The Journal of Practical Medicine ›› 2025, Vol. 41 ›› Issue (9): 1319-1326.doi: 10.3969/j.issn.1006-5725.2025.09.007

• Basic Research • Previous Articles    

Protective effect of LncRNA MEG3 on diabetic retinopathy in rats by regulating COX⁃2/PGE2/VEGF signaling pathway

Mei CHEN,Zongzhi LI,Xuewei QIN,Limin WANG,LI ZHENG   

  1. Department of Ophthalmology,The First Affiliated Hospital of Guizhou University of Traditional Chinese Medicine,Guiyang 550001,Guizhou,China
  • Received:2025-02-10 Online:2025-05-10 Published:2025-05-20

Abstract:

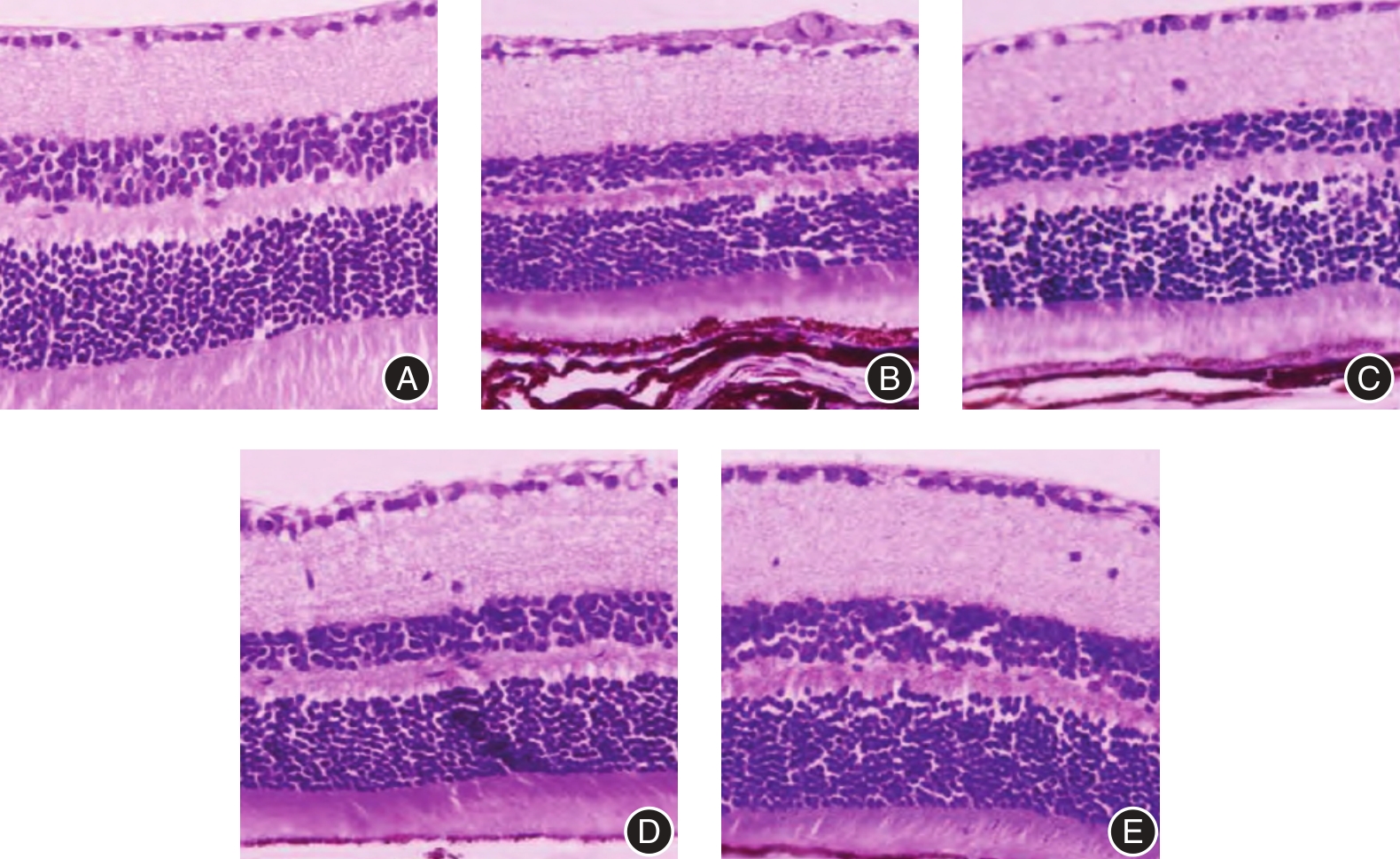
Objective To investigate the protective effect of LncRNA MEG3 on the retina in early-stage diabetic rats through regulation of the COX-2/PGE2/VEGF signaling pathway. Methods 50 male SD rats of SPF grade were selected for the study. Among them, 10 rats were assigned to the control group, while 40 rats were used to establish diabetic retinopathy models. A total of 32 rats successfully underwent modeling and were subsequently divided into four groups (n = 8 per group): model group, negative control group, MEG3 overexpression group, and MEG3 overexpression + COX-2 inhibitor group. Histopathological changes, vascular permeability, glucose and lipid metabolism, inflammatory factors, oxidative stress indices, PGE2 levels, as well as the relative mRNA and protein expression levels of COX-2 and VEGF were evaluated in each group. Results Compared with the control group, HDL-C, CAT, GSH-PX, and SOD levels were significantly decreased, whereas the mRNA and protein expression levels of vascular permeability, TG, TC, LDL-C, IL-6, IL-1β, TNF-α, MDA, PGE2, COX-2, and VEGF were significantly increased in the model group (P < 0.05). Compared with the negative control group, HDL-C, CAT, GSH-PX, and SOD levels were significantly increased in the MEG3 overexpression group, while the mRNA and protein expression levels of vascular permeability, TG, TC, LDL-C, IL-6, IL-1β, TNF-α, MDA, PGE2, COX-2, and VEGF were significantly decreased (P < 0.05). Compared with the MEG3 overexpression group, HDL-C, CAT, GSH-PX, and SOD levels were further increased in the MEG3 overexpression + COX-2 inhibitor group, and the mRNA and protein expression levels of vascular permeability, TG, TC, LDL-C, IL-6, IL-1β, TNF-α, MDA, PGE2, COX-2, and VEGF were further decreased (P < 0.05). Conclusion LncRNA MEG3 is capable of regulating the COX-2/PGE2/VEGF pathway, enhancing glucose and lipid metabolism in rats, suppressing the expression of inflammatory factors, attenuating stress responses, and alleviating diabetic retinopathy.

Key words: diabetic retinopathy, long non-coding rna maternal expression gene 3, retinal cyclooxygenase-2/prostaglandin e2/vascular endothelial growth factor signaling pathway, vascular permeability

CLC Number: