The Journal of Practical Medicine ›› 2025, Vol. 41 ›› Issue (6): 882-888.doi: 10.3969/j.issn.1006-5725.2025.06.017
• Medical Examination and Clinical Diagnosis • Previous Articles
Yuqi ZHANG1,Kesong ZHOU1(),Shiquan ZHANG2,Lei TANG3,Enxiu XIE4,Hongquan LIAO5,Tao. YANG1
Received:
2024-09-12
Online:
2025-03-25
Published:
2025-03-31
Contact:
Kesong ZHOU
E-mail:1505569161@qq.com
CLC Number:
Yuqi ZHANG,Kesong ZHOU,Shiquan ZHANG,Lei TANG,Enxiu XIE,Hongquan LIAO,Tao. YANG. Correlation of fetal rectal ampulla abdominal diameter with gestational age and establishment of reference values in low⁃risk fetuses at 18 ~ 40 weeks of pregnancy[J]. The Journal of Practical Medicine, 2025, 41(6): 882-888.
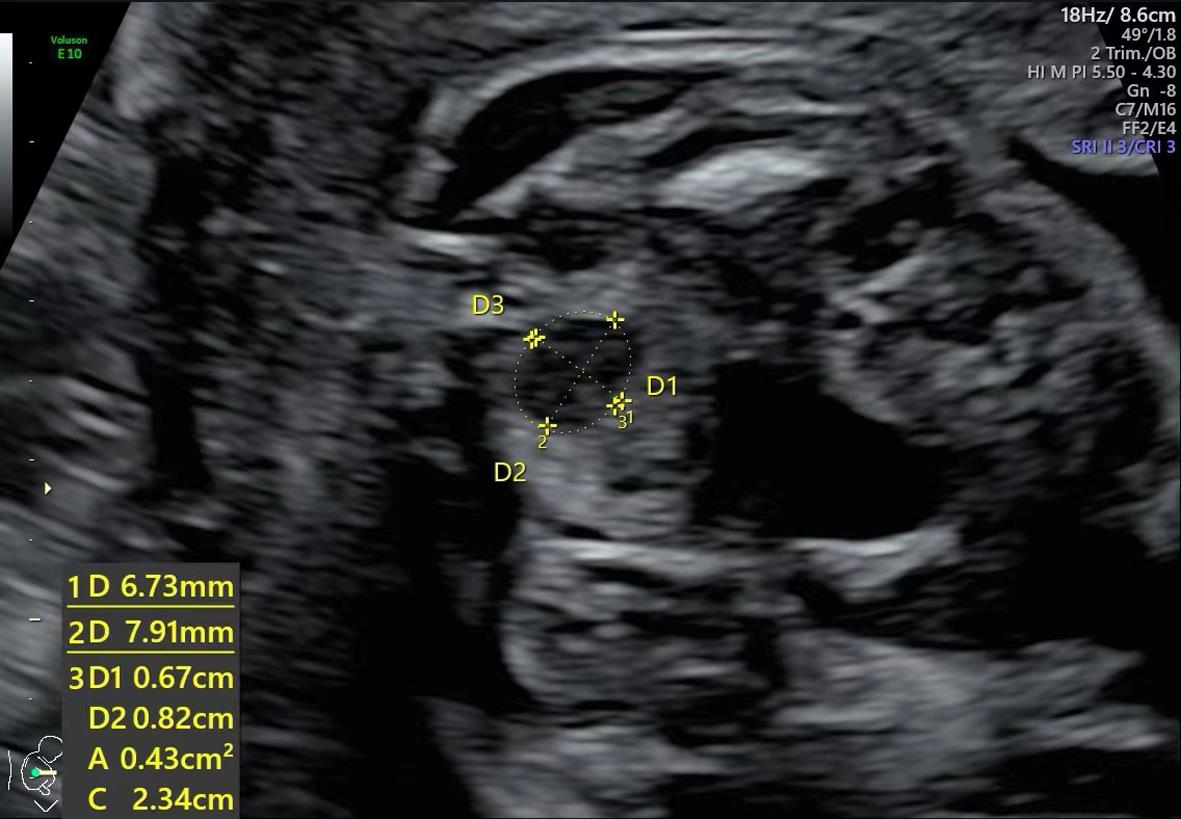
Tab.1
Normality test results for fetal rectal ampulla diameter data"
孕周 | 样本量 | P值 | ||
---|---|---|---|---|
前后径 | 左右径 | 面积 | ||
18 | 40 | < 0.001 | < 0.001 | < 0.001 |
19 | 41 | < 0.001 | < 0.001 | 0.003 |
20 | 31 | < 0.001 | 0.001 | < 0.001 |
21 | 31 | 0.281* | 0.088* | 0.001 |
22 | 109 | 0.071* | 0.078* | 0.001 |
23 | 214 | 0.095* | 0.354* | < 0.001 |
24 | 133 | 0.021 | 0.657* | < 0.001 |
25 | 44 | 0.165* | 0.610* | 0.206* |
26 | 41 | 0.006 | < 0.001 | < 0.001 |
27 | 31 | 0.002 | 0.017 | 0.282* |
28 | 31 | 0.077* | 0.126* | < 0.001 |
29 | 31 | 0.003 | 0.009 | 0.003 |
30 | 31 | < 0.001 | < 0.001 | 0.004 |
31 | 31 | 0.001 | < 0.001 | < 0.001 |
32 | 23 | 0.616* | 0.941* | 0.068* |
33 | 41 | < 0.001 | < 0.001 | < 0.001 |
34 | 31 | 0.018 | < 0.001 | 0.001 |
35 | 21 | 0.051* | 0.663* | 0.003 |
36 | 31 | 0.127* | 0.001 | 0.116* |
37 | 41 | 0.003 | 0.441* | 0.024 |
38 | 31 | 0.812* | 0.626* | 0.307* |
39 | 21 | 0.072* | 0.550* | 0.012 |
40 | 24 | < 0.001 | 0.168* | 0.001 |
Tab.2
Percentile reference values for rectal ampulla size parameters of low-risk fetuses at 18 ~ 40 weeks gestation"
孕周 | 样本量 | 直肠壶腹部前后径/cm | 直肠壶腹部左右径/cm | 直肠壶腹部面积/mm2 | ||||||||||||||
---|---|---|---|---|---|---|---|---|---|---|---|---|---|---|---|---|---|---|
P5 | P10 | P50 | P90 | P95 | P5 | P10 | P50 | P90 | P95 | P5 | P10 | P50 | P90 | P95 | ||||
18 | 40 | 0.231 | 0.241 | 0.310 | 0.540 | 0.656 | 0.271 | 0.281 | 0.385 | 0.668 | 0.710 | 0.061 | 0.070 | 0.100 | 0.302 | 0.388 | ||
19 | 41 | 0.331 | 0.350 | 0.400 | 0.466 | 0.479 | 0.342 | 0.370 | 0.420 | 0.478 | 0.526 | 0.121 | 0.152 | 0.180 | 0.238 | 0.277 | ||
20 | 31 | 0.316 | 0.330 | 0.380 | 0.696 | 0.722 | 0.356 | 0.360 | 0.420 | 0.618 | 0.650 | 0.110 | 0.120 | 0.140 | 0.420 | 0.526 | ||
21 | 31 | 0.396 | 0.420 | 0.470 | 0.540 | 0.560 | 0.486 | 0.490 | 0.530 | 0.568 | 0.608 | 0.176 | 0.182 | 0.220 | 0.280 | 0.330 | ||
22 | 109 | 0.415 | 0.440 | 0.550 | 0.660 | 0.680 | 0.500 | 0.510 | 0.680 | 0.820 | 0.875 | 0.190 | 0.200 | 0.310 | 0.420 | 0.480 | ||
23 | 214 | 0.340 | 0.380 | 0.520 | 0.690 | 0.740 | 0.568 | 0.610 | 0.740 | 0.900 | 0.953 | 0.208 | 0.240 | 0.350 | 0.500 | 0.523 | ||
24 | 133 | 0.354 | 0.394 | 0.550 | 0.740 | 0.792 | 0.598 | 0.634 | 0.770 | 0.906 | 0.963 | 0.237 | 0.254 | 0.370 | 0.566 | 0.600 | ||
25 | 44 | 0.383 | 0.420 | 0.625 | 0.770 | 0.780 | 0.625 | 0.695 | 0.850 | 0.980 | 1.100 | 0.310 | 0.320 | 0.480 | 0.600 | 0.628 | ||
26 | 41 | 0.524 | 0.568 | 0.790 | 0.880 | 0.916 | 0.870 | 0.880 | 0.950 | 1.256 | 1.387 | 0.531 | 0.542 | 0.650 | 0.730 | 0.919 | ||
27 | 31 | 0.792 | 0.900 | 1.050 | 1.118 | 1.142 | 0.980 | 0.982 | 1.160 | 1.218 | 1.254 | 0.852 | 0.896 | 1.020 | 1.128 | 1.134 | ||
28 | 31 | 0.884 | 0.982 | 1.070 | 1.258 | 1.308 | 1.052 | 1.090 | 1.180 | 1.298 | 1.362 | 0.772 | 0.910 | 1.020 | 1.224 | 1.584 | ||
29 | 31 | 1.036 | 1.050 | 1.090 | 1.226 | 1.262 | 1.072 | 1.172 | 1.260 | 1.364 | 1.394 | 1.050 | 1.090 | 1.130 | 1.266 | 1.292 | ||
30 | 31 | 0.722 | 0.750 | 1.090 | 1.190 | 1.220 | 0.762 | 0.822 | 1.210 | 1.260 | 1.320 | 0.668 | 0.732 | 1.070 | 1.214 | 1.440 | ||
31 | 31 | 0.976 | 1.102 | 1.190 | 1.274 | 1.312 | 1.002 | 1.116 | 1.310 | 1.388 | 1.432 | 0.982 | 1.098 | 1.190 | 1.322 | 1.350 | ||
32 | 23 | 0.904 | 1.000 | 1.170 | 1.332 | 1.404 | 1.022 | 1.078 | 1.230 | 1.444 | 1.476 | 0.842 | 0.986 | 1.140 | 1.530 | 1.686 | ||
33 | 41 | 0.903 | 1.152 | 1.500 | 1.674 | 1.753 | 1.141 | 1.200 | 1.600 | 1.748 | 1.796 | 1.006 | 1.212 | 2.000 | 2.418 | 2.494 | ||
34 | 31 | 0.948 | 1.052 | 1.390 | 1.500 | 1.628 | 0.966 | 1.246 | 1.500 | 1.590 | 1.644 | 0.840 | 1.170 | 1.380 | 2.180 | 2.352 | ||
35 | 21 | 0.834 | 1.010 | 1.460 | 1.690 | 1.726 | 1.411 | 1.440 | 1.680 | 1.856 | 1.870 | 1.402 | 1.440 | 1.650 | 2.382 | 2.985 | ||
36 | 31 | 0.936 | 1.018 | 1.390 | 1.624 | 1.654 | 0.790 | 0.868 | 1.610 | 1.758 | 1.860 | 0.630 | 0.658 | 1.620 | 2.386 | 2.572 | ||
37 | 41 | 0.962 | 1.100 | 1.510 | 1.698 | 1.748 | 1.478 | 1.582 | 1.700 | 1.830 | 1.946 | 1.432 | 1.570 | 1.870 | 2.600 | 2.719 | ||
38 | 31 | 1.400 | 1.494 | 1.720 | 1.975 | 2.040 | 1.582 | 1.676 | 1.850 | 2.024 | 2.076 | 2.012 | 2.082 | 2.550 | 3.274 | 3.406 | ||
39 | 21 | 1.563 | 1.596 | 1.900 | 2.036 | 2.076 | 1.731 | 1.760 | 1.960 | 2.106 | 2.164 | 1.881 | 1.892 | 2.580 | 3.258 | 3.604 | ||
40 | 24 | 1.425 | 1.615 | 1.970 | 2.030 | 2.053 | 1.838 | 1.865 | 1.990 | 2.090 | 2.123 | 1.878 | 1.900 | 2.030 | 2.625 | 2.798 |
1 |
ISHIMARU T, HOSOKAWA T, KAWASHIMA H,et al. Rectal Prolapse After Laparosc opically Assisted Anorect oplasty for Anorectal Malformations[J].J Laparoendosc Adv Surg Tech A,2020,30(12): 1277-1281. doi:10.1089/lap.2020.0609
doi: 10.1089/lap.2020.0609 |
2 |
KAWAMURA T, KAMO A, NISHIGUCHI T. Diagnosis of Persistent Cloaca by Ultrasonography and MRI: A Case Report[J]. Am J Case Rep, 2020,21:e921576. doi:10.12659/ajcr.921576
doi: 10.12659/ajcr.921576 |
3 |
KING S K, LEVITT M A. Advances in the Management of the Neonate Born with an Anorectal Malformation[J]. Clin Perinatol, 2022,49(4):965-979. doi:10.1016/j.clp.2022.08.002
doi: 10.1016/j.clp.2022.08.002 |
4 |
BURKE Y, GILBOA Y, BRONSHTEIN M. Intra uterine sludge does not rule out anal ATRESIA[J]. Prenat Diagn, 2018,38(3):222-223. doi:10.1002/pd.5203
doi: 10.1002/pd.5203 |
5 |
ERCULIANI M, TROVALUSCI E, ZANATTA C, et al. First trimester lower abdominal cysts as early predictor of anorectal malformations[J]. J Ultrasound, 2023,26(2):543-548. doi:10.1007/s40477-022-00744-6
doi: 10.1007/s40477-022-00744-6 |
6 | 中华医学会超声医学分会妇产超声学组,国家卫生健康委妇幼司全国产前诊断专家组医学影像组. 超声产前筛查指南[J]. 中华超声影像学杂志,2022,31(1):1-12. |
7 |
SALOMON L J, ALFIREVIC Z, SILVA COSTA F DA, et al. ISUOG Practice Guidelines: Ultrasound assessment of fetal biometry and growth[J]. Ultrasound Obstet Gynecol, 2019,53(6):715-723. doi:10.1002/uog.20272
doi: 10.1002/uog.20272 |
8 |
STIRNEMANN J, VILLAR J, SALOMON L J, et al. International estimated fetal weight standards of the INTERGROWTH-21st Project[J]. Ultrasound Obstet Gynecol, 2017,49(4):478-486. doi:10.1002/uog.17347
doi: 10.1002/uog.17347 |
9 |
BRONSHTEIN M, GOVER A, BELOOSESKY R, et al. Transient Distention of Right Posterior Located Sigma, a New Sonographic Sign for the Prenatal Diagnosis of Anal Atresia[J]. J Clin Ultrasound, 2017,45(3):160-162. doi:10.1002/jcu.22426
doi: 10.1002/jcu.22426 |
10 |
ELKAN MILLER T, WEISSBACH T, ELKAN M, et al. Infracoccygeal/transperineal window: New method to prenatally diagnose and classify level of anal atresia[J]. Ultrasound Obstet Gynecol, 2024,64(4):521-527. doi:10.1002/uog.29094
doi: 10.1002/uog.29094 |
11 |
KING S K, LEVITT M A. Advances in the Management of the Neonate Born with an Anorectal Malformation[J]. Clin Perinatol, 2022,49(4):965-979. doi:10.1016/j.clp.2022.08.002
doi: 10.1016/j.clp.2022.08.002 |
12 | 裴元元, 胡亮, 冉健, 等. 无创产前检测技术在不同血清学筛查风险值及不同年龄孕妇中检测染色体异常的价值[J]. 实用医学杂志, 2022, 38(2): 217-221. |
13 | 周燕. 先天性肛门直肠畸形预后风险预测模型的建立及新生儿一期腹腔镜手术疗效评估[D]. 北京:北京协和医学院,2022. |
14 | 杜明珊,韦娜,甄志铭,等. 3D MR结肠成像评价孕中晚期胎儿结直肠发育[J]. 中国医学影像技术,2023,39(2):241-245. |
15 | 袁鹰,李胜利,田晓先,等. “靶环征”在产前诊断肛门闭锁中的意义[J]. 中华超声影像学杂志, 2014, 23(5):4. |
16 |
ZHANG Q, BAO Z K, DENG M X, et al. Fetal growth, fetal development, and placental features in women with polycystic ovary syndrome: Analysis based on fetal and placental magnetic resonance imaging[J]. J Zhejiang Univ Sci B,2020, 21(12): 977-989. doi:10.1631/jzus.b2000350
doi: 10.1631/jzus.b2000350 |
17 | 刘利娜, 吴和明, 郑志远, 等. 超声评估颈项透明层厚度增厚和鼻骨钙化不良结合染色体微阵列分析在胎儿产前诊断中的应用 [J]. 实用医学杂志, 2024, 40(19): 2755-2759. |
18 |
NAYAK S S, HARKNESS R, SHUKLA A, et al. Clinically diverse and perinatally lethal syndromes with urorectal septum malformation sequence[J]. Am J Med Genet A, 2023,191(3):730-741. doi:10.1002/ajmg.a.63067
doi: 10.1002/ajmg.a.63067 |
19 |
RUBESOVA E, MOEREMANS M. MR Imaging of the Fetal Gastrointestinal Anomalies[J]. Magn Reson Imaging Clin N Am, 2024,32(3):489-496. doi:10.1016/j.mric.2024.03.005
doi: 10.1016/j.mric.2024.03.005 |
20 |
CHAO A S, CHANG Y L, HSIEH P C. Prenatal diagnosis of congenital megalourethra with imperforate anus[J]. BMC Pediatr, 2019,19(1):123. doi:10.1186/s12887-019-1510-y
doi: 10.1186/s12887-019-1510-y |
21 | 陈王挺. 胎粪性腹膜炎超声及MRI表现1例 [J]. 中国现代医生, 2023, 61(21): 130-132. |
Viewed | ||||||
Full text |
|
|||||
Abstract |
|
|||||