The Journal of Practical Medicine ›› 2024, Vol. 40 ›› Issue (23): 3298-3305.doi: 10.3969/j.issn.1006-5725.2024.23.004

• Basic Research • Previous Articles    

Type Ⅱ alveolar epithelial cell⁃derived exosomal miR⁃21⁃5p targeting SKP2 alleviate bronchopulmonary dysplasia

Yan JIANG1,Xiaoqin WANG2,Hong MEI3,Xinxin LIU3,Zhenliang LIAO3,Kun YU3,Banghai FENG4,Song QIN3()   

  1. *.Department of Pediatrics,Affiliated Hospital of Zunyi Medical University,Zunyi 563000,Guizhou,China
  • Received:2024-08-03 Online:2024-12-10 Published:2024-12-16
  • Contact: Song QIN E-mail:120647053@qq.com

Abstract:

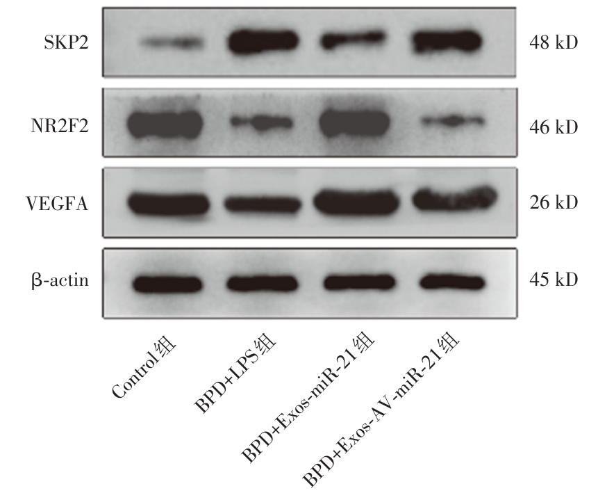
Objective To investigate the impact of exosomal (Exos)-miR-21-5p (miR-21) targeting S-phase kinase associated protein 2 (SKP2) derived from Type Ⅱ alveolar epithelial cells (AEC?Ⅱ) on the pathogenesis of bronchopulmonary dysplasia (BPD). Methods A total of 60 SD rats aged 6 ~ 8 weeks were utilized in this study, with 30 of them subjected to extraction and culture through differential adherent centrifugation. Density gradient centrifugation was employed for the isolation of AEC?Ⅱ derived exosomes, while vesicles from AEC?Ⅱ medium were extracted using density gradient centrifugation. These isolates were subsequently confirmed by transmission electron microscopy and particle size analysis, and the targeting relationship between miR-21 and SKP2 was validated through dual-fluorescein reporter gene assay. The remaining 30 mice were combined in a male-to-female ratio of 3∶1 to facilitate pregnancy testing. These neonatal mice were randomly assigned into four experimental groups: air control group (Con group), hyperoxia group (BPD + PBS group), hyperoxia-treated mice receiving exosomes (BPD + Exos-miR-21 group), and hyperoxia combined with exosome miR-21 inhibitor treatment group (BPD + Exos-AV-miR-21 group). Neonatal SD rats will be exposed to 85% oxygen to establish a BPD model. Following 14 days of high oxygen treatment, the expression levels of miR-21 in lung tissues and exosomes will be assessed using RT-qPCR. HE staining will be employed to observe pathological changes in lung tissue, while mean alveolar linear intercept (MLI) and radial alveolar count (RAC) will be calculated. Superoxide dismutase (SOD), malondialdehyde (MDA), and total antioxidant capacity (T-AOC) levels will be determined spectrophotometrically, whereas reactive oxygen species (ROS) levels will be measured via fluorescence spectrophotometry. Additionally, Western blot analysis will assess the expression levels of SKP2, NR2F2, and VEGF-A proteins. Results The results obtained from electron microscopy and particle size analysis demonstrated that the vesicle structure isolated from AEC?Ⅱ cells corresponded to exosomes. Moreover, there was a significant upregulation of miR-21 expression in exosomes (P < 0.01). Subsequently, the dual luciferase gene reporter assay confirmed SKP2 as the target of miR-21. Comparative analysis revealed that compared to the Con group, both BPD + PBS and BPD + Exos-AV-miR-21 groups exhibited disordered lung tissue structure with enlarged and simplified alveoli, increased levels of ROS, MDA, and MLI along with elevated expression of SKP2 protein (P < 0.01). Conversely, RAC, SOD, T-AOC levels were downregulated alongside miR-21 expression while NR2F2 and VEGF-A protein expressions decreased significantly (P < 0.01). In contrast to the BPD+PBS group, the number of alveoli without alveoli increased in the BPD+Exos-miR-21 group leading to improved degree of alveolar simplification accompanied by reduced MLI, ROS, MDA levels as well as decreased SKP2 protein expression (P < 0.01). Additionally ROC,SOD,T-AOC,and miR-21 expressions were upregulated while NR2F2and VEGF-A expressions were increased(P < 0.01). Conclusions The exosomal miR-21 derived from AEC?Ⅱ may potentially target SKP2, thereby inhibiting oxidative stress and promoting alveolar development. Consequently, it can improve BPD by enhancing the protein expression of NR2F2 and VEGF-A.

Key words: type Ⅱ alveolar epithelial cells, exosomes, micro RNA-21-5p, bronchopulmonary dysplasia, SKP2

CLC Number: