实用医学杂志 ›› 2026, Vol. 42 ›› Issue (3): 387-394.doi: 10.3969/j.issn.1006-5725.2026.03.005

• 慢性病防治专栏 • 上一篇    

熊果酸通过Nrf2/GPX4信号通路对稀土氧化钕所致肝损伤的改善作用

刘佳欣1,石梦琪1,郭腾飞1,赵雪1,银多1,张文龙2,戈娜1(),袁雅婧1,葛舒昱1   

  1. 1.包头医学院食品营养与健康研究所 (内蒙古 包头 014040 )
    2.包头医学院第一附属医院骨外科 ;(内蒙古 包头 014010 )
  • 收稿日期:2025-11-03 出版日期:2026-02-10 发布日期:2026-02-09
  • 通讯作者: 戈娜 E-mail:genanihao80@163.com
  • 基金资助:
    国家自然科学基金项目(82160618);内蒙古自然科学基金项目(2023MS08041);包头医学院公共卫生与预防医学博士点建设专项科学研究基金(BYJJ-GWZX202503);包头医学院创新团队发展计划(bycxtd-11);内蒙古自治区大学生创新创业训练计划项目(S202510130016)

The ameliorative effect of ursolic acid on liver injury induced by rare earth neodymium oxide through the Nrf2/GPX4 signaling pathway

Jiaxin LIU1,Mengqi SHI1,Tengfei GUO1,Xue ZHAO1,Duo YIN1,Wenlong ZHANG2,Na GE1(),Yajing YUAN1,Shuyu GE1   

  1. 1.Institute of Food Nutrition and Health,Baotou Medical College,Baotou 014040,Inner Mongolia,China
    2.Department of Orthopedic Surgery,the First Affiliated Hospital of Baotou Medical College,Baotou 014010,Inner Mongolia,China
  • Received:2025-11-03 Online:2026-02-10 Published:2026-02-09
  • Contact: Na GE E-mail:genanihao80@163.com

摘要:

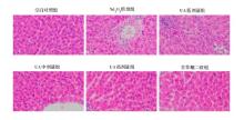
目的 基于Nrf2/GPX4信号通路探讨熊果酸对稀土氧化钕致肝损伤大鼠的影响及其作用机制。 方法 6周龄SPF级SD大鼠60只,随机分为6组,每组10只,包括空白对照组、氧化钕模型组、熊果酸低、中、高剂量组和甘草酸二铵组。干预9周,末次灌胃后,禁食不禁水12 h,处死大鼠,采集血液和肝脏。HE染色进行肝组织病理学观察;测定大鼠血清中肝功能生化指标;ELISA法检测超氧化物歧化酶(SOD)、丙二醛(MDA)、谷胱甘肽过氧化物酶(GSH-Px)、肿瘤坏死因子-α(TNF-α)、白细胞介素-1β(IL-1β)、白细胞介素-10(IL-10)水平;比色法测定肝脏中Fe2+含量;Western blot法测定肝组织中核因子红系2相关因子2(Nrf2)和谷胱甘肽过氧化物酶4(GPX4)蛋白表达水平。 结果 与空白对照组相比,模型组大鼠肝组织存在脂肪空泡和大量炎性细胞浸润;血清ALT、AST活力,MDA、TNF-α、IL-1β水平和Fe2+含量显著升高(P < 0.05),SOD、GSH-Px和IL-10水平显著下降(P < 0.05)。经熊果酸干预后,肝脏脂肪变性得到明显改善,炎性细胞浸润减少;血清ALT、AST活力,MDA、TNF-α、IL-1β水平和Fe2+含量显著降低(P < 0.05),SOD、GSH-Px和IL-10水平显著上升(P < 0.05)。Western blot结果显示,与空白对照组相比,模型组大鼠肝脏Nrf2和GPX4蛋白表达显著降低(P < 0.05);而经熊果酸干预后,Nrf2和GPX4蛋白表达显著升高(P < 0.05)。 结论 熊果酸对稀土氧化钕所致肝损伤大鼠具有保护作用,其机制可能与调节Nrf2/GPX4信号通路降低炎症反应、改善氧化应激,进而抑制铁死亡有关。

关键词: 熊果酸, 稀土氧化钕, 肝损伤, Nrf2/GPX4信号通路, 氧化应激, 铁死亡

Abstract:

Objective To investigate the effect of ursolic acid on liver injury induced by neodymium oxide in rats based on the Nrf2/GPX4 signaling pathway and explore its underlying mechanism. Methods Sixty 6-week-old specific pathogen-free (SPF) grade Sprague-Dawley (SD) rats were randomly allocated into six groups (n = 10 per group): a blank control group, a neodymium oxide model group, low-dose, medium-dose, and high-dose ursolic acid groups, and a diammonium glycyrrhizinate group. After a 9-week intervention period, the rats were fasted for 12 hours with free access to water prior to sacrifice. Hepatic histopathology was examined using hematoxylin and eosin (HE) staining. Serum biochemical markers of liver function were assayed. The levels of superoxide dismutase (SOD), malondialdehyde (MDA), glutathione peroxidase (GSH-Px), tumor necrosis factor-α (TNF-α), interleukin-1β (IL-1β), and interleukin-10 (IL-10) were detected by enzyme-linked immunosorbent assay (ELISA). The Fe2? content in the liver was determined through colorimetry. The protein expression levels of nuclear factor erythroid 2-related factor 2 (Nrf2) and glutathione peroxidase 4 (GPX4) in liver tissue were measured by Western blotting. Results In comparison with the normal control group, the model group exhibited fatty vacuoles of varying sizes and extensive infiltration of inflammatory cells in the liver tissue. The activities of serum alanine aminotransferase (ALT) and aspartate aminotransferase (AST), the levels of malondialdehyde (MDA), tumor necrosis factor-α (TNF-α), interleukin-1β (IL-1β), and the content of Fe2? were significantly elevated (P < 0.05), whereas the levels of superoxide dismutase (SOD), glutathione peroxidase (GSH-Px), and interleukin-10 (IL-10) were significantly decreased (P < 0.05). After the intervention of ursolic acid, hepatic steatosis was remarkably improved, and the infiltration of inflammatory cells was reduced. The activities of serum ALT and AST, the levels of MDA, TNF-α, IL-1β, and the content of Fe2? were significantly decreased (P < 0.05), while the levels of SOD, GSH-Px, and IL-10 were significantly increased (P < 0.05). Western blot results indicated that, when compared with the normal control group, the protein expression of nuclear factor erythroid 2-related factor 2 (Nrf2) and glutathione peroxidase 4 (GPX4) in the liver of the model group was significantly reduced (P < 0.05). Nevertheless, after the intervention of ursolic acid, the expression of Nrf2 and GPX4 proteins was significantly increased (P < 0.05). Conclusion Ursolic acid exerts a protective effect against neodymium oxide-induced liver injury in rats. Its mechanism may be associated with the regulation of the Nrf2/GPX4 signaling pathway, which can reduce the inflammatory response, alleviate oxidative stress, and consequently inhibit ferroptosis.

Key words: eridictyronic acid, neodymium oxide, liver injury, Nrf2/GPX4 signaling pathway, oxidative stress, ferroptosis

中图分类号: