实用医学杂志 ›› 2024, Vol. 40 ›› Issue (15): 2148-2153.doi: 10.3969/j.issn.1006-5725.2024.15.018

• 医学检查与临床诊断 • 上一篇    下一篇

MRI-DWI联合超声声衰减成像诊断脂肪肝背景下< 2 cm局灶结节性病变的价值

吕悦,路会景,张娟娟   

  1. 河南大学淮河医院超声医学科 (河南 开封 475000 )
  • 收稿日期:2024-02-01 出版日期:2024-08-10 发布日期:2024-07-30
  • 基金资助:
    河南省医学科技攻关计划(联合共建)项目(LHGJ20190540)

Value of MRI-DWI combined with attenuation imaging in diagnosis of focal nodular lesions < 2 cm in fatty liver

Yue LÜ,Hujing LU,Juanjuan. ZHANG   

  1. Department of Ultrasound Medicine,Huaihe Hospital,He′nan University,Kaifeng 475000,China
  • Received:2024-02-01 Online:2024-08-10 Published:2024-07-30

摘要:

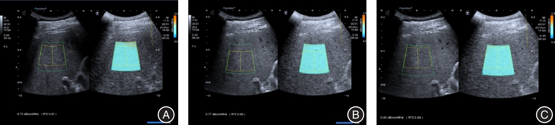
目的 探讨磁共振成像-弥散加权成像(MRI-DMI)联合超声声衰减成像(ATI)诊断脂肪肝背景下< 2 cm局灶结节性病变的价值。 方法 回顾性分析2022年6月至2023年6月河南大学淮河医院收治的68例脂肪肝合并< 2 cm局灶结节性病变的临床资料,所有患者均接受MRI检查、病理学检查与ATI检查。根据脂肪肝病变程度不同将68例患者分为重度组(n = 24)、中度组(n = 27)、轻度组(n = 17)。对比不同局灶节性病变患者的表观扩散系数(ADC)值、声衰减系数(AC)值与临床资料,对比不同脂肪肝病变程度患者的ADC值、AC值与临床资料,采用Pearson分析相关性,分析MRI-DWI联合AC值对脂肪肝合并< 2 cm局灶结节性病变为恶性的诊断价值。 结果 病理学诊断结果显示,68例患者中,41例为良性结节,27例为恶性结节。良性结节组与恶性结节组低密度脂蛋白胆固醇(LDL-C)、年龄、三酰甘油(TG)、性别、总胆固醇(TC)、高密度脂蛋白胆固醇(HDL-C)对比差异无统计学意义(P > 0.05)。轻度组、中度组、重度组TG、年龄、HDL-C、性别、TC、LDL-C比较差异无统计学意义(P > 0.05)。恶性结节组不同b值下的ADC值低于良性结节组(P < 0.05),恶性结节组AC值高于良性结节组(P < 0.05)。重度组不同b值下的ADC值低于轻度组、中度组(P < 0.05),中度组不同b值下的ADC值低于轻度组(P < 0.05),重度组AC值高于轻度组、中度组(P < 0.05),中度组AC值高于轻度组(P < 0.05)。不同b值下的ADC值与脂肪肝病变程度均呈负相关(P < 0.05),与TG、HDL-C、TC及LDL-C无关(P > 0.05);AC值与脂肪肝病变程度呈正相关(P < 0.05),与HDL-C呈负相关(P < 0.05),与TG、TC及LDL-C无关(P > 0.05)。MRI-DWI、AC值及二者联合诊断脂肪肝合并< 2 cm局灶结节性病变为恶性的曲线下面积(AUC)值分别为0.775、0.773、0.909(P < 0.05),且二者联合的AUC值更高(P < 0.05)。 结论 MRI-DWI、ATI在鉴别诊断脂肪肝背景下< 2 cm局灶结节性病变良恶性中具有重要价值,且二者联合具有更高的诊断价值。

关键词: 磁共振成像-弥散加权成像, 超声声衰减成像, 脂肪肝背景, 局灶性结节性病变, 诊断价值

Abstract:

Objective To investigate the value of magnetic resonance image-diffusion weighted imaging (MRI-DMI) combined with attenuation imaging (ATI) in the diagnosis of focal nodular lesions < 2 cm in the background of fatty liver. Methods The clinical data of 68 patients with fatty liver complicated with focal nodular lesions < 2 cm were retrospectively analyzed from June 2022 to June 2023 in Huaihe Hospital of Henan University. All patients underwent MRI, pathology and ATI examination. According to the degree of fatty liver disease, 68 patients were divided into severe group (n = 24), moderate group (n = 27) and mild group (n = 17). The apparent diffusion coefficient (ADC) and acoustic attenuation coefficient (AC) values of patients with different focal lesions were compared with clinical data, and the ADC values and AC values of patients with different fatty liver lesions were compared with clinical data, and the correlation was analyzed by Pearson. To analyze the value of MRI-DWI combined with AC value in the diagnosis of malignant fatty liver disease with focal nodular disease < 2 cm. Results Pathological diagnosis showed that 41 of the 68 patients were benign and 27 were malignant. There were no significant differences in low density lipoprotein cholesterol (LDL-C), age, triglyceride (TG), sex, total cholesterol (TC) and high density lipoprotein cholesterol (HDL-C) between benign nodule group and malignant nodule group (P > 0.05). There was no difference in TG, age, HDL-C, sex, TC and LDL-C among mild, moderate and severe groups (P > 0.05). The ADC value of malignant nodule group was lower than benign nodule group under different b values (P < 0.05), and the AC value of malignant nodule group was higher than that of benign nodule group (P < 0.05). ADC value under different b values in the severe group was lower than mild and moderate groups (P < 0.05), ADC value under different b values in the moderate group was lower than mild group (P < 0.05), AC value in the severe group was higher than mild and moderate groups (P < 0.05), and AC value in the moderate group was higher than mild group (P < 0.05). ADC values at different b values were negatively correlated with the degree of fatty liver disease (P < 0.05), but not with TG, HDL-C, TC and LDL-C (P > 0.05). AC was positively correlated with the degree of fatty liver disease (P < 0.05), negatively correlated with HDL-C (P < 0.05), but not with TG, TC and LDL-C (P > 0.05). The area under the curve (AUC) values of MRI-DWI, AC and their combination in the diagnosis of fatty liver complicated with focal nodule disease < 2 cm into malignancy were 0.775, 0.773 and 0.909, respectively (P < 0.05), and the AUC value of the combination was higher (P < 0.05). Conclusion MRI-DWI and ATI have important value in the differential diagnosis of benign and malignant lesions of focal nodular lesions < 2 cm in the background of fatty liver, and the combination of MRI-DWI and ATI has higher diagnostic value.

Key words: magnetic resonance image-diffusion weighted imaging, attenuation imaging, fatty liver background, focal nodular lesions, diagnostic value

中图分类号: