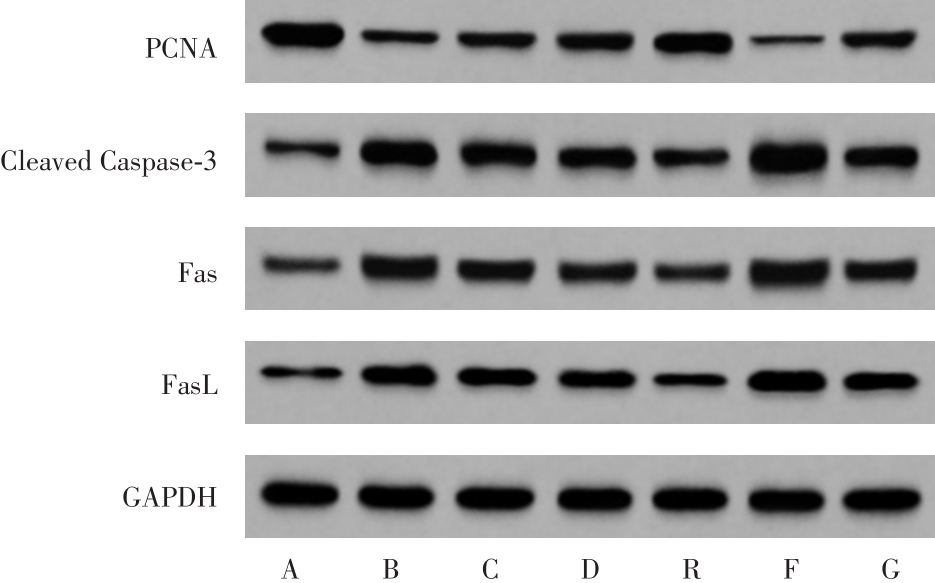
| 1 |
RICUCCI D, SIQUEIRA JF JR, ABDELSAYED R A, et al. Bacterial invasion of pulp blood vessels in teeth with symptomatic irreversible pulpitis[J]. J Endod, 2021,47(12):1854-1864.
|
| 2 |
LIANG C, LI W, HUANG Q, et al. CircFKBP5 suppresses apoptosis and inflammation and promotes osteogenic differentiation[J]. Int Dent J, 2022,13(1):1-10.
|
| 3 |
ZHAI Y, WANG Y, RAO N, et al. activation and biological properties of human β defensin 4 in stem cells derived from human exfoliated deciduous teeth[J]. Front Physiol, 2019,10(1):1304-1314.
|
| 4 |
XU L, LIU X, ZHANG Y, et al. Tanshinone IIA improves acute gouty arthritis in rats through regulating neutrophil activation and the NLRP3 inflammasome[J]. Dis Markers, 2022,2022:5851412.
|
| 5 |
张世英,刘继光,赵刚.丹参酮ⅡA局部注射正畸牙移动后复发阶段破骨细胞分化因子的表达[J]. 中国组织工程研究,2014,18(11):1730-1736.
|
| 6 |
GAMONAL J, BASCONES A, ACEVEDO A, et al. Apoptosis in chronic adult periodontitis analyzed by in situ DNA breaks, electron microscopy, and immunohistochemistry[J]. J Periodontol, 2001,72(4):517-25.
|
| 7 |
高彦军,林红卫,王在强,等. Fas/FasL途径在PM2.5诱导肺泡上皮细胞凋亡中的作用及机制[J]. 山西医科大学学报,2022,53(4):428-435.
|
| 8 |
牛晨光,李佳洋,於丽明,等. 牡荆素对脂多糖诱导牙髓干细胞表达炎症因子的影响[J]. 上海口腔医学,2020,29(5):462-465.
|
| 9 |
LIU X, NIU Y, XIE W, et al. Tanshinone IIA promotes osteogenic differentiation of human periodontal ligament stem cells via ERK1/2-dependent Runx2 induction[J]. Am J Transl Res, 2019,11(1):340-350.
|
| 10 |
PISCIOTTA A, BERTANI G, BERTONI L, et al. Modulation of cell death and promotion of chondrogenic differentiation by Fas/FasL in human dental pulp stem cells (hDPSCs)[J]. Front Cell Dev Biol, 2020,8(1):279-293.
|
| 11 |
AUBEUX D, PETERS O A, HOSSEINPOUR S, et al. Specialized pro-resolving lipid mediators in endodontics: A narrative review[J]. BMC Oral Health, 2021,21(1):276-288.
|
| 12 |
NI C, WU G, MIAO T, et al. Wnt4 prevents apoptosis and inflammation of dental pulp cells induced by LPS by inhibiting the IKK/NFκB pathway[J]. Exp Ther Med, 2022,25(2):75-83.
|
| 13 |
KORNSUTHISOPON C, ROCHANAVIBHATA S, NOWWAROTE N, et al. 6-Bromoindirubin-3'-Oxime regulates colony formation, apoptosis, and odonto/osteogenic differentiation in human dental pulp stem cells[J]. Int J Mol Sci,2022,23(15):8676-8692.
|
| 14 |
HANNA S, ALY R, EIDEEN G N, et al. Small molecule GSK-3 inhibitors safely promote the proliferation and viability of human dental pulp stem cells-in vitro[J]. Biomedicines, 2023,11(2):542-555.
|
| 15 |
AZARYAN E, KARBASI S, SAHARKHIZ M, et al. Effect of HM-Exos on the migration and inflammatory response of LPS-exposed dental pulp stem cells[J]. BMC Oral Health, 2023,23(1):95-103.
|
| 16 |
辛思源,杨志新,柳金英,等.玉郎伞多糖通过调控Caveolin-1表达对脂多糖诱导的甲状腺滤泡上皮细胞炎症损伤和凋亡的影响[J].实用医学杂志,2022,38(14):1759-1765+1772.
|
| 17 |
RYU E, HA N Y, JUNG W, et al. Distinct motifs in ATAD5 C-terminal domain modulate PCNA unloading process[J]. Cells, 2022,11(11):1832-1845.
|
| 18 |
董王钰,杨锐,张春江,等.益肾化湿颗粒对抗Thy-1型肾炎大鼠肾组织中PCNA、Akt表达的影响[J].中成药,2022,44(9):2799-2804.
|
| 19 |
林思,朱华,秦慧真,等.对叶百部总生物碱对人肝癌SMMC-7721细胞凋亡及Bcl-2,Bax和cleaved Caspase-3蛋白表达的影响[J].中国实验方剂学杂志,2021,27(19):73-79.
|
| 20 |
刘晓萍,梁关凤,欧阳资章,等.依普利酮对棕榈酸诱导心肌细胞Cleaved caspase-3蛋白表达的影响[J].中国现代应用药学,2022,39(15):1938-1943.
|
| 21 |
WANG G, MA L, WANG B, et al. Tanshinone IIA accomplished protection against radiation-induced cardiomyocyte injury by regulating the p38/p53 pathway[J]. Mediators Inflamm, 2022,2022(1):1478181-1478190.
|
| 22 |
WANG Y, LIU L, QU Z, et al. Tanshinone ameliorates glucocorticoid-induced bone loss via activation of AKT1 signaling pathway[J]. Front Cell Dev Biol, 2022,10(1):878433.
|
| 23 |
LIU J, WU Y H, ZHANG Z L, et al. Tanshinone IIA improves sepsis-induced acute lung injury through the ROCK2/NF-κB axis[J]. Toxicol Appl Pharmacol, 2022,446(1):116021.
|
| 24 |
SUN H, YANG Y, GU M, et al. The role of Fas-FasL-FADD signaling pathway in arsenic-mediated neuronal apoptosis in vivo and in vitro[J]. Toxicol Lett,2022,356(1):143-150.
|
| 25 |
WANG Z, TAN Y, XU F. Zonisamide improves Fas/FasL-mediated apoptosis and inflammation in a degenerative cervical myelopathy rat model[J]. Tissue Cell,2023,81(1):102024.
|
| 26 |
张歆,方文怡,陈锦团,等.基于Fas/FasL信号通路探索清化肠饮对溃疡性结肠炎肠上皮细胞凋亡的影响[J].时珍国医国药,2023,34(1):70-73.
|