实用医学杂志 ›› 2025, Vol. 41 ›› Issue (22): 3520-3528.doi: 10.3969/j.issn.1006-5725.2025.22.008

• 基础研究 • 上一篇    

单羧酸转运蛋白1介导的乳酸堆积与铁死亡在急性肝衰竭中的正反馈机制

李成成1,李安丽1,刘渝洪1,王路1,彭虹2,李宏1,2   

  1. 1.贵州医科大学临床医学院 (贵州 贵阳 550004 )
    2.贵州省人民医院肝病感染科 (贵州 贵阳 550002 )
  • 收稿日期:2025-08-26 出版日期:2025-11-25 发布日期:2025-11-26
  • 基金资助:
    国家自然科学基金项目(82060123);贵州省人民医院人才项目(院人才项目[2023]-29)

MCT1⁃mediated lactic acid accumulation and ferroptosis in acute liver failure: A positive feedback loop

Chengcheng LI1,Anli LI1,Yuhong LIU1,Lu WANG1,Hong PENG2,Hong LI1,2   

  1. *.School of Clinical Medicine,Guizhou Medical University,Guiyang 550004,Guizhou,China
  • Received:2025-08-26 Online:2025-11-25 Published:2025-11-26

摘要:

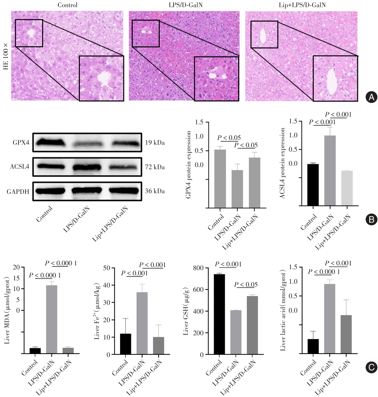
目的 探讨单羧酸转运蛋白1(monocarboxylate transporter 1, MCT1)介导的乳酸堆积与铁死亡在急性肝衰竭(acute liver failure, ALF)中的交互关系。 方法 通过脂多糖 (lipopolysaccharide, LPS)联合D-半乳糖胺(D-galactosamine, D-GalN)构建ALF小鼠模型及肝细胞损伤模型,其中小鼠设立空白对照组、ALF组、ALF+利普司他汀-1(liproxstatin-1, Lip-1)组;体外细胞实验设立空白对照组、肝细胞损伤模型组、乳酸干预组、MCT1过表达组。采用试剂盒分别检测了小鼠肝组织及细胞上清液中的乳酸水平,以及肝组织中的丙二醛(malondialdehyde, MDA)、亚铁离子(Fe2+)和还原性谷胱甘肽(glutathione, GSH)含量;苏木精-伊红染色(hematoxylin and eosin staining, HE)观察小鼠肝组织病理学;透射电子显微镜观察肝细胞线粒体超微结构;蛋白质印迹法(Western blot, WB)检测小鼠肝组织与细胞内MCT1、谷胱甘肽过氧化物酶4(glutathione peroxidase 4, GPX4)和长链酰基辅酶A合成酶4(Acyl-CoA synthetase long chain family member 4,ACSL4)蛋白表达;实时荧光定量PCR(Quantitative Real-time polymerase chain reaction, qPCR)和免疫荧光分别检测GPX4与ACSL4的mRNA水平及荧光强度。 结果 ALF小鼠模型肝组织HE染色示肝细胞大量坏死,部分炎症细胞浸润;MCT1、GPX4蛋白表达均下调(P < 0.001)、ACSL4蛋白表达上调(P < 0.000 1),乳酸水平显著增高(P < 0.001);透射电子显微镜观察到肝细胞线粒体体积缩小、嵴结构排列紊乱;与模型组相比,铁死亡抑制剂ALF组小鼠肝组织HE染色示肝损伤减轻;GPX4表达回升(P < 0.05),ACSL4表达下调(P < 0.001);肝组织内乳酸、MDA、Fe2+含量减少(P < 0.001),GSH含量升高(P < 0.05)。体外实验显示,乳酸处理肝细胞可浓度依赖性抑制GPX4、并促进ACSL4的表达(P < 0.05);在肝细胞损伤模型组中,MCT1和GPX4表达下调、ACSL4蛋白表达上调(P < 0.05),同时乳酸水平显著增高(P < 0.05);然而,MCT1的过表达显著逆转上述变化,导致GPX4的表达升高(P < 0.05),ACSL4表达下调(P < 0.001)。此外,免疫荧光结果显示,GPX4荧光信号增强(P < 0.001),ACSL4减弱(P < 0.01),且细胞上清液中的乳酸水平显著下降(P < 0.000 1)。 结论 本研究表明,铁死亡是ALF中重要的细胞死亡方式,且与乳酸代谢存在密切相关。MCT1通过增强肝细胞的乳酸转运功能,有效减少乳酸堆积,从而减轻LPS/D-GalN诱导的铁死亡;相反,抑制铁死亡亦可降低乳酸水平,二者可能存在相互影响的“乳酸-铁死亡”循环。

关键词: 急性肝衰竭, 铁死亡, 乳酸堆积, 单羧酸转运蛋白1

Abstract:

Objective To explore the interplay between MCT1-mediated lactate accumulation and ferroptosis in acute liver failure (ALF). Methods An ALF mouse model and a hepatocyte injury model were established using lipopolysaccharide (LPS) in combination with D-galactosamine (D-GalN). The mice were randomly assigned to three groups: a blank control group, an ALF model group, and an ALF + Liproxstatin-1 (Lip-1) treatment group. In vitro experiments included four groups: A blank control, a hepatocyte injury model, a lactate intervention, and an MCT1 overexpression group. Commercial kits were used to measure lactate levels in both mouse liver tissues and cell supernatants, as well as the contents of malondialdehyde (MDA), ferrous ions (Fe2+), and reduced glutathione (GSH) in liver tissue. Liver histopathology was evaluated using hematoxylin and eosin (HE) staining. Transmission electron microscopy was employed to assess mitochondrial ultrastructure in hepatocytes. Western blot (WB) analysis was performed to determine the protein expression levels of MCT1, glutathione peroxidase 4 (GPX4), and acyl-CoA synthetase long-chain family member 4 (ACSL4) in both liver tissues and cultured cells. Real-time quantitative PCR and immunofluorescence assays were utilized to detect mRNA expression and fluorescence intensity of GPX4 and ACSL4, respectively. Results HE staining of liver tissue from the ALF mouse model revealed extensive hepatocyte necrosis and partial inflammatory cell infiltration. Both MCT1 and GPX4 protein expression were significantly downregulated (P < 0.001), whereas ACSL4 protein expression was markedly upregulated (P < 0.000 1), accompanied by a significant elevation in lactate levels (P < 0.001). Transmission electron microscopy demonstrated reduced mitochondrial volume and disorganized cristae arrangement in hepatocytes. In contrast to the model group, histological analysis of liver tissue from ALF mice treated with an iron death inhibitor showed attenuated liver injury. GPX4 expression was restored (P < 0.05), while ACSL4 expression was reduced (P < 0.001). Levels of lactate, MDA, and Fe2+ in liver tissue were significantly lower (P < 0.001), whereas GSH levels were significantly higher (P < 0.05). In vitro experiments indicated that lactate treatment suppressed GPX4 expression in hepatocytes in a concentration-dependent manner while promoting ACSL4 expression (P < 0.05). In the hepatocyte injury model group, MCT1 and GPX4 expression were downregulated, ACSL4 protein expression was upregulated (P < 0.05), and lactate levels were significantly increased (P < 0.05). However, MCT1 overexpression effectively reversed these alterations, resulting in increased GPX4 expression (P < 0.05) and decreased ACSL4 expression (P < 0.001). Furthermore, immunofluorescence results revealed enhanced GPX4 fluorescence intensity (P < 0.001) and reduced ACSL4 signal intensity (P < 0.01), along with a marked reduction in lactate levels in cell supernatants (P < 0.000 1). Conclusions This study demonstrates that ferroptosis plays a critical role in cell death during ALF and is closely intertwined with lactate metabolism. MCT1 mitigates LPS/D-GalN-induced ferroptosis by facilitating lactate transport in hepatocytes, thereby reducing lactate accumulation. Conversely, inhibition of ferroptosis leads to decreased lactate levels, indicating a bidirectional 'lactate-ferroptosis' regulatory loop.

Key words: acute liver failure, ferroptosis, lactic acid accumulation, monocarboxylate transporter 1

中图分类号: