实用医学杂志 ›› 2023, Vol. 39 ›› Issue (23): 3034-3042.doi: 10.3969/j.issn.1006-5725.2023.23.003

• 基础研究 • 上一篇    下一篇

茵陈蒿汤协同脐带间充质干细胞所释放的外泌体对急性肝衰竭及肝细胞焦亡的影响

谢丹,欧阳石()   

  1. 广州医科大学附属第五医院感染性疾病科,广东高校生物靶向诊治与康复重点实验室 (广州 510515 )
  • 收稿日期:2023-08-18 出版日期:2023-12-10 发布日期:2024-01-08
  • 通讯作者: 欧阳石 E-mail:Ouyangshi@gzhmu.edu.cn
  • 基金资助:
    国家自然科学基金资助项目(81803884);广州医科大学科研能力提升项目(02?410?2302092XM);广州医科大学2022年学生创新能力提升计划项目(02?408?2203?2064);2022年广州医科大学学科建设项目(02?410?2206013);广州医科大学本科生能力提升创新项目(2022JXA003);2023年市校(院)企联合资助项目(2023A03J0421);2023年北京肝胆相照公益基金会资助项目(iGandanF-1082023-RGG023);广州市医学重点学科【2021?2023】项目;广东高校生物靶向诊治与康复重点实验室(2021KSYS009)

Effect of Yinchenhao Decoction combined with exosomes derived from umbilical cord mesenchymal stem cells on acute liver failure and hepatocyte pyroptosis

Dan XIE,Shi. OUYANG()   

  1. Department of Infectious Diseases,the Fifth Clinical School,Guangzhou Medical University,Guangzhou Key Laboratory of Biological Targeted Diagnosis and Treatment,Guangzhou 510515,China
  • Received:2023-08-18 Online:2023-12-10 Published:2024-01-08
  • Contact: Shi. OUYANG E-mail:Ouyangshi@gzhmu.edu.cn

摘要:

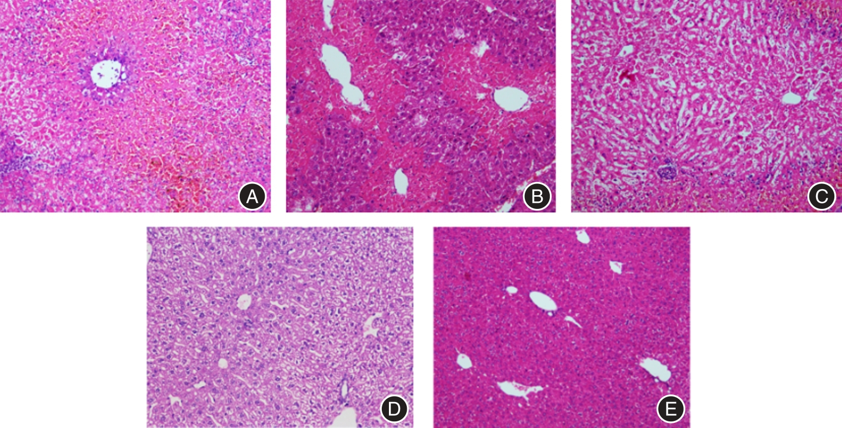
目的 探讨茵陈蒿汤协同脐带间充质干细胞胞(Umbilical cord mesenchymal stem cells, UcMSCs)对体内外急性肝衰竭(Acute liver failure, ALF)模型肝损及肝细胞焦亡的影响及相较单一药物作用的区别。 方法 分离ucMSCs,通过电镜及流式鉴定。超速离心法分离ucMSCs外泌体(ucMSCs?exo),采用纳米颗粒跟踪分析软件(NTA)、透射电镜、Western blot鉴定ucMSCs?exo的CD63、CD9。通过100 ng/mL脂多糖(LPS)和5 mmol/L三磷酸腺苷(ATP)刺激人肝细胞株LO2细胞构建ALF体外模型。将细胞随机分为正常对照组、模型组、茵陈蒿汤治疗组、ucMSCs?exo治疗组和联合治疗组。在电子显微镜下观察LO2形态改变,流式分析检测LO2细胞的死亡率,Western blot检测焦亡相关蛋白Caspase?1及Cleaved?Caspase?1的表达,ELISA检测焦亡相关细胞因子IL?1β、IL?18的表达。再将50只6 ~ 8周龄的C57BL/6雄性小鼠随机分为正常对照组、模型组、茵陈蒿汤治疗组、ucMSCs?exo治疗组及联合治疗组,每组10只。采用腹腔内注射10 μg/kg LPS和800 mg/kg D?氨基半乳糖(D?GalN)构建ALF小鼠模型,造模成功后各组分别给予相应药物干预,ucMSCs?exo组和联合治疗组尾静脉注射ucMSCs?exo干预,持续给药3 d。干预12 h后收集各组血清标本及肝脏组织,检测血清中谷丙转氨酶(ALT)、谷草转氨酶(AST)的表达水平,HE染色肝脏组织观察其病理改变。 结果 在ALF体外模型中,茵陈蒿汤治疗组、ucMSCs?exo治疗组及联合治疗组抑制肝细胞死亡(P < 0.05),且联合治疗组的肝细胞死亡率下降的最显著(P < 0.05)。通过初步探索其对肝细胞焦亡的作用,发现相较于单一药物治疗组而言,联合治疗组能显著降低焦亡相关蛋白Cleaved?Caspase?1及细胞因子IL?1β、IL?18的表达(P < 0.05),但Caspase?1的表达比较无统计学意义(P > 0.05)。同样在ALF体内模型中,单一茵陈蒿汤治疗组、单一ucMSCs?exo治疗组及联合治疗组能够有效降低血清ALT、AST水平(P < 0.05),减轻肝细胞坏死及炎症细胞的浸润。并且与单一药物治疗组相比较而言,联合治疗组在血清ALT、AST的降低程度及肝组织中炎症细胞的浸润、细胞死亡程度均有进一步的降低(P < 0.05)。 结论 茵陈蒿汤联合ucMSCs?exo对ALF体内外模型的保肝作用显著优于单一茵陈蒿汤治疗或单一ucMSCs?exo治疗,且在体外ALF模型中能够显著抑制肝细胞焦亡。

关键词: 急性肝衰竭, 茵陈蒿汤, 脐带间充质干细胞, 肝细胞焦亡, 外泌体

Abstract:

Objective To investigate the hepatoprotective effect and anti-hepatocyte pyroptosis effect of Yinchenhao decoction synergized with umbilical cord mesenchymal stem cells (UcMSCs) in vitro and vivo models of acute liver failure (ALF), as compared to single?drug treatment. Methods UcMSCs were extracted from umbilical cords and identified using electron microscopy and flow cytometry. Then the exosomes released from ucMSCs (UcMSCs?exo) were isolated through ultracentrifugation, and ucMSCs?exo were identified by nanoparticle tracking analysis (NTA), transmission electron microscopy, and Western blot for CD63 and CD9. Human hepatocyte cell line LO2 cells were stimulated by 100 ng/mL lipopolysaccharide (LPS) and 5 mmol/L adenosine triphosphate (ATP) to construct a vitro model of ALF. The cells were randomly divided into the following groups: a normal control group, a model group, a Yinchenhao decoction treatment group, a ucMSCs?exo treatment group, and a combination treatment group. The morphological changes of LO2 were observed under the electron microscope, the mortality of LO2 cells was detected by flow analysis, the expression of pyroptosis?related proteins Caspase?1 and Cleaved?Caspase?1 was detected by Western blot, and the expression of pyroptosis?related cytokines IL?1β and IL?18 was detected by ELISA. Then, fifty 6?8?week?old male C57BL/6 mice were randomly divided into the following groups: normal control group, model group, Yinchenhao decoction treatment group, ucMSCs?exo treatment group, and combined treatment group. Each group consisted of 10 mice. The ALF mouse model was constructed by intraperitoneal injection of 10 μg/kg LPS and 800 mg/kg D?galactosamine (D?GalN). After successful modeling, each group was given the appropriate drug interventions, and the ucMSCs?exo and combined treatment groups were injected with ucMSCs?exo interventions in the tail vein, and the drugs were administered continuously for 3 days. After 12 hours of intervention, serum specimens and liver tissues were collected from each group. The expression levels of ALT and AST were detected, and the liver tissues were stained with HE to observe the pathological changes. Results In the ALF cell model, hepatic cell death was inhibited in the Yinchenhao decoction treatment group, the ucMSCs?exo treatment group, and the combination group (P < 0.05). The rate of hepatic cell death in the combination treatment group was significantly reduced (P < 0.05). Initially, the study aimed to explore the effect on hepatic cell pyroptosis, and it was found that the combination treatment group could effectively suppress hepatocellular cell death more effectively compared to the single treatment groups. The combined treatment group significantly reduced the expression of the pyroptosis?related protein Cleaved?Caspase?1, as well as the cytokines IL?1β and IL?18 (P < 0.05). However, there was no statistically significant difference in the expression of Caspase?1 (P > 0.05). In the vivo model, the single Yinchenhao decoction treatment group, the ucMSCs?exo treatment group, and the combined treatment group were able to effectively reduce the serum ALT and AST levels compared to the model group(P < 0.05). Additionally, these treatments were found to attenuate hepatocellular necrosis and the infiltration of inflammatory cells. Compared to the group treated with only Yinchenhao decoction or only ucMSCs?Exo, the group that received combined treatment showed a greater decrease in serum ALT and AST levels. Additionally, there was a reduction in the infiltration of inflammatory cells and the extent of cell death in the liver tissues (P < 0.05). Conclusions The combination of Yinchenhao decoction and ucMSCs?exo demonstrated a significantly better hepatoprotective effect in the ALF vivo model compared to the individual treatments of Yinchenhao decoction or ucMSCs?exo alone. Furthermore, this combination treatment was able to effectively inhibit hepatocyte pyroptosis.

Key words: acute liver failure, Yinchenhao decoction, umbilical cord mesenchymal stem cells, hepatocyte pyroptosis, exosomes

中图分类号: