实用医学杂志 ›› 2024, Vol. 40 ›› Issue (9): 1257-1261.doi: 10.3969/j.issn.1006-5725.2024.09.013

• 临床研究 • 上一篇    下一篇

X线下胫骨平台与股骨远端解剖学测量关系在Schatzker IV-C胫骨平台骨折术后临床疗效的评估价值

刘雨龙,宁仁德(),方闰,郑翰林,张成楠,周道斌,周祖龙   

  1. 安徽医科大学第三附属医院骨科 (合肥 230001 )
  • 收稿日期:2023-09-21 出版日期:2024-05-10 发布日期:2024-05-15
  • 通讯作者: 宁仁德 E-mail:nrd1972@outlook.com
  • 基金资助:
    2022年度安徽省临床重点专科建设项目;安徽医科大学第三附属医院基础与临床合作研究提升计划(2022sfy007)

Radiographic anatomical ratios between tibial plateau and distal femur and the clinical value in evaluating reduction of Schatzker IV⁃C tibial plateau fractures

Yulong LIU,Rende NING(),Run FANG,Hanlin ZHENG,Chengnan ZHANG,Daobin ZHOU,Zulong. ZHOU   

  1. Department of Orthopedics,the Third Affiliated Hospital,Anhui Medical University,Hefei 230001,China
  • Received:2023-09-21 Online:2024-05-10 Published:2024-05-15
  • Contact: Rende NING E-mail:nrd1972@outlook.com

摘要:

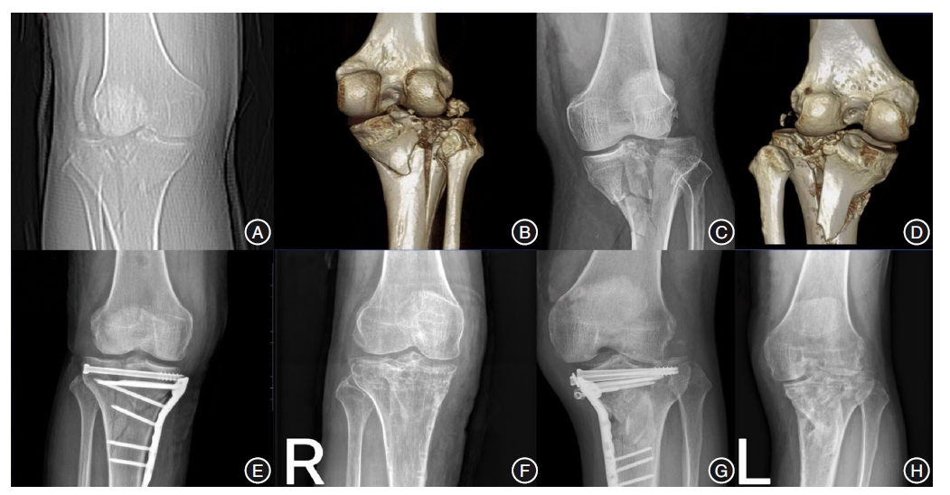
目的 测量X线下胫骨平台与股骨远端的解剖学关系,并评估Schatzker IV-C胫骨平台骨折术中平台宽度复位情况对术后临床疗效的影响。 方法 2012年8月至2022年8月,在我院收集207例标准中立位正常成年人膝关节X线(未骨折组)及60例Schatzker IV-C型骨折患者术前及术后即刻膝关节前后位X线(骨折组)。分别测量两组胫骨近端关节宽度(TAW)、股骨远端髁宽度(DFW)及股骨远端关节宽度(FAW),计算TAW/DFW和TAW/FAW比值,定义骨折组术后即刻X线TAW介于FAW与DFW之间为复位良好组,反之为复位不良组,并在术后1年对两组进行膝关节美国特种外科医院评分(HSS)。 结果 在未骨折组中,TAW/DFW和TAW/FAW比值无明显性别或侧别差异(P > 0.05),而骨折组术前与未骨折组TAW/DFW和TAW/FAW比值差异有统计学意义(P < 0.05)。骨折组中复位良好组与复位不良组的术后1年HSS评分比较差异有统计学意义(P < 0.05)。 结论 正常成年人胫骨平台与股骨远端的X线下解剖学关系相对恒定,可为Schatzker IV-C骨折术中平台宽度复位提供影像学参考,若术后复位后X线TAW/DFW> 1或TAW/FAW < 1提示复位不佳,则预示术后膝关节功能恢复不良。

关键词: Schatzker IV-C, X线, 骨折复位, 膝关节功能

Abstract:

Objective To investigate the radiographic anatomical relationship between tibial plateau and distal femur and evaluate the impact of reset tibial plateau of various widths after reduction of the Schatzker IV-C tibial plateau fractures on postoperative outcomes. Methods We collected and reviewed the X-ray images of the normal knees of 207 standard neutrally-positioned adults (non-fracture group) and pre-and post-operative immediate anterior-posterior X-ray images of the knees of 60 patients with Schatzker IV-C fractures (fracture group) in our hospital from August 2012 to August 2022. We measured the proximal tibial joint width (TAW), distal femoral width (DFW), and distal femoral joint width (FAW) in both groups and calculated the TAW/DFW and TAW/FAW ratios. In the fracture group, the cases with TAW between FAW and DFW were assigned to the well-reduced group, while those with TAW outside this range between FAW and DFW to the poorly-reduced group. Both groups were assessed using the Hospital for Special Surgery knee score (HSS) one year after operation. Results In the non-fracture group, there were no significant differences in gender or affected side in terms of TAW/DFW and TAW/FAW ratios (P > 0.05), while in the fracture group, there were statistically significant differences in the TAW/DFW and TAW/FAW ratios compared to the non-fracture group (P < 0.05). There was a statistically significant difference in the one-year postoperative HSS scores between the well-reduced and poorly-reduced groups in the fracture group (P < 0.05). Conclusion The radiographic anatomical relationship between the tibial plateau and distal femur in normal adults is relatively constant, providing a radiological reference for resetting the tibial plateau to a satisfactory width during reduction of Schatzker IV-C fractures. TAW/DFW > 1 or TAW/FAW < 1 indicates a poor reduction of the fracture and predicts poor postoperative recovery of knee joint function.

Key words: Schatzker IV-C, X-ray, reduction of fracture, knee joint function

中图分类号: