实用医学杂志 ›› 2024, Vol. 40 ›› Issue (9): 1251-1256.doi: 10.3969/j.issn.1006-5725.2024.09.012

• 临床研究 • 上一篇    下一篇

CR假体与PS假体治疗膝骨性关节炎的效果比较

王上增1,2,张北2,王禛2,马尚2,阮张德阳2,殷志颖2,朱云麒2,胡昆鹏2,程韶1,2()   

  1. 1.河南省中医院(河南中医药大学第二附属医院)关节科 (郑州 450002 )
    2.河南中医药大学 (郑州 450046 )
  • 收稿日期:2023-11-27 出版日期:2024-05-10 发布日期:2024-05-15
  • 通讯作者: 程韶 E-mail:chengshao4476@163.com
  • 基金资助:
    河南省中医药科学研究专项课题项目(2019ZY2035);河南省高校科技创新团队项目(24IRTSTHN040)

Comparison of the effects of CR and PS prostheses in the treatment of knee osteoarthritis

Shangzeng WANG1,2,Bei ZHANG2,Zhen WANG2,Shang MA2,Deyang RUANGZHANG2,Zhiying YIN2,Yunqi ZHU2,Kunpeng HU2,Shao CHENG1,2()   

  1. Department of Orthopaedics,He′nan Province Hospital of Chinese Medicine (the Second Affiliated Hospital of He′nan University of TCM),Zhengzhou 450002,China
    *.He′nan University of Chinese Medicine,Zhengzhou 450046,China
  • Received:2023-11-27 Online:2024-05-10 Published:2024-05-15
  • Contact: Shao CHENG E-mail:chengshao4476@163.com

摘要:

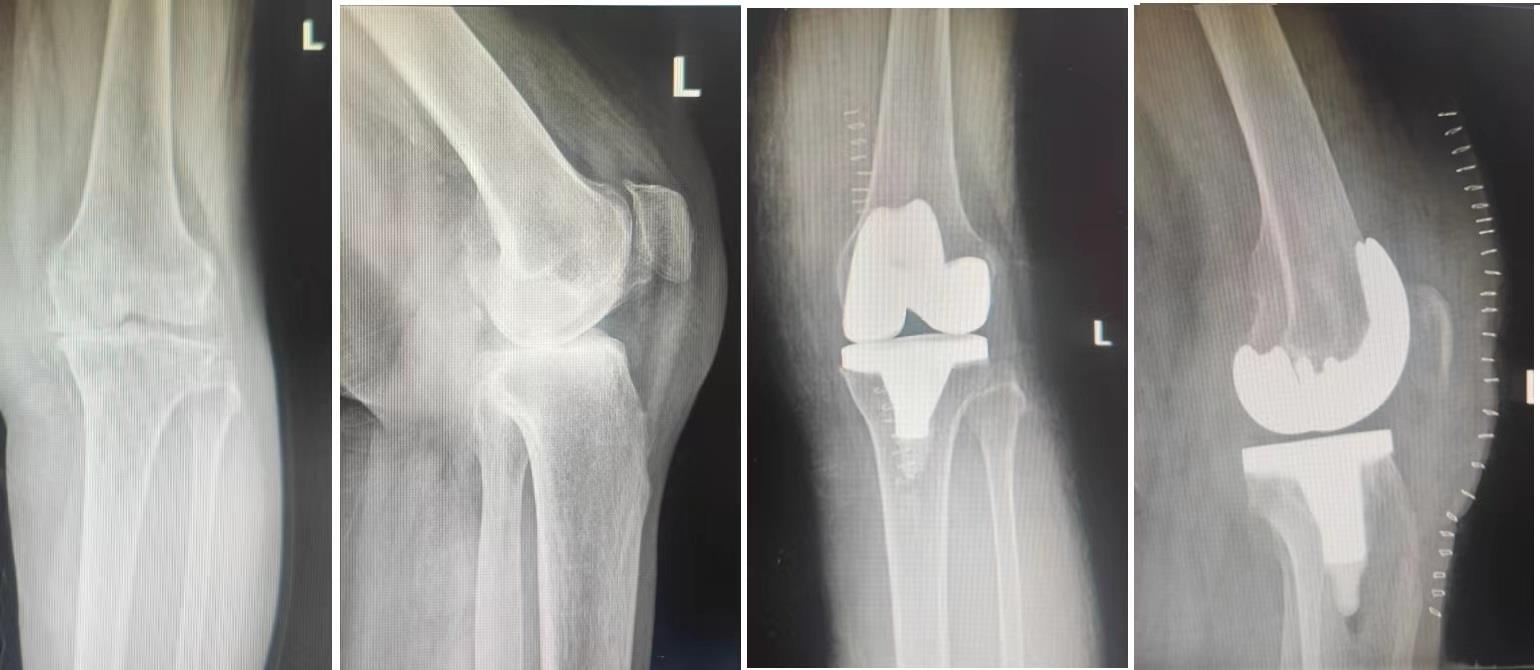
目的 比较CR假体与PS假体在人工膝关节置换术后应用效果。 方法 随机选取2021年6月至2022年6月在我科收治且符合选择标准的膝骨性关节炎患者64例,随机分为观察组和对照组(n = 32)。观察组使用CR假体实施TKA,对照组使用PS假体实施TKA。记录两组患者的手术时间、术后引流量、手术前后HGB差值、术后住院时间,术后7 d、14 d、45 d、3个月、1年膝关节ROM、VAS评分、HSS评分、膝关节最大前后向位移,并定期复查X线片。 结果 两组患者在手术时间、术后住院时间、VAS评分、膝关节最大前后向位移方面相当;和对照组相比,观察组术后引流量明显更少,差异有统计学意义(P < 0.05);和对照组相比,观察组在HGB差值上明显更低,差异有统计学意义(P < 0.05);手术之前两组患者ROM、HSS评分无明显差异,和观察组比较,术后7 d、14 d、45 d时对照组ROM以及HSS评分更高,差异有统计学意义(P < 0.05),术后3个月时,两组ROM、HSS评分相当,术后6个月、1年时观察组的ROM、HSS评分明显更高,差异有统计学意义(P < 0.05)。 结论 CR假体在手术失血量和术后引流量方面优于PS假体,可以降低手术风险,两种假体在术后均可获得良好的膝关节稳定性,而PS假体早期临床效果较好,CR假体长期临床效果更优。

关键词: 膝关节, 膝骨性关节炎, 全膝关节表面置换术, PS假体, CR假体

Abstract:

Objective To compare the effect of posterior cruciate ligament retaining (CR) and posterior cruciate substituting (PS) prosthesis in knee arthroplasty. Methods 64 patients with knee osteoarthritis were admitted to our department from June 2021 to June 2022 and whom met the selection criteria were randomly selected and divided into observation group and control group (n = 32). CR prosthesis was used in the observation group, and PS prosthesis was used in the control group. Operation time, postoperative drainage volume, difference of hemoglobin (HGB) before and after operation, postoperative hospital stay, postoperative range of motion at 7 d, 14 d, 45 d, 3 months and 1 year were recorded. ROM, visual analog pain Scale (VAS), Hospital for special surgery (HSS) score, and maximum forward and backward displacement of knee joint and the regular radiographs were also recorded, too. Results The two groups were similar in terms of operation time, postoperative hospital stay, postoperative VAS score and maximum anterior and posterior displacement of knee joint, with P values greater than 0.05, which had no statistical significance. The postoperative drainage volume in the observation group was significantly less than that in the control group, with statistical significance (P < 0.05). The HGB difference of observation group was significantly lower than that of control group, with statistical significance (P < 0.05). There was no statistically significant difference in ROM and HSS scores between the two groups before surgery; the ROM and HSS scores of the control group at 7, 14 and 45 days after surgery was better than that of the observation group, with statistical significance (P < 0.05); the ROM and HSS scores of the two groups at 3 months after surgery was not statistically significant. The ROM and HSS scores in the observation group was better than that in the control group at 6 months and 1 year after operation, and the difference was statistically significant (P < 0.05). Conclusions CR prosthesis is superior to PS prosthesis in terms of intraoperative blood loss and post?operative drainage volume, which can reduce surgical risk. Both kinds of prosthesis can achieve good knee stability after surgery, while PS prosthesis has better early clinical effect, while CR prosthesis has better long?term clinical effect.

Key words: knee joint, knee osteoarthritis, total knee arthroplasty, PS prosthesis, CR prosthesis

中图分类号: