实用医学杂志 ›› 2024, Vol. 40 ›› Issue (3): 394-399.doi: 10.3969/j.issn.1006-5725.2024.03.020
陈海静,杨亚英,赵卫,胡继红,吴莉,郑凌琳,吴岩,李青青()
Haijing CHEN,Yaying YANG,Wei ZHAO,Jihong HU,Li WU,Linglin ZHENG,Yan WU,Qingqing LI()
摘要:
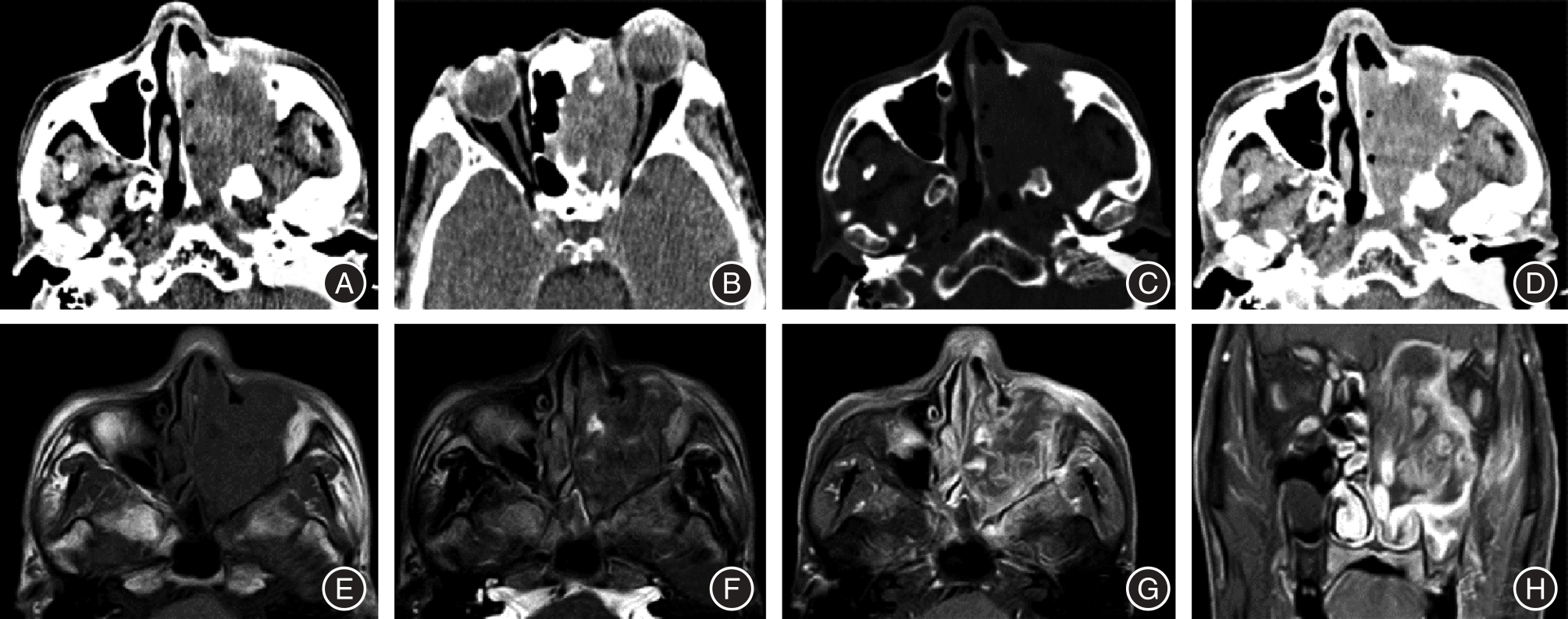
目的 探讨鼻腔鼻窦鳞状细胞癌(SCC)和淋巴瘤(NHL)的增强CT和MRI影像特征,分析不同影像特征鉴别鼻腔鼻窦SCC与NHL的效能。 方法 回顾性分析行鼻窦增强CT和增强MRI检查并经手术病理证实的67例鼻腔鼻窦SCC及NHL患者的影像学及临床、病理资料,分析肿瘤起源部位、最大径、CT密度、MRI信号强度、增强强化程度、肿瘤内部坏死、邻近骨质破坏、对周围组织的侵犯、扫描范围内颈部淋巴结转移情况等影像特征,采用受试者操作特征(ROC)曲线及曲线下面积(AUC)分析不同影像学特征鉴别鼻腔鼻窦SCC和NHL的效能。 结果 鼻腔鼻窦SCC与NHL的肿瘤起源部位、最大径、肿瘤内部坏死、周围骨质破坏以及周围组织侵犯5个影像学特征组间差异有统计学意义(P < 0.05),鉴别SCC与NHL的AUC分别为0.708、0.694、0.785、0.850、0.629。联合肿瘤起源部位、肿瘤内部坏死、周围骨质破坏3个影像特征鉴别SCC与NHL的AUC为0.969,灵敏度及特异度分别为83.9%及97.2%。 结论 肿瘤起源部位、最大径、肿瘤内部坏死、骨质破坏及周围组织侵犯的增强CT及MRI影像征象有助于鼻腔鼻窦SCC与NHL的鉴别,尤其是出现肿瘤起源于鼻腔、坏死少见、骨质破坏轻微,应优先考虑鼻腔鼻窦NHL的可能。增强CT和MRI有助于鼻腔鼻窦SCC与NHL的鉴别,联合使用有助于提高鉴别诊断效能。
中图分类号: