实用医学杂志 ›› 2026, Vol. 42 ›› Issue (2): 212-219.doi: 10.3969/j.issn.1006-5725.2026.02.006

• 慢性病防治专栏 • 上一篇    

米诺环素通过PPARγ/STAT3通路对痤疮炎症的影响

杨雪帆1,叶枫2,阮丹丹1,莫小辉1,鞠强1()   

  1. 1.上海交通大学医学院附属仁济医院皮肤科 (上海 200127 )
    2.海军军医大学附属长海医院皮肤科 (上海 200433 )
  • 收稿日期:2025-09-04 修回日期:2025-10-15 接受日期:2025-10-21 出版日期:2026-01-25 发布日期:2026-01-22
  • 通讯作者: 鞠强 E-mail:qiangju@aliyun.com
  • 基金资助:
    国家自然科学基金项目(82373506);国家自然科学基金项目(81874247)

Effect of minocycline on acne inflammation via PPARγ/STAT3 pathway

Xuefan YANG1,Feng YE2,Dandan RUAN1,Xiaohui MO1,Qiang JU1()   

  1. 1.Department of Dermatology,Renji Hospital,Shanghai Jiao Tong University School of Medicine,Shanghai 200127,Shanghai,China
    2.Department of Dermatology,the First Affiliated Hospital of Naval Medical University,Shanghai 200433,Shanghai,China
  • Received:2025-09-04 Revised:2025-10-15 Accepted:2025-10-21 Online:2026-01-25 Published:2026-01-22
  • Contact: Qiang JU E-mail:qiangju@aliyun.com

摘要:

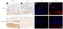
目的 探讨米诺环素通过调控过氧化物酶体增殖物激活受体γ(PPARγ)信号通路在抑制痤疮炎症中的作用机制。 方法 采用体内外实验。体内构建痤疮丙酸杆菌(C. acnes)诱导的痤疮样小鼠模型,给予米诺环素或无菌水灌胃,观察皮损并行苏木精-伊红(HE)、免疫组化(IHC)及免疫荧光(IF)检测炎症细胞浸润及信号通路相关因子表达。体外利用肽聚糖(PGN)刺激人皮脂腺细胞SZ95,分为对照组、PGN组、米诺环素组、PGN+米诺环素组、PPARγ抑制剂(T0070907)组及PGN+米诺环素+T0070907组。检测IL-1α、IL-1β、IL-6、IL-8等炎症因子水平及PPARγ、STAT3的表达。 结果 与无菌水组相比,米诺环素干预后小鼠皮损炎症显著减轻,炎症细胞浸润减少,PPARγ表达增强,IL-1β及MPO阳性细胞数量明显下降,同时p-STAT3阳性信号亦显著减弱(P < 0.05)。体外实验中,PGN刺激显著升高SZ95细胞炎症因子表达,米诺环素可显著降低IL-1α、IL-1β、IL-6、IL-8水平并上调PPARγ表达,抑制STAT3磷酸化;加入T0070907后,米诺环素抗炎效应部分消失。 结论 米诺环素可通过激活PPARγ信号通路,抑制炎症因子表达、减轻炎症细胞浸润,从而改善痤疮炎症。PPARγ通路在痤疮炎症调控中具有重要作用,为靶向治疗痤疮提供新的思路。

关键词: 痤疮, 米诺环素, 过氧化物酶体增殖物激活受体γ, 炎症因子, 人皮脂腺细胞

Abstract:

Objective To investigate the mechanism of minocycline in acne Inflammation by regulating peroxisome proliferator-activated receptor γ (PPARγ)/STAT3 signaling pathway. Methods An acne-like model was established by intradermal injection of Cutibacterium acnes into mice, followed by oral administration of minocycline or sterile water. Skin lesions were observed, and hematoxylin?eosin staining, immunohistochemistry, and immunofluorescence were performed to assess inflammatory cell infiltration and pathway-related factor expression. In parallel, SZ95 human sebocytes were stimulated with peptidoglycan (PGN) and treated with minocycline, with or without the PPARγ antagonist T0070907. Inflammatory cytokines (IL-1α, IL-1β, IL-6, IL-8) were quantified, and PPARγ and STAT3 expression were analyzed. Results Minocycline treatment significantly alleviated skin inflammation in mice, reduced inflammatory cell infiltration, enhanced PPARγ expression, decreased IL-1β and MPO-positive cells, and significantly attenuated p-STAT3 immunoreactivity (P < 0.05). In SZ95 sebocytes, PGN induced robust cytokine production and STAT3 phosphorylation. Minocycline treatment significantly suppressed pro-inflammatory cytokines, upregulated PPARγ, and inhibited STAT3 activation, whereas the presence of T0070907 partially reversed these effects. Conclusions Minocycline exerts anti-inflammatory effects in acne by activating the PPARγ/STAT3 pathway, thereby dampening cytokine release and neutrophil infiltration. These findings highlight PPARγ as a potential therapeutic target and provide mechanistic insight into the anti-inflammatory benefits of minocycline in acne management.

Key words: acne vulgaris, minocycline, PPARγ, inflammatory cytokines, sebocytes

中图分类号: