The Journal of Practical Medicine ›› 2025, Vol. 41 ›› Issue (11): 1618-1626.doi: 10.3969/j.issn.1006-5725.2025.11.003
• Basic Research • Previous Articles
Huizhen LIU1,Xiaonan LU2,Ge LIU1,Guanqing CAI1,Pingan LI1,Yingjian ZENG,Guangbin SHANG1()
Received:
2025-03-12
Online:
2025-06-10
Published:
2025-06-19
Contact:
Guangbin SHANG
E-mail:shanggb107@126.com
CLC Number:
Huizhen LIU,Xiaonan LU,Ge LIU,Guanqing CAI,Pingan LI,Yingjian ZENG,Guangbin SHANG. The effects and mechanism of total flavonoids of Sarcandra glabra in modulating bone marrow mesenchymal stem cells and their exosomes to promote megakaryocyte differentiation[J]. The Journal of Practical Medicine, 2025, 41(11): 1618-1626.
Tab.1
effects of different concentrations of swollen wind on the proliferative viability of BMSCs cells"
组别 | 24 h | 48 h(%) | 72 h | 96 h |
---|---|---|---|---|
control组 | 100.00 ± 0.00 | 100.00 ± 0.00 | 100.00 ± 0.00 | 100.00 ± 0.00 |
0.975 μg/mL组 | 95.79 ± 4.31? | 98.87 ± 3.96 | 104.4 ± 4.28 | 95.97 ± 4.07 |
1.95 μg/mL组 | 97.29 ± 4.00 | 101.5 ± 4.20 | 108.9 ± 4.24?? | 103.8 ± 3.77 |
3.9 μg/mL组 | 96.89 ± 2.88 | 98.24 ± 4.15 | 109.1 ± 4.79?? | 102.8 ± 4.03 |
7.8 μg/mL组 | 94.05 ± 2.72?? | 94.68 ± 3.28?? | 108.0 ± 5.66?? | 106.2 ± 5.98? |
15.6 μg/mL组 | 89.44 ± 2.73??? | 83.75 ± 3.95??? | 91.86 ± 2.89?? | 76.23 ± 3.10??? |
F值 | 7.988 | 19.79 | 16.54 | 39.13 |
P值 | 0.0001 | < 0.0001 | < 0.0001 | < 0.0001 |
Tab.2
Statistical results of impact of various intensities of total flavonoids of Sarcandra glabra on apoptosis status in ITP-BMSCs model"
组别 | 剂量/(μg/mL) | 早期凋亡率/% | 晚期凋亡率/% | 总凋亡率/% |
---|---|---|---|---|
正常对照组 | - | 5.71 ± 0.52 | 4.70 ± 0.16 | 10.55 ± 0.71 |
ITP-BMSCs模型组 | - | 31.88 ± 4.99** | 16.13 ± 1.60** | 45.23 ± 0.70** |
TFFSG低剂量组 | 1.95 | 13.43 ± 3.01## | 17.33 ± 1.97 | 30.77 ± 2.32## |
TFFSG中剂量组 | 3.90 | 14.93 ± 0.47## | 8.20 ± 0.92## | 23.14 ± 0.65## |
TFFSG高剂量组 | 7.80 | 8.61 ± 0.78## | 8.44 ± 0.18## | 17.05 ± 0.61## |
F值 | 43.74 | 61.39 | 375.0 | |
P值 | < 0.0001 | < 0.0001 | < 0.0001 |
Tab.3
Impact of various intensities of total flavonoids of Sarcandra glabra on the releant protein expression in ITP-BMSCs model x ± s"
组别 | BAX | Bcl-2 | Caspase-3 |
---|---|---|---|
正常对照组 | 1 ± 0 | 1 ± 0 | 1 ± 0 |
ITP-BMSCs模型组 | 2.34 ± 0.53 | 0.36 ± 0.14? | 1.38 ± 0.04? |
TFFSG低剂量组 | 1.74 ± 0.35 | 0.52 ± 0.06 | 1.03 ± 0.08 |
TFFSG中剂量组 | 1.43 ± 0.22# | 0.70 ± 0.13 | 0.80 ± 0.20# |
TFFSG高剂量组 | 1.25 ± 0.31# | 1.06 ± 0.30## | 0.70 ± 0.23# |
F值 | 4.837 | 6.926 | 6.580 |
P值 | 0.057 1 | 0.028 5 | 0.031 6 |
Tab.4
Effects of total flavonoids of Sarcandra glabra on the expression of surface marker molecules in megakaryocytes (x ± s)/%"
组别 | CD41a | CD42b | CD61 |
---|---|---|---|
NC-BMSCs-Exos组 | 6.85 ± 0.40 | 20.47 ± 2.05 | 22.20 ± 1.71 |
APS-BMSCs-Exos组 | 4.00 ± 0.70 | 9.29 ± 0.07? | 2.51 ± 0.22? |
TFFSG-BMSCs-Exos组 | 11.47 ± 2.20#? | 26.93 ± 0.81#? | 27.07 ± 0.65#? |
TFFSG-BMSCs-Exos+抑制剂组 | 0.58 ± 0.14& | 7.62 ± 0.48& | 0.27 ± 0.21& |
F值 | 46.44 | 199.6 | 645.6 |
P值 | < 0.000 1 | < 0.000 1 | < 0.000 1 |
Tab.5
Effects of total flavonoids of Sarcandra glabra on the expression of polyploidization in megakaryocytes (x ± s)/%"
组别 | 2N | ≥4N |
---|---|---|
NC-BMSCs-Exos组 | 54.57 ± 1.00 | 39.63 ± 0.51 |
APS-BMSCs-Exos组 | 63.10 ± 4.02? | 28.13 ± 1.10? |
TFFSG-BMSCs-Exos组 | 46.13 ± 0.12#? | 50.40 ± 1.14#? |
TFFSG-BMSCs-Exos+抑制剂组 | 57.33 ± 2.21& | 20.87 ± 1.69& |
F值 | 27.13 | 360.3 |
P值 | 0.000 2 | < 0.000 1 |
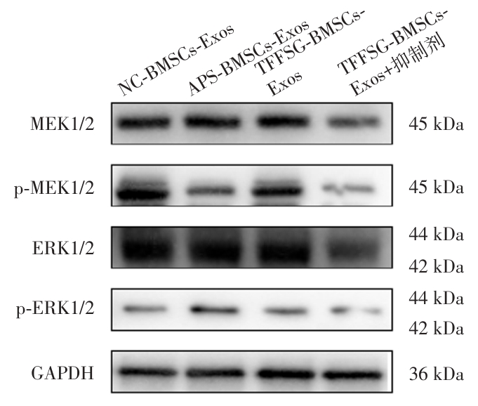
Tab.6
Western blot detection of the expression of MEK1/2/ERK1/2 pathway-related proteins in megakaryocytes of each group (x ± s)%"
组别 | p-MEK1/2/MEK1/2 | p-ERK1/2/ERK1/2 |
---|---|---|
NC-BMSCs-Exos组 | 1 ± 0 | 1 ± 0 |
APS-BMSCs-Exos组 | 0.63 ± 0.18? | 0.57 ± 0.03? |
TFFSG-BMSCs-Exos组 | 1.47 ± 0.12# | 1.05 ± 0.19#* |
TFFSG-BMSCs-Exos+抑制剂组 | 0.16 ± 0.15& | 0.17 ± 0.01& |
F值 | 53.71 | 54.59 |
P值 | < 0.000 1 | < 0.000 1 |
1 |
GONCALVES I, LEWIS C, GRAINGER B, et al. Thrombosis in patients with immune thrombocytopenia: incidence, risk, and clinical outcomes[J]. Res Pract Thromb Haemost, 2024,8(1): 102342. doi:10.1016/j.rpth.2024.102342
doi: 10.1016/j.rpth.2024.102342 |
2 |
王蕾, 贺小宁, 李正翔, 等. 原发免疫性血小板减少症患者真实世界治疗现状与疾病负担研究[J]. 中国医院药学杂志, 2023,43(14): 1602-1607. doi:10.13286/j.1001-5213.2023.14.13
doi: 10.13286/j.1001-5213.2023.14.13 |
3 |
GOETTE N P, BORZONE F R, DISCIANNI L A, et al. Megakaryocyte-stromal cell interactions: Effect on megakaryocyte proliferation, proplatelet production, and survival[J]. Exp Hematol, 2022,107: 24-37. doi:10.1016/j.exphem.2022.01.002
doi: 10.1016/j.exphem.2022.01.002 |
4 |
WANG M, FENG R, ZHANG J M, et al. Dysregulated megakaryocyte distribution associated with nestin(+) mesenchymal stem cells in immune thrombocytopenia[J]. Blood Adv, 2019,3(9): 1416-1428. doi:10.1182/bloodadvances.2018026690
doi: 10.1182/bloodadvances.2018026690 |
5 | 何月, 纪德香, 卢玮, 等. 免疫性血小板减少症患者骨髓间充质干细胞自身功能缺陷机制的研究进展[J]. 细胞与分子免疫学杂志, 2022,38(3): 275-280. |
6 |
WU F, SHE Z, LI C, et al. Therapeutic potential of MSCs and MSC-derived extracellular vesicles in immune thrombocytopenia[J]. Stem Cell Res Ther, 2023,14(1): 79. doi:10.1186/s13287-023-03323-6
doi: 10.1186/s13287-023-03323-6 |
7 |
CHEN Y, XU Y, CHI Y, et al. Efficacy and safety of human umbilical cord-derived mesenchymal stem cells in the treatment of refractory immune thrombocytopenia: A prospective, single arm, phase I trial[J]. Signal Transduct Target Ther, 2024,9(1): 102. doi:10.1038/s41392-024-01793-5
doi: 10.1038/s41392-024-01793-5 |
8 |
师锦宁. 血康口服液治疗血小板减少症临床疗效观察[J]. 中国现代药物应用, 2009,3(22): 110-111. doi:10.3969/j.issn.1673-9523.2009.22.096
doi: 10.3969/j.issn.1673-9523.2009.22.096 |
9 | 卢晓南, 彭文虎, 徐国良, 等. 肿节风总黄酮对免疫性血小板减少大鼠骨髓细胞微环境的影响[J]. 中药药理与临床, 2015,31(6): 66-69. |
10 | 卢晓南, 孙慧娟, 朱静, 等. 肿节风总黄酮对细胞共培养体系中巨核细胞分化、成熟的影响[J]. 中药新药与临床药理, 2019,30(11): 1277-1283. |
11 |
巢素珍, 周年, 石心怡, 等. 芒果苷对同型半胱氨酸诱导骨髓间充质干细胞分化的影响[J]. 实用医学杂志, 2024,40(23): 3284-3290. doi:10.3969/j.issn.1006-5725.2024.23.002
doi: 10.3969/j.issn.1006-5725.2024.23.002 |
12 |
蒋焰, 王小勤, 梅鸿, 等. Ⅱ型肺泡上皮细胞来源外泌体miR-21-5p靶向SKP2缓解支气管肺发育不良[J]. 实用医学杂志, 2024,40(23): 3298-3305. doi:10.3969/j.issn.1006-5725.2024.23.004
doi: 10.3969/j.issn.1006-5725.2024.23.004 |
13 |
ZHANG Z, SHANG G, LU Z, et al. Daucosterol regulates JAK2-STAT3 signaling pathway to promote megakaryocyte differentiation[J]. Blood Cells Mol Dis, 2024,107: 102858. doi:10.1016/j.bcmd.2024.102858
doi: 10.1016/j.bcmd.2024.102858 |
14 |
MITITELU A, ONISAI M C, ROSCA A, et al. Current Understanding of Immune Thrombocytopenia: A Review of Pathogenesis and Treatment Options[J]. Int J Mol Sci, 2024,25(4):2163. doi:10.3390/ijms25042163
doi: 10.3390/ijms25042163 |
15 |
ZHANG J M, ZHU X L, XUE J, et al. Integrated mRNA and miRNA profiling revealed deregulation of cellular stress response in bone marrow mesenchymal stem cells derived from patients with immune thrombocytopenia[J]. Funct Integr Genomics, 2018,18(3): 287-299. doi:10.1007/s10142-018-0591-2
doi: 10.1007/s10142-018-0591-2 |
16 | 郑颖, 黄珂敏. 外泌体研究态势和前瞻的计量与可视化分析[J]. 中国组织工程研究, 2024,28(13): 2126-2132. |
17 |
HE Y, JI D, LU W, et al. Bone marrow mesenchymal stem cell-derived exosomes induce the Th17/Treg imbalance in immune thrombocytopenia through miR-146a-5p/IRAK1 axis[J]. Hum Cell, 2021,34(5): 1360-1374. doi:10.1007/s13577-021-00547-7
doi: 10.1007/s13577-021-00547-7 |
18 | 鲍静, 许晗, 汪万杰, 等. miR-141-5p/ZNF705A对慢性粒细胞白血病细胞源外泌体调控骨髓间充质干细胞黏附作用的机制[J]. 中国药理学通报, 2024,40(3): 506-514. |
19 |
ALDOGHACHI A F, LOH J K, WANG M L, et al. Current developments and therapeutic potentials of exosomes from induced pluripotent stem cells-derived mesenchymal stem cells[J]. J Chin Med Assoc, 2023,86(4): 356-365. doi:10.1097/jcma.0000000000000899
doi: 10.1097/jcma.0000000000000899 |
20 |
王双敏, 汪显耀, 何志旭. 工程化间充质干细胞来源外泌体在靶向递送抗肿瘤药物中的应用与问题[J]. 中国组织工程研究, 2025,29(23): 4975-4983. doi:10.12307/2025.092
doi: 10.12307/2025.092 |
21 | 杨英, 饶春明. 干细胞产品质量控制分析方法研究进展[J]. 药物分析杂志, 2025,45(1): 4-11. |
22 |
WU D, ZHAO X, XIE J, et al. Physical modulation of mesenchymal stem cell exosomes: A new perspective for regenerative medicine[J]. Cell Prolif, 2024,57(8): e13630. doi:10.1111/cpr.13630
doi: 10.1111/cpr.13630 |
23 | 周洋, 刘可鑫, 王得利, 等. 工程化细胞外囊泡修复骨缺损的再生作用[J]. 中国组织工程研究, 2025,29(36): 7839-7847. |
24 |
WANG H, HE J, XU C, et al. Decoding Human Megakaryocyte Development[J]. Cell Stem Cell, 2021,28(3): 535-549. doi:10.1016/j.stem.2020.11.006
doi: 10.1016/j.stem.2020.11.006 |
25 |
BEURET L, FORTIER-BEAULIEU S P, RONDEAU V, et al. Mek1 and Mek2 Functional Redundancy in Erythropoiesis[J]. Front Cell Dev Biol, 2021,9: 639022. doi:10.3389/fcell.2021.639022
doi: 10.3389/fcell.2021.639022 |
26 |
MAZHARIAN A, WATSON S P, SEVERIN S. Critical role for ERK1/2 in bone marrow and fetal liver-derived primary megakaryocyte differentiation, motility, and proplatelet formation[J]. Exp Hematol, 2009,37(10): 1238-1249. doi:10.1016/j.exphem.2009.07.006
doi: 10.1016/j.exphem.2009.07.006 |
27 |
LI Y, LAI J, RAN M, et al. Alnustone promotes megakaryocyte differentiation and platelet production via the interleukin-17A/interleukin-17A receptor/Src/RAC1/MEK/ERK signaling pathway[J]. Eur J Pharmacol, 2024,971: 176548. doi:10.1016/j.ejphar.2024.176548
doi: 10.1016/j.ejphar.2024.176548 |
[1] | Zhicong LIU,Daiyin LIU,Juntian LONG,Chixing CHENG,Jian HUANG. Exosomal lncRNA CIAT1 promotes collective invasion of bladder cancer [J]. The Journal of Practical Medicine, 2025, 41(9): 1299-1308. |
[2] | Fu CHEN,Bin LIU,Shuaijun HE,Yong ZHAO,Weizhou. WANG. The relationship between semen quality and trace element levels in seminal plasma and miR⁃184 levels in seminal vesicles of male infertility patients [J]. The Journal of Practical Medicine, 2024, 40(7): 930-935. |
[3] | Li XIAO,Shumin LUO,Fang XU,Pengpeng LU,Enhong XING,Weihua. LI. Effect of culture time on immune⁃related membrane proteins of mouse dendritic cells and their exosomes [J]. The Journal of Practical Medicine, 2024, 40(7): 941-947. |
[4] | Yuxin CHENG,Liang LIU,Shiyu DONG,Shengchao LI,Meng ZHANG. Research advances in exosomal proteins, mRNA and non⁃coding RNA regulation of Hepatocellular Carcinoma [J]. The Journal of Practical Medicine, 2024, 40(6): 748-755. |
[5] | Shu CHEN,Jinglei ZHANG,Kang RONG,Nan ZHANG,Weiyi SUN. Research progress of exosomes in distant metastasis and drug resistance of gastric cancer [J]. The Journal of Practical Medicine, 2024, 40(6): 870-876. |
[6] | Yan JIANG,Xiaoqin WANG,Hong MEI,Xinxin LIU,Zhenliang LIAO,Kun YU,Banghai FENG,Song QIN. Type Ⅱ alveolar epithelial cell⁃derived exosomal miR⁃21⁃5p targeting SKP2 alleviate bronchopulmonary dysplasia [J]. The Journal of Practical Medicine, 2024, 40(23): 3298-3305. |
[7] | Qing LUO,Jinjin HUANG,Tingting REN,Ruihua ZHOU,Donghua XU,Zhenhua WANG,Guoying WANG. The effect of umbilical cord stem cell exosomes on the proliferation of dermal papilla cells [J]. The Journal of Practical Medicine, 2024, 40(20): 2828-2834. |
[8] | Jiao XU,Min ZHANG,Guogang. XIE. Research progress of mast cell⁃derived exosomes in bronchial asthma [J]. The Journal of Practical Medicine, 2024, 40(15): 2194-2198. |
[9] |
CHEN Xia, WU Xinxin, LIU Xingyou, CHEN Xinhao, HUANG Yinxia, XIAO Zhiyuan, HE Jigang. .
Overexpressed NKx2.5 genes in mesenchymal stem cells improve myocardial function in patients with myo⁃ cardial infarction via enhancing SDF⁃1/CXCR4⁃axis homing [J]. The Journal of Practical Medicine, 2023, 39(6): 660-666. |
[10] |
HOU Yongzhe, ZHANG Qin, ZHAO Xiaochen, HE Miao, YU Lingling, BAI Hai, WU Tao..
Research progress of extracellular vesicles derived from mesenchymal stem cells in treatment of acute lung injury [J]. The Journal of Practical Medicine, 2023, 39(3): 390-394. |
[11] | Dan XIE,Shi. OUYANG. Effect of Yinchenhao Decoction combined with exosomes derived from umbilical cord mesenchymal stem cells on acute liver failure and hepatocyte pyroptosis [J]. The Journal of Practical Medicine, 2023, 39(23): 3034-3042. |
[12] | Ailifeire MAIMAITI,Jing GAO,Zixiang YU,Yitong. MA. Up⁃regulated miR⁃106b⁃5p in exosomes derived from pulmonary artery smooth muscle cells enhances Warburg effect of pulmonary artery endothelial cells and promotes arterial pulmonary hypertension [J]. The Journal of Practical Medicine, 2023, 39(17): 2190-2195. |
[13] | CHEN Qian, TANG Qiuping.. Research advances in circulating plasma exosomes and their applications [J]. The Journal of Practical Medicine, 2023, 39(15): 1998-2003. |
[14] | DUAN Ruixue, YANG Bin, XIA Tianhong, YAN Long, LIANG Xiaoqin, LIU Hongbin. . Expression and diagnostic value of plasma exosome PD ⁃L1 in gastric cancer [J]. The Journal of Practical Medicine, 2023, 39(13): 1698-1703. |
[15] |
ZHOU Yongxin, ZHAI Wenjing, JIA Zhiqiang, ZHAO Xiaoguang, WANG Lei, FANG Liping, ZHAI Shafei, HUANG Tao. .
Exosomes derived from miR⁃210⁃5p⁃modified mesenchymal stem cells promote recovery after spinal cord injury in rats [J]. The Journal of Practical Medicine, 2022, 38(6): 711-714. |
Viewed | ||||||
Full text |
|
|||||
Abstract |
|
|||||