| PCT/(ng/mL) | 0.45(0.28,0.64) | 0.47(0.33,0.68) | -1.355 | 0.175 |
| D-二聚体/(μg/mL) | 1.43(0.90,2.02) | 2.63(1.61,3.55) | -6.679 | < 0.001 |
| LDH/(U/L) | 287.73(257.80,329.18) | 384.00(326.19,457.22) | -8.285 | < 0.001 |
| IL-6/(pg/mL) | 219.53(197.26,243.07) | 217.89(198.70,240.29) | -0.375 | 0.707 |
| B线/[例(%)] | - | 1.000 | ||
| 散在的B线 | 5(1.59) | 1(1.89) | ||
| 密集的B线 | 303(96.19) | 51(96.22) | ||
| 融合的B线 | 7(2.22) | 1(1.89) | ||
| 肺实变 | ||||
| 最大直径/cm | 5.03(3.13,7.36) | 5.68(3.60,7.07) | -0.301 | 0.764 |
| 实变大小/BSA | 5.83(3.70,8.11) | 8.33(5.99,9.84) | -4.268 | < 0.001 |
| 单侧实变/[例(%)] | 268(85.08) | 47(88.68) | 0.477 | 0.490 |
| 支气管造影/[例(%)] | ||||
| 空气 | 301(95.56) | 40(75.47) | 24.043 | < 0.001 |
| 液体 | 6(1.90) | 8(15.09) | 18.112 | < 0.001 |
| CDFI | 299(94.39) | 51(96.23) | - | 0.749 |
| 胸腔积液 | 97(30.79) | 33(62.26) | 19.666 | < 0.001 |
Tab.3
Single-factor and multivariate logistic regression analysis of adverse prognostic factors in children with SMPP"
| 变量 | 单因素 | 多因素 | ||
|---|---|---|---|---|
| P值 | OR(95%CI) | P值 | OR(95%CI) | |
| 治疗时发烧持续时间 | < 0.001 | 1.71(1.49 ~ 1.96) | 0.008 | 1.26(1.06 ~ 1.49) |
| 高热 | 0.006 | 3.84(1.48 ~ 9.96) | 0.480 | 1.55(0.46 ~ 5.22) |
| WBC计数 | < 0.001 | 1.17(1.07 ~ 1.28) | 0.190 | 1.10(0.95 ~ 1.28) |
| 中性粒细胞绝对值 | < 0.001 | 3.51(2.30 ~ 5.36) | 0.008 | 2.19(1.22 ~ 3.91) |
| DD二聚体 | < 0.001 | 4.43(2.94 ~ 6.68) | 0.007 | 2.01(1.21 ~ 3.33) |
| LDH | < 0.001 | 1.03(1.02 ~ 1.04) | < 0.001 | 1.02(1.01 ~ 1.03) |
| 实变大小/BSA | < 0.001 | 1.30(1.15 ~ 1.47) | 0.180 | 0.87(0.72 ~ 1.06) |
| 支气管造影-空气 | < 0.001 | 0.14(0.06 ~ 0.33) | 0.310 | 0.49(0.12 ~ 1.93) |
| 支气管造影-液体 | < 0.001 | 9.16(3.04 ~ 27.61) | 0.600 | 0.60(0.09 ~ 4.18) |
| 胸腔积液 | < 0.001 | 3.71(2.03 ~ 6.79) | 0.040 | 2.70(1.05 ~ 6.918) |
| 常量 | - | - | < 0.001 | - |
| [1] |
戴漆, 林丹彤, 陈瑜. 儿童重症肺炎支原体肺炎的临床特征分析 [J]. 华中科技大学学报(医学版), 2024, 53(3): 356-361. doi: 10.3870/j.issn.1672-0741.23.12.012 .
doi: 10.3870/j.issn.1672-0741.23.12.012 |
| [2] |
肖志清, 吴雪, 邱蕊, 等. 儿童难治性肺炎支原体肺炎多因子预测模型构建与验证 [J]. 实用医学杂志, 2025, 41(13): 2004-2010. doi: 10.3969/j.issn.1006-5725.2025.13.009 .
doi: 10.3969/j.issn.1006-5725.2025.13.009 |
| [3] |
GAO L, SUN Y. Laboratory diagnosis and treatment of Mycoplasma pneumoniae infection in children: A review [J]. Ann Med, 2024, 56(1): 2386636. doi: 10.1080/07853890. 2024. 2386636 .
doi: 10.1080/07853890. 2024. 2386636 |
| [4] |
HAN S, FANG Q, WU X, et al. Clinical features associated with macrolides resistance of Mycoplasma pneumoniae pneumonia in children: A single-center analysis [J]. BMC Infect Dis, 2025, 25(1): 854. doi: 10.1186/s12879-025-11234-5 .
doi: 10.1186/s12879-025-11234-5 |
| [5] |
CHEN J, ZHANG J, LU Z, et al. Mycoplasma pneumoniae among Chinese Outpatient Children with Mild Respiratory Tract Infections during the Coronavirus Disease 2019 Pandemic [J]. Microbiol Spectr, 2022, 10(1): e0155021. doi: 10.1128/spectrum.01550-21 .
doi: 10.1128/spectrum.01550-21 |
| [6] |
XIE W, RUAN J, JIANG Q, et al. Distinguishing types and severity of pediatric pneumonia using modified lung ultrasound score [J]. Front Pediatr, 2024, 12: 1411365. doi: 10.3389/fped.2024.1411365 .
doi: 10.3389/fped.2024.1411365 |
| [7] |
中华人民共和国国家卫生健康委员会. 儿童肺炎支原体肺炎诊疗指南(2023年版) [J]. 国际流行病学传染病学杂志, 2023, 50(2): 79-85. doi: 10.3760/cma.j.cn331340-20230217-00023 .
doi: 10.3760/cma.j.cn331340-20230217-00023 |
| [8] |
JAWORSKA J, KOMOROWSKA-PIOTROWSKA A, POMIEĆKO A, et al. Consensus on the Application of Lung Ultrasound in Pneumonia and Bronchiolitis in Children [J]. Diagnostics (Basel), 2020, 10(11): 935. doi: 10.3390/diagnostics10110935 .
doi: 10.3390/diagnostics10110935 |
| [9] |
LIU G, WANG G, YANG Z, et al. A Lung Ultrasound-Based Nomogram for the Prediction of Refractory Mycoplasma pneumoniae Pneumonia in Hospitalized Children [J]. Infect Drug Resist, 2022, 15(1): 6343-6355. doi: 10.2147/idr.S387890 .
doi: 10.2147/idr.S387890 |
| [10] |
中国妇幼保健协会儿童变态反应专业委员会, 《中国实用儿科杂志》编辑委员会. 儿童重症肺炎临床预警及早期决策专家共识 [J]. 中国实用儿科杂志, 2023, 38(3): 177-182. doi: 10.19538/j.ek2023030603 .
doi: 10.19538/j.ek2023030603 |
| [11] |
TONG L, HUANG S, ZHENG C, et al. Refractory Mycoplasma pneumoniae Pneumonia in Children: Early Recognition and Management [J]. J Clin Med, 2022, 11(10): 2824. doi: 10.3390/jcm11102824 .
doi: 10.3390/jcm11102824 |
| [12] |
于跑, 朱峰, 葛争, 等. 重症肺炎支原体肺炎患儿早期淋巴细胞亚群表型特征及支气管镜检查表现 [J]. 实用医学杂志, 2025, 41(7): 1062-1069. doi: 10.3969/j.issn.1006-5725. 2025. 07.020 .
doi: 10.3969/j.issn.1006-5725. 2025. 07.020 |
| [13] |
ESPOSITO S, ARGENTIERO A, GRAMEGNA A, et al. Mycoplasma pneumoniae: A pathogen with unsolved therapeutic problems [J]. Expert Opin Pharmacother, 2021, 22(9): 1193-1202. doi: 10.1080/14656566.2021.1882420 .
doi: 10.1080/14656566.2021.1882420 |
| [14] |
CHANG Q, CHEN H L, WU N S, et al. Prediction Model for Severe Mycoplasma pneumoniae Pneumonia in Pediatric Patients by Admission Laboratory Indicators [J]. J Trop Pediatr, 2022, 68(4): FMAC059. doi: 10.1093/tropej/fmac059 .
doi: 10.1093/tropej/fmac059 |
| [15] |
ZHANG X, SUN R, JIA W, et al. A new dynamic nomogram for predicting the risk of severe Mycoplasma pneumoniae pneumonia in children [J]. Sci Rep, 2024, 14(1): 8260. doi: 10.1038/s41598-024-58784-3 .
doi: 10.1038/s41598-024-58784-3 |
| [16] |
LI L, GUO R, ZOU Y, et al. Construction and Validation of a Nomogram Model to Predict the Severity of Mycoplasma pneumoniae Pneumonia in Children [J]. J Inflamm Res, 2024, 17: 1183-1191. doi: 10.2147/jir.S447569 .
doi: 10.2147/jir.S447569 |
| [17] |
CHU Q J, GAO L Y, ZHOU T D, et al. Routine blood parameters as auxiliary diagnostic tools for Mycoplasma pneumoniae infection in children [J]. J Med Microbiol, 2024, 73(9): 1–11. doi: 10.1099/jmm.0.001885 .
doi: 10.1099/jmm.0.001885 |
| [18] |
ZHENG Y, HUA L, ZHAO Q, et al. The Level of D-Dimer Is Positively Correlated With the Severity of Mycoplasma pneumoniae Pneumonia in Children [J]. Front Cell Infect Microbiol, 2021, 11: 687391. doi: 10.3389/fcimb.2021.687391 .
doi: 10.3389/fcimb.2021.687391 |
| [19] |
QIU J, GE J, CAO L. D-dimer: The Risk Factor of Children's Severe Mycoplasma Pneumoniae Pneumonia [J]. Front Pediatr, 2022, 10: 828437. doi: 10.3389/fped.2022.828437 .
doi: 10.3389/fped.2022.828437 |
| [20] |
YU Y, JIN X, ZHANG X, et al. Pulmonary Thrombotic Complication of Mycoplasma pneumoniae Pneumonia in Chinese Children: Clinical Feature and Risk Factor Analysis [J]. Pediatr Infect Dis J, 2024, 43(6): 505-510. doi: 10.1097/inf. 0000000000004287 .
doi: 10.1097/inf. 0000000000004287 |
| [21] |
YAN H, LIANG X, DU J, et al. Proteomic and metabolomic investigation of serum lactate dehydrogenase elevation in COVID-19 patients [J]. Proteomics, 2021, 21(15): e2100002. doi: 10.1002/pmic.202100002 .
doi: 10.1002/pmic.202100002 |
| [22] |
WANG S, JIANG Z, LI X, et al. Diagnostic value of serum LDH in children with refractory Mycoplasma pneumoniae pneumoniae: A systematic review and meta-analysis [J]. Front Pediatr, 2023, 11: 1094118. doi: 10.3389/fped.2023.1094118 .
doi: 10.3389/fped.2023.1094118 |
| [23] |
ZHENG Y, MAO G, DAI H, et al. Early predictors of delayed radiographic resolution of lobar pneumonia caused by Mycoplasma pneumoniae in children: A retrospective study in China [J]. BMC Infect Dis, 2024, 24(1): 414. doi: 10.1186/s12879-024-09289-x .
doi: 10.1186/s12879-024-09289-x |
| [24] |
REN Y H, ZHAO S, CHEN D, et al. Predictive value of lactate dehydrogenase for Mycoplasma pneumoniae necrotizing pneumonia in children based on decision curve analysis and dose-response analysis [J]. Sci Rep, 2024, 14(1): 9803. doi: 10. 1038/s41598-024-60359-1 .
doi: 10. 1038/s41598-024-60359-1 |
| [25] |
ZHANG J, WANG T, LI R, et al. Prediction of risk factors of bronchial mucus plugs in children with Mycoplasma pneumoniae pneumonia [J]. BMC Infect Dis, 2021, 21(1): 67. doi: 10.1186/s12879-021-05765-w .
doi: 10.1186/s12879-021-05765-w |
| [26] |
ZHONG H, YIN R, ZHAO R, et al. Analysis of Clinical Characteristics and Risk Factors of Plastic Bronchitis in Children With Mycoplasma pneumoniae Pneumonia [J]. Front Pediatr, 2021, 9: 735093. doi: 10.3389/fped.2021.735093 .
doi: 10.3389/fped.2021.735093 |
| [27] |
ZHENG H Q, MA Y C, CHEN Y Q, et al. Clinical Analysis and Risk Factors of Bronchiolitis Obliterans After Mycoplasma Pneumoniae Pneumonia [J]. Infect Drug Resist, 2022, 15: 4101-4108. doi: 10.2147/idr.S372940 .
doi: 10.2147/idr.S372940 |
| [1] | Wenyue SUN,Fan WU. Analysis of sIgE test for allergens in 2 197 pediatric patients with allergic rhinitis from guangzhou [J]. The Journal of Practical Medicine, 2026, 42(1): 119-125. |
| [2] | Pao YU,Feng ZHU,Zheng GE,Bi ZHOU,Lixia ZHANG. Phenotypic characteristics of early lymphocyte subsets and bronchoscopy findings in children with severe Mycoplasma pneumoniae pneumonia [J]. The Journal of Practical Medicine, 2025, 41(7): 1062-1069. |
| [3] | Runfang WANG,Ya DUAN,Liyan DU,Xiaodan LIU,Wenning LIAN,Yan HUO,Dandan. YANG. Epidemiological status and risk factors associated with placental abruption among pregnant women in Hebei Province [J]. The Journal of Practical Medicine, 2025, 41(6): 904-910. |
| [4] | Dongli LIU,Zilin QUAN,Lingxiu ZHONG,Qiqi CHEN,Wenqiao CAI,Senpei ZHUANG,Ying WEI,Huiyi PAN,Yawen. LIN. Construction and validation of a predictive model for antibiotic-associated diarrhea after surgery in children with congenital heart disease [J]. The Journal of Practical Medicine, 2025, 41(5): 683-690. |
| [5] | Qiaoying MO,Fangyi ZHU,Cunkui ZHU,Shenglong. MA. Nomogram model of malnutrition risk in patients suffering from chronic heart failure grounded on GNRI score [J]. The Journal of Practical Medicine, 2025, 41(5): 691-698. |
| [6] | Tianyuan LI,Ying TIAN,Dingde LONG,Yang DONG,Huan. FU. An interpretable machine learning model based on bedside lung and diaphragm ultrasound for preoperative prediction of pulmonary dysfunction in gastrointestinal tumor surgery: A clinical study [J]. The Journal of Practical Medicine, 2025, 41(24): 3929-3940. |
| [7] | Linmei HAN,Yingli REN,Yiman LI,Fen HUANG,Taoming. DU. Feasibility study of low⁃dose chest CT with deep learning reconstruction algorithm combined with axial scan in children with mycoplasma pneumoniae pneumonia [J]. The Journal of Practical Medicine, 2025, 41(21): 3428-3434. |
| [8] | Peng XU,Yun ZHOU,Rong JIA,Can QI,Linmeng SHI,Jingda GAO,Dengwei CHU,Xu. GAO. Clinical efficacy of testicular fascial compartment decompression in the treatment of testicular torsion in children [J]. The Journal of Practical Medicine, 2025, 41(2): 220-224. |
| [9] | Xiaoning LIU,Yaxue LIANG,Hua. WANG. The current status and diagnostic and therapeutic progress of common post⁃tuberculosis pulmonary disease [J]. The Journal of Practical Medicine, 2025, 41(19): 2985-2990. |
| [10] | Junzhi LIU,Lei QIU,Kun XU,Jianwei LIU,Dehua HU,Hua ZHU,Cheng SHEN,Ming LU,Jiangang. CHEN. Establishment of a nomogram model for predicting pelvic lymph node metastasis in prostate cancer based on systemic immune-infiltration inflammation index [J]. The Journal of Practical Medicine, 2025, 41(15): 2349-2354. |
| [11] | Bingjie QUAN,Yijing LIU,Xiaoqin LI,Fang ZHOU. Clinical features of hepatitisassociatedaplastic anemia in children [J]. The Journal of Practical Medicine, 2025, 41(1): 84-89. |
| [12] | Qingwen WANG,Shuya ZHANG,Weilin XIONG,Xiaolei HU,Ziwei LI,Qingyin. GUO. Characteristics of oral flora and its metabolites in children with henoch⁃schonlein purpura [J]. The Journal of Practical Medicine, 2024, 40(9): 1244-1250. |
| [13] | Xing HU,Qingrong LI,Jiang LI,Wei HE,Ping′an HE,Mei LV,Xu. YANG. The Nomogram model was established for the risk assessment of intestinal colonization with neonatal CRKP [J]. The Journal of Practical Medicine, 2024, 40(2): 231-236. |
| [14] | Jun ZHENG,Qiye WU,Xia ZENG,Zhixian LEI,Dufei. ZHANG. Clinical characteristics and risk factors of the occurrence of hypoxic hepatitis in children with shock [J]. The Journal of Practical Medicine, 2024, 40(15): 2126-2132. |
| [15] |
HU Haiyu, ZHANG Kunlong, CHU Jinhua, WANG Ningling, CHENG Yan..
The distribution and drug resistance ofpathogens of bloodstream infection in pediatric hematology depart⁃ ment in 2016⁃2021 [J]. The Journal of Practical Medicine, 2023, 39(8): 991-996. |
| Viewed | ||||||
|
Full text |
|
|||||
|
Abstract |
|
|||||

