实用医学杂志 ›› 2024, Vol. 40 ›› Issue (2): 202-206.doi: 10.3969/j.issn.1006-5725.2024.02.013

• 临床研究 • 上一篇    下一篇

弓状韧带上腰方肌阻滞对机器人辅助前列腺癌根治术老年患者术后镇痛及炎症反应的影响

殷国江,黎笔熙,魏蓬骁,颜玉琴,宋晓阳,李坤()   

  1. 中国人民解放军中部战区总医院麻醉科 (武汉 430070 )
  • 收稿日期:2023-08-22 出版日期:2024-01-25 发布日期:2024-03-06
  • 通讯作者: 李坤 E-mail:likun01001@163.com
  • 基金资助:
    湖北省卫生健康委科研项目(WJ2021M220)

Effect of anterior quadratus lumborum block at the lateral supra⁃arcuate ligament on postoperative analgesia and inflammatory response in elderly patients undergoing robot⁃assisted radical prostatectomy

Guojiang YIN,Bixi LI,Pengxiao WEI,Yuqin YAN,Xiaoyang SONG,Kun LI()   

  1. Department of Anesthesiology,General Hospital of Central Theater Command,Wuhan 430070,China
  • Received:2023-08-22 Online:2024-01-25 Published:2024-03-06
  • Contact: Kun LI E-mail:likun01001@163.com

摘要:

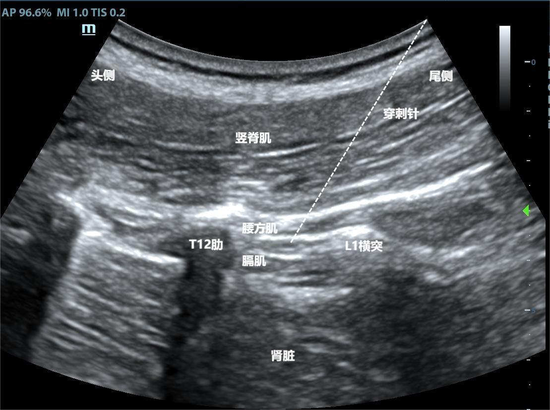
目的 探讨超声引导下弓状韧带上腰方肌阻滞对机器人辅助腹腔镜前列腺癌根治术老年患者术后镇痛及炎症反应的影响。 方法 选择2022年6月至2023年6月择期行机器人辅助腹腔镜前列腺癌根治术老年患者60例,随机分为超声引导弓状韧带上腰方肌阻滞联合全麻组(观察组,n = 30)和单纯全麻组(对照组,n = 30),两组患者术后均使用静脉自控镇痛。记录镇痛泵首次按压时间、有效按压次数及补救镇痛次数;记录术后2、12、24及48 h静息及咳嗽时VAS评分;记录术前1 d、术后2 h、1 d及3 d的白细胞介素-6(IL-6)及系统免疫炎症指数(SII);记录肛门排气时间、术后住院时间及不良反应发生情况。 结果 观察组镇痛泵首次按压时间显著长于对照组,有效按压次数及补救镇痛次数少于对照组(P < 0.05);观察组术后2、12、24及48 h静息及咳嗽时VAS评分低于对照组(P < 0.05);与术前1 d比较,两组患者术后2 h、1 d及3 d的IL-6及SII均升高,但观察组低于对照组(P < 0.05);与对照组比较,观察组肛门排气时间和术后住院时间更短,不良反应发生率更少(P < 0.05)。 结论 超声引导弓状韧带上腰方肌阻滞可为机器人辅助腹腔镜前列腺癌根治术老年患者提供更好的术后镇痛,降低炎症反应,加速术后恢复。

关键词: 弓状韧带, 腰方肌阻滞, 前列腺癌根治术, 老年患者, 术后镇痛, 炎症反应

Abstract:

Objective To investigate the effect of ultrasound?guided anterior quadratus lumborum block at lateral supra?arcuate ligament on postoperative analgesia and inflammation response in elderly patients undergoing robot?assisted laparoscopic radical prostatectomy. Methods A total of 60 elderly patients who had undergone robot?assisted laparoscopic radical prostatectomy from June 2022 to June 2023 were randomly divided into a group of ultrasound?guided anterior quadratus lumborum block at lateral supra?arcuate ligament combined with general anesthesia (observation group, n = 30) and a general anesthesia group (control group, n = 30). Both groups received patient?controlled intravenous analgesia after surgery. The first compression time of an analgesic pump and the numbers of effective compression and remedial analgesia were recorded. The VAS scores at postsurgical hours 2, 12, 24, and 48 during rest and coughing were recorded. Interleukin?6 (IL?6) and systemic immunoinflammatory index (SII) at one day before surgery and two hours, one day and three days after surgery were recorded. Anal exhaust time, length of postoperative hospital stay and occurrence of adverse reactions were recorded. Results The observation group, as compared with the control group, had significantly longer first compression time of an analgesic pump and had fewer numbers of effective compressions and remedial analgesic administrations (P < 0.05). The VAS scores during rest and coughing in the observation group were lower than those in the control group at postsurgical hours 2, 12, 24, and 48(P < 0.05). As compared with one day before surgery, both IL?6 and SII in the two groups increased at 2 hours, 1, and 3 days after surgery, but the changes in the observation group were lower than those in the control group (P < 0.05). As compared with the control group, the observation group had shorter anal exhaust time and length of postoperative hospital stay, and a lower incidence of adverse reactions (P < 0.05). Conclusions Ultrasound?guided anterior quadratus lumborum block at lateral supra?arcuate ligament can provide better postoperative analgesia, reduce inflammatory response and accelerate postoperative recovery in elderly patients undergoing robot?assisted laparoscopic radical prostatectomy.

Key words: arcuate ligament, quadratus lumborum block, radical prostatectomy, elderly patients, postoperative analgesia, inflammation response

中图分类号: