实用医学杂志 ›› 2024, Vol. 40 ›› Issue (16): 2270-2276.doi: 10.3969/j.issn.1006-5725.2024.16.012

• 基础研究 • 上一篇    下一篇

泛素特异性蛋白酶20、低氧诱导因子1α在乳腺癌中的表达变化及意义

方玲玉1,2,3,胡璟骅1,2,3,文俊峰2,3,4,韩诗琪1,2,3,王雅丽2,3,4,蒲卢兰1,2,3,李静佳2,3,4,杨懿1,2,3,邓世山1,2,3,侯令密2,3,4,周方方1,2,3()   

  1. 1.川北医学院,基础医学与法医学研究所,(四川 南充 637100 )
    2.川北医学院,影像研究所 (四川南充 637100);川北医学院附属医院,(四川 南充 637100 )
    3.川北医学院,乳腺癌生物靶向研究室院士工作站,(四川 南充 637100 )
    4.川北医学院,甲乳外科,(四川 南充 637100 )
  • 收稿日期:2024-01-23 出版日期:2024-08-25 发布日期:2024-08-26
  • 通讯作者: 周方方 E-mail:841356070@qq.com
  • 基金资助:
    四川省科技创新苗子工程资助项目(MZGC20230045);2022年医学影像四川省重点实验室开放课题(MIKL202206);南充市科技局市校科技战略合作项目(20SXQT0052);川北医学院2022年度四川省基层卫生事业发展研究中心资助项目(SWFZ22-C-82);川北医学院2020年度校级科研发展计划项目(CBY20-QA-Z13)

Expression and significance of ubiquitin⁃specific proteases 20 and hypoxia inducible factor⁃1α in breast cancer

Lingyu FANG1,2,3,Jinghua HU1,2,3,Junfeng WEN2,3,4,Shiqi HAN1,2,3,Yali WANG2,3,4,Lulan PU1,2,3,Jingjia LI2,3,4,Yi YANG1,2,3,Shishan DENG1,2,3,Lingmi HOU2,3,4,Fangfang. ZHOU1,2,3()   

  1. *.Institute of Basic Medicine and Forensic Medicine,North Sichuan Medical College,Nanchong 637100,China
    *.Imaging Institute of North Sichuan Medical College,Nanchong 637100,China
    *.Blogical Targeting Laboratory of Breast Cancer,Academician(Expert) Workstation,Afliated Hospital of North Sichuan Medical College,Nanchong 637100,China
  • Received:2024-01-23 Online:2024-08-25 Published:2024-08-26
  • Contact: Fangfang. ZHOU E-mail:841356070@qq.com

摘要:

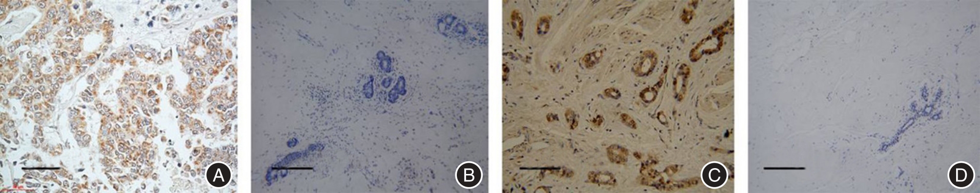
目的 探讨乳腺癌中泛素特异性蛋白酶20(ubiquitin-specific proteases 20, USP20)、低氧诱导因子1α(hypoxia inducible factor-1α, HIF-α)表达变化及意义。 方法 免疫组织化学及免疫荧光方法用于检测USP20与HIF-α阳性细胞的表达变化以及细胞定位,并分析它们之间的关系; shRNA-USP20慢病毒转染乳腺癌MDA-MB-231细胞构建乳腺癌MDA-MB-231 USP20过表达细胞系,siRNA-USP20构建乳腺癌MDA-MB-231USP20敲减细胞系,通过荧光定量PCR与Westem blot检测USP20基因及蛋白的过表达和敲减水平,并观察过表达以及敲减USP20前后 HIF-α基因和蛋白的表达变化。 结果 USP20与HIF-α在乳腺癌组织中的阳性表达率分别为69.62%(55/79)和 46.83%(37/79),而在邻近相对正常组织中的表达均为阴性,与邻近相对正常组织相比,乳腺癌组织中USP20与HIF-α阳性表达均显著增加,差异均有统计学意义(P < 0.01),USP20与HIF-α阳性表达均主要在乳腺癌组织细胞质中,少量在细胞核;且乳腺组织中USP20表达与HIF-1α表达呈正相关(P < 0.01);过表达USP20后HIF-α的mRNA 的表达不变,蛋白表达显著增加(P < 0.01)。敲减USP20后HIF-α mRNA表达轻微降低,但差异均无统计学意义(P > 0.05,而蛋白表达水平显著降低(P < 0.01)。 结论 乳腺癌中USP20和HIF-α表达均显著增加,且呈正相关关系,过表达USP20后HIF-α蛋白表达显著增加,敲减USP20后HIF-α蛋白表达显著降低,USP20可能通过影响HIF-α的表达进而促进乳腺癌发生发展。

关键词: 乳腺癌, 泛素特异性蛋白酶20, 低氧诱导因子1α, 病理特征

Abstract:

Objective To explore the changes and significane of USP20 and HIF-α expression in breast cancer. Methods Following transfection of shRNA-USP20 lentivirus into breast cancer MDA-MB-231 cells, the gene and protein expression levels of USP20 were detected using fluorescence quantitative PCR and Western Blot. Subsequently, the overexpression of USP20 was observed to determine its effect on HIF-α expression. Similarly, siRNA-USP20 was used to knock down USP20 in breast cancer MDA-MB-231 cells, followed by detection of gene and protein expression levels using fluorescence quantitative PCR and Western Blot. The subsequent changes in HIF-α expression were then examined. Rusults The positive expression rates of USP20 and HIF-α in breast cancer tissues were 69.6% and 46.83%, respectively, while they were negatively expressed in the adjacent normal tissues, with statistically significant differences (P < 0.01). The positive expressions of USP20 and HIF-α were predominantly observed in the cytoplasm of breast cancer tissue, with a smaller amount present in the nucleus. There was a significant positive correlation between USP20 and HIF-α in breast cancer. Following transfection of shRNA-USP20 lentivirus into MDA-MB-231 cells, both the protein and gene expression levels of USP20 significantly increased (P < 0.01). Over-expression of USP20 did not affect HIF-α mRNA levels but led to a significant increase in HIF-α protein expression (P < 0.01). Conversely, siRNA-USP20 interference resulted in a significant decrease in both the protein and gene expression levels of USP20 (P < 0.01), without affecting HIF-α mRNA levels; however, it caused a notable reduction in HIF-α protein expression (P < 0.01). Conclusion The expression of USP20 exhibited a significant positive correlation with HIF-α in breast cancer. Overexpression of USP20 led to a substantial increase in HIF-α protein expression, while knock-down of the USP20 gene resulted in a significant decrease in HIF-α protein levels. Therefore, it can be inferred that USP20 may exert its influence on the development of breast cancer through modulation of HIF-α expression, thereby providing crucial experimental evidence for clinical treatment, prognosis, and further investigations.

Key words: breast cancer, ubiquitin-specific proteases 20, hypoxia inducible factor-1α, pathological features

中图分类号: