The Journal of Practical Medicine ›› 2023, Vol. 39 ›› Issue (21): 2761-2767.doi: 10.3969/j.issn.1006-5725.2023.21.012

• Basic Research • Previous Articles     Next Articles

The mechanism of down⁃regulation of HPSE alleviating myocardial ischemia⁃reperfusion injury in rats

Zhaobing LI,Yulu LIU,Yunhui HUANG()   

  1. Department of Cardiovascular Medicine,Affiliated Nanhua Hospital,Hengyang Medical College,University of South China,Hengyang 421002,China
  • Received:2023-06-12 Online:2023-11-10 Published:2023-12-19
  • Contact: Yunhui HUANG E-mail:2387158930@qq.com

Abstract:

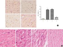
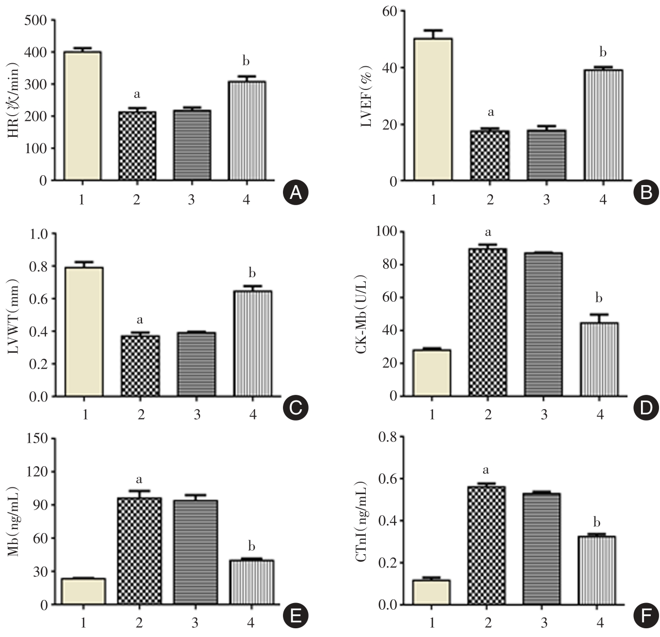
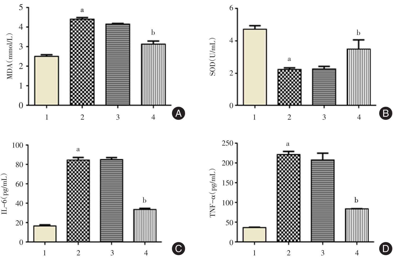
Objective To explore the effects of heparinase (HPSE) on myocardial apoptosis, inflammatory response and oxidative damage in myocardial ischemia reperfusion (MI/R) rats. Methods Sixty SD rats were randomly assigned (1∶1∶1∶1) tocontrol group, I/R group, I/R+shRNA-NC group and I/R+Heparanase-shRNA group. The control group was only threaded without ligation after thoracotomy, and the MI/R model was prepared by ligation of the left anterior descending branch of coronary artery. The western blot assay (WB) was used to detect heart function and markers of heart damage in each group. HE staining and TUNEL staining were used to observe the myocardial pathology. The expression of apoptosis-related proteins (Caspase-3, Bax, Bcl-2) and UPRmt marker proteins (LonP1, HSP70) were detected by WB. The contents of superoxide dismutase (SOD) and malondialdehyde (MDA) were detected by kit. The levels of interleukin-6 (IL-6) and tumor necrosis factor-α (TNF-α) in peripheral blood were detected by enzyme-linked immunosorbent assay (ELISA). Results HE staining results showed that the myocardium, epimyma and myocardial fibers were intact and normal in control group. However, the myocardial fibers were bent, myoglobin was dissolved, myocardial muscle nucleus was pyknotic and dissolved, and muscle bundle membrane was ruptured in I/R group and I/R+shRNA-NC group. The epimyocardium was intact in I/R+Heparanase-shRNA group. Moreover, the myocardial fiber bending was significantly improved in I/R+Heparanase-shRNA group. Additionally, compared with the control group, the expression levels of CK-MB, cTnI, Mb, Caspase-3 protein, Bax protein, MDA, IL-6, TNF-α and HSP70 in I/R group were significantly increased. And the difference was statistically significant. Furthermore, the expression levels of HR, LVEF, LVWT, Bcl-2 protein, SOD and LonP1 protein were significantly decreased. Additionally, compared with the I/R+shRNA-NC group, the expression levels of CK-MB, cTnI, Mb, Caspase-3 protein, Bax protein, MDA, IL-6 and TNF-α in I/R+Heparanase-shRNA group were significantly decreased. And the difference was statistically significant. However, the expression levels of HR, LVEF, LVWT, Bcl-2 protein, SOD, LonP1 and HSP70 were significantly increased. And the difference was statistically significant. Conclusion Down-regulation of HPSE alleviates myocardial injury in ischemia-reperfusion rats by inhibiting oxidative stress, inflammation, and apoptosis. The mechanism may be related to the inhibition of UPRmt signaling pathway.

Key words: myocardial ischemia reperfusion, heparanase, mitochondrial unfolded protein response

CLC Number: