The Journal of Practical Medicine ›› 2023, Vol. 39 ›› Issue (22): 2979-2983.doi: 10.3969/j.issn.1006-5725.2023.22.021

• Medical Examination and Clinical Diagnosis • Previous Articles     Next Articles

Deep learning convolutional neural network model trained from scratch algorithm in the evaluation of acute pulmonary thromboembolism

Runcai GUO1,Lei WANG1,Zhenguo HUANG1,Linfeng XI2,Shuai ZHANG1,Min. LIU1()   

  1. *.Department of Radiology,China?Japan Friendship Hospital,Beijing 100029,China
  • Received:2023-08-11 Online:2023-11-25 Published:2023-12-11
  • Contact: Min. LIU E-mail:mikie0763@126.com

Abstract:

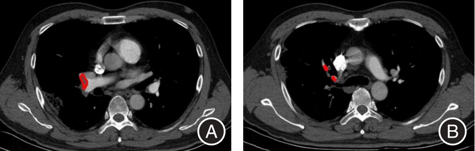
Objective This research aimed to study the values of the deep learning convolutional neural network model trained from scratch(DL?CNN(fs)) in assessment of acute pulmonary thromboembolism (APE). Methods A total of 214 patients with suspected APE who underwent computed tomography pulmonary angiography(CTPA) were retrospectively studied, including 137 patients with APE and 77 patients without APE. The presence or absence of APE was determined by the radiologists based on CTPA. The Qanadli score, Mastora score and other parameters on CTPA were measured by the radiologists. The clot volumes and distribution were measured by U?net model which was based on DL?CNN. The performance of DL?CNN(fs) in measuring clot distribution and clot burden was evaluated. The correlation between clot burden and Qanadli score, Mastora score and other CTPA parameters was calculated. Results Sensitivity, specificity and AUC of the central pulmonary artery clot distribution measured by DL?CNN(fs) were 100%, 16.8%, AUC = 0.584 (95%CI: 0.508 ~ 0.661). Sensitivity, specificity and AUC of the peripheral pulmonary artery clot distribution were high (R1?R9, 60.8% ~ 95.2%,67.9% ~ 87.1%,0.740 ~ 0.844; L1?L10, 64.6% ~ 93.4%, 62.7% ~ 83.1%, 0.732 ~ 0.791). Strong positive correlation was noted between clot volumes measured by DL?CNN (fs) model and Qanadli score (r = 0.867,P < 0.001), as well as Mastora score (r = 0.854, P < 0.001). Clot volumes measured by DL?CNN (fs) model were correlated with the right ventricular functional parameters(right ventricular diameter/left ventricular diameter, right ventricular area/left ventricular area,r = 0.549, 0.559, P < 0.01). Conclusion The DL?CNN (fs) model has high value in detecting peripheral pulmonary embolism, and its diagnostic specificity for central pulmonary embolism needs to be further improved. The clot volumes from DL?CNN(fs) were correlated with metrics of pulmonary embolism and right ventricular function, which may help doctors to quickly evaluate the clot burden and risk stratification of acute pulmonary thromboembolism.

Key words: deep learning, convolution neural network, acute pulmonary thromboembolism, computed tomography pulmonary angiography

CLC Number: