The Journal of Practical Medicine ›› 2026, Vol. 42 ›› Issue (1): 37-44.doi: 10.3969/j.issn.1006-5725.2026.01.005

• Oncology: Diagnosis, Treatment and Prevention • Previous Articles     Next Articles

To observe the clinical efficacy of curettage and devascularization of osteoid osteoma guided by orthopedic surgical robot navigation

Haiwen PAN,Yongqiang LAO(),Weichun LIANG,Yongbo HU,Mingshuang WANG,Qingbin LI,Zongquan MO,Guokai FENG   

  1. Department of Orthopedics,the Eighth Clinical Medical College of Guangzhou University of Chinese Medicine,Foshan Hospital of Traditional Chinese Medicine,Foshan 528000,Guangdong,China
  • Received:2025-09-26 Online:2026-01-10 Published:2026-01-14
  • Contact: Yongqiang LAO E-mail:18927748778@163.com

Abstract:

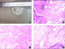
Objective To analyze the clinical efficacy of curettage and sterilization for osteoid osteoma under the guidance of orthopedic surgical robot navigation. Methods A total of 60 patients diagnosed with osteoid osteoma who underwent surgical treatment in the Department of Orthopedics at Foshan Hospital of Traditional Chinese Medicine from January 2018 to June 2025 were recruited. These patients were then divided into an experimental group and a control group, with 30 cases in each group. The control group received traditional curettage and inactivation of the lesion, while the experimental group underwent curettage and inactivation of the lesion under the guidance of an orthopedic surgical robot navigation. A comparison was made between the two groups in terms of the positive detection rate of postoperative pathology, the incidence of complications and postoperative recurrence, the patient satisfaction rate, the VAS pain score, the area of the surgical bone window, the number of bone grafts and internal fixations, the intraoperative blood loss, the operation time (defined as the time from skin incision to the final closure of the operation), the postoperative hospital stay, and the efficacy evaluation. Results The positive detection rate of postoperative pathology in the experimental group was significantly higher than that in the control group (P < 0.05). After the operation, the VAS pain score of the experimental group was significantly lower than that of the control group (P < 0.05). The bone window area, intraoperative blood loss, operation time, and postoperative hospital stay in the experimental group were all significantly lower than those in the control group (P < 0.05). The number of bone grafts in the experimental group was significantly lower than that in the control group (P < 0.05). The bone graft and internal fixation in the experimental group were slightly lower than those in the control group, the satisfaction rate of the experimental group was slightly higher than that of the control group, the total excellent - and - good rate of the experimental group was slightly higher than that of the control group, and the incidence of complications and postoperative recurrence rate of the experimental group were lower than those of the control group, but there was no significant difference (P > 0.05). Conclusions The treatment of osteoid osteoma through curettage and degranulation guided by orthopedic surgical robot navigation can alleviate postoperative pain, reduce surgical trauma, shorten the hospital stay, and offers advantages in terms of pathological positive detection, complications, and postoperative recurrence. Therefore, it is worthy of clinical application.

Key words: orthopedic surgical robot, navigation, guide, curettage and inactivation of lesions, osteoid osteoma

CLC Number: