实用医学杂志 ›› 2025, Vol. 41 ›› Issue (1): 23-29.doi: 10.3969/j.issn.1006-5725.2025.01.004

• 基础研究 • 上一篇    下一篇

蛋白激酶Cβ抑制剂通过调节巨噬细胞表型对移植期间的肾缺血再灌注损伤的影响

李春燕1,肖婷2,伍邦翠1,陈永1,田梅1()   

  1. 1.遵义医科大学附属医院肾病风湿科 (贵州 遵义 563003 )
    2.长沙市第四医院肾内科 (湖南 长沙 410007 )
  • 收稿日期:2024-05-27 出版日期:2025-01-10 发布日期:2025-01-14
  • 通讯作者: 田梅 E-mail:348820517@qq.com
  • 基金资助:
    国家自然科学基金项目(82460325);遵义市科技计划项目(遵市科合HZ字(2023)205号)

PKCβ inhibitor modulates macrophage phenotype and affects kidney ischemia-reperfusion injury during transplantation

Chunyan LI1,Ting XIAO2,Bangcui WU1,Yong CHEN1,Mei TIAN1()   

  1. Department of Nephrology and Rheumatology,Affiliated Hospital of Zunyi Medical University,Zunyi 563003,Guizhou,China
  • Received:2024-05-27 Online:2025-01-10 Published:2025-01-14
  • Contact: Mei TIAN E-mail:348820517@qq.com

摘要:

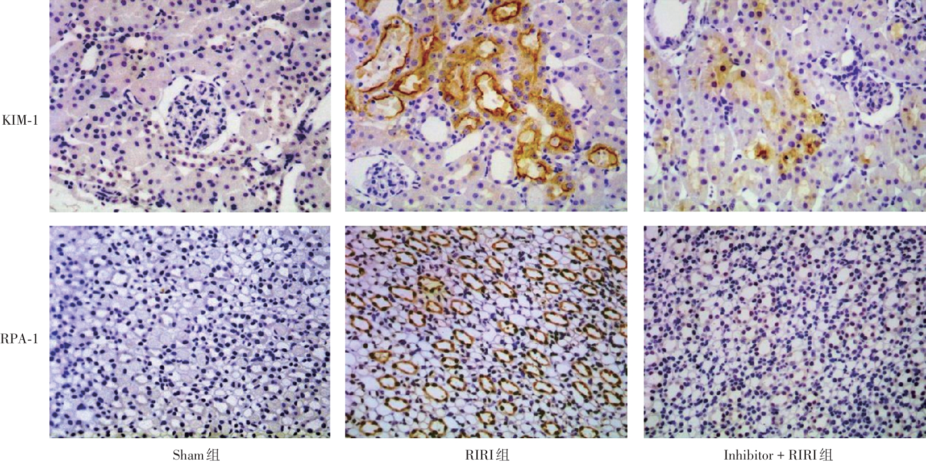
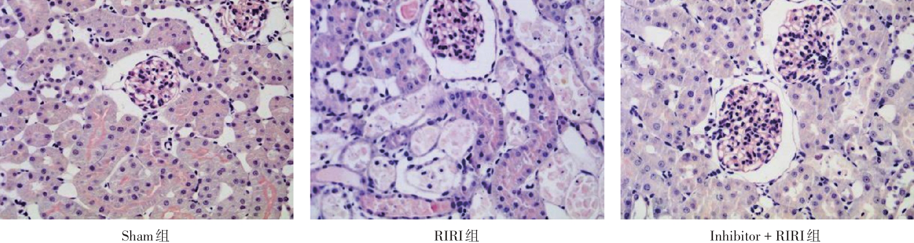
目的 探讨蛋白激酶Cβ(PKCβ)抑制剂是否通过调节巨噬细胞表型来缓解肾脏缺血再灌注损伤(RIRI)。 方法 RIRI组大鼠血管夹阻断左肾血供60 min,同时切除右肾。Inhibitor + RIRI组予以PKCβ抑制剂在手术前1 d口服,余下处理同RIRI组。Sham组大鼠开腹后再闭腹。术后24 h处死大鼠,采集血液和左侧肾脏样本。分析肾功能、组织形态以及肾小管损伤标志物KIM-1,肾乳头损伤指标RPA-1、巨噬细胞亚型标志物及炎性因子的表达水平。 结果 PAS染色显示RIRI组大鼠肾切片有明显肾小管损伤,经PKCβ抑制剂干预后Inhibitor + RIRI组炎性细胞浸润、肾小管损伤评分降低(P < 0.05)。RIRI组Cr、BUN、KIM-1和RPA-1的表达水平显著高于Sham组及Inhibitor + RIRI组(P < 0.05)。与RIRI组相比,经PKCβ抑制剂干预后Inhibitor + RIRI组Cr、BUN、KIM-1和RPA-1表达显著减少(P < 0.05)。RIRI 组大鼠肾组织中iNOS、IL-12及CD197的表达显著高于Sham组及Inhibitor + RIRI组(P < 0.05);与RIRI组相比,经PKCβ抑制剂干预后Inhibitor + RIRI组iNOS、IL-12及CD197蛋白表达量显著减少(P < 0.05);经PKCβ抑制剂干预后Inhibitor + RIRI组Dectin-1、ARG-1和CD163的蛋白表达量明显高于RIRI组及Sham组(P < 0.05)。 结论 PKCβ抑制剂可减轻缺血再灌注后肾功能不全、肾小管损伤、肾小管和肾乳头损伤标志物的表达。PKCβ抑制剂抑制M1巨噬细胞并促进巨噬细胞向M2极化,减少促炎并增加抗炎因子的表达促进肾脏修复。

关键词: 肾缺血再灌注损伤, 蛋白激酶Cβ抑制剂, 炎症因子, M1型巨噬细胞, M2型巨噬细胞

Abstract:

Objective To investigate whether PKCβ inhibitor can alleviate RIRI by regulating macrophage phenotype. Methods Rats in the renal ischemia?reperfusion injury (RIRI) model group underwent right nephrectomy followed by a 60?minute clamping of the left renal pedicle. In the experimental group (Inhibitor + RIRI), PKCβ inhibitors were administered orally one day prior to surgery. All rats were euthanized 24 hours post?surgery for the collection of blood and left kidney samples. Renal function, tissue morphology, and the expression levels of renal tubular injury marker KIM?1, renal papilla injury marker RPA?1, macrophage subtype markers, and inflammatory factors were evaluated. Results PKCβ inhibitors alleviated renal ischemia?reperfusion injury in rats. PAS staining revealed marked tubular damage in kidney sections from the RIRI group, whereas kidney inflammatory cell infiltration and renal tubular injury scores were significantly reduced in the Inhibitor+RIRI group following PKCβ inhibitor treatment (all P < 0.05). The expression levels of Cr, BUN, KIM?1, and RPA?1 were markedly elevated in the RIRI group compared to the Sham and Inhibitor + RIRI groups (all P < 0.05). After PKCβ inhibitor intervention, the expression levels of Cr, BUN, KIM?1, and RPA?1 were significantly decreased in the Inhibitor + RIRI group relative to the RIRI group (all P < 0.05). Protein expression levels of iNOS, IL?2, and CD197 in the kidney tissue of the RIRI group were significantly higher than those in the Sham and Inhibitor + RIRI groups (all P < 0.05). Compared with the RIRI group, the protein expression levels of iNOS, IL?12, and CD197 were significantly reduced in the Inhibitor + RIRI group following PKC β inhibitor intervention (all P < 0.05). Additionally, the protein expression levels of Dectin?1, ARG?1, and CD163 were significantly higher in the Inhibitor + RIRI group than in the RIRI and Sham groups after PKCβ inhibitor intervention (all P < 0.05). Conclusions PKCβ inhibitors can mitigate renal dysfunction, renal tubular injury, and the expression of injury markers in the renal tubules and renal papilla following ischemia?reperfusion. Additionally, PKCβ inhibitors play a role in modulating macrophage subtypes by reducing M1 macrophages and promoting polarization to M2, which leads to a decrease in pro?inflammatory factors and an increase in anti?inflammatory factors, ultimately facilitating kidney repair.

Key words: renal ischemia?reperfusion injury, PKC β inhibitor, inflammatory factors, M1 macrophages, M2 macrophages

中图分类号: