1 |
钟兴明. 关于复发性流产诊治中争议问题的思考[J]. 实用医学杂志,2022,38(9):1045-1050. doi:10.3969/j.issn.1006-5725.2022.09.001
doi: 10.3969/j.issn.1006-5725.2022.09.001
|
2 |
SAXTORPH M H, HALLAGER T, PERSSON G, et al. Assessing endometrial receptivity after recurrent implantation failure: a prospective controlled cohort study[J]. Reprod Biomed Online,2020,41(6):998-1006. doi:10.1016/j.rbmo.2020.08.015
doi: 10.1016/j.rbmo.2020.08.015
|
3 |
DE ZIEGLER D, FRYDMAN R F. Recurrent pregnancy losses, a lasting cause of infertility[J]. Fertil Steril,2021,115(3):531-532. doi:10.1016/j.fertnstert.2020.12.004
doi: 10.1016/j.fertnstert.2020.12.004
|
4 |
STEVENS B L, HABETS D, DEN HARTOG J, et al. Endometrial factors in the implantation failure spectrum: protocol of a MUltidisciplinary observational cohort study in women with Repeated Implantation failure and recurrent Miscarriage (MURIM Study)[J]. BMJ Open,2022,12(6):e56714. doi:10.1136/bmjopen-2021-056714
doi: 10.1136/bmjopen-2021-056714
|
5 |
CAI S, DAI S, LIN R, et al. The effectiveness and safety of intrauterine infusion of autologous regulatory T cells (Tregs) in patients with recurrent pregnancy loss and low levels of endometrial FoxP3(+) cells: A retrospective cohort study[J]. Am J Reprod Immunol,2023,90(2):e13735. doi:10.1111/aji.13735
doi: 10.1111/aji.13735
|
6 |
ROBERTSON S A, MOLDENHAUER L M, GREEN E S, et al. Immune determinants of endometrial receptivity: a biological perspective[J]. Fertil Steril,2022,117(6):1107-1120. doi:10.1016/j.fertnstert.2022.04.023
doi: 10.1016/j.fertnstert.2022.04.023
|
7 |
中华医学会妇产科学分会产科学组. 复发性流产诊治的专家共识[J]. 中华妇产科杂志,2016,51(1):3-9. doi:10.3760/cma.j.issn.0529-567x.2016.01.002
doi: 10.3760/cma.j.issn.0529-567x.2016.01.002
|
8 |
李静,裴建赢,刘倩,等. 肿瘤坏死因子-α基因-环境交互作用与不明原因复发性流产易感性的关系[J]. 实用医学杂志,2022,38(22):2822-2827. doi:10.3969/j.issn.1006-5725.2022.22.011
doi: 10.3969/j.issn.1006-5725.2022.22.011
|
9 |
李一鸣,周冉,孟露露,等. 染色体微阵列分析技术在复发性自然流产遗传学诊断中的应用[J]. 现代妇产科进展,2023,32(1):51-56.
|
10 |
TEMPEST N, BATCHELOR E, HILL C J, et al. Anterior gradient protein 3 and S100 calcium-binding protein p levels in different endometrial epithelial compartments may play an important role in recurrent pregnancy failure[J]. Int J Mol Sci,2021,22(8):3835. doi:10.3390/ijms22083835
doi: 10.3390/ijms22083835
|
11 |
潘惠娟,张春芳,杨凤娜,等. 不明原因复发性流产再次妊娠早孕期患者MCV、HCG、IFN-γ/IL-10比值与妊娠结局的关系研究[J]. 现代生物医学进展,2023,23(5):898-903.
|
12 |
BRAUN A S, VOMSTEIN K, REISER E, et al. NK and T Cell subtypes in the endometrium of patients with recurrent pregnancy loss and recurrent implantation failure: implications for pregnancy success[J]. J Clin Med,2023,12(17):5585. doi:10.3390/jcm12175585
doi: 10.3390/jcm12175585
|
13 |
方紫璇,余楠. 不明原因复发性流产中Th17/Treg免疫平衡机制研究进展[J]. 中国免疫学杂志,2021,37(21):2657-2663. doi:10.3969/j.issn.1000-484X.2021.21.017
doi: 10.3969/j.issn.1000-484X.2021.21.017
|
14 |
张维平,王文文,张调平,等. 主动免疫治疗对原因不明性复发性流产患者Treg/Th17免疫平衡的影响[J]. 中国妇产科临床杂志,2021,22(3):249-251.
|
15 |
WANG W, FENG D, LING B. Biologia Futura: endometrial microbiome affects endometrial receptivity from the perspective of the endometrial immune microenvironment[J]. Biol Futur,2022,73(3):291-300. doi:10.1007/s42977-022-00134-3
doi: 10.1007/s42977-022-00134-3
|
16 |
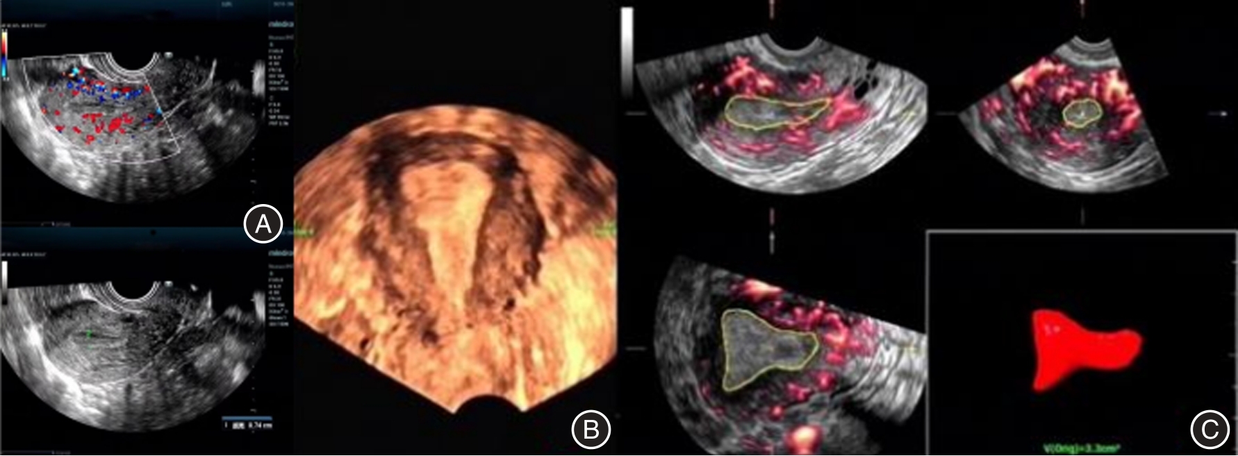
吴新荣,郑颖. 超声多模态评分、血流参数在不明原因复发性自然流产患者体内的变化及联合预测价值[J]. 影像科学与光化学,2021,39(4):538-543. doi:10.7517/issn.1674-0475.201211
doi: 10.7517/issn.1674-0475.201211
|
17 |
焦岩,水旭娟,余彩茶,等. 超声多模态评分在复发性自然流产患者子宫内膜容受性评价中的应用研究[J]. 中国全科医学,2020,23(3):299-304.
|
18 |
MOUANNESS M, ALI-BYNOM S, JACKMAN J, et al. Use of intra-uterine injection of platelet-rich plasma (PRP) for endometrial receptivity and thickness: a literature review of the mechanisms of action[J]. Reprod Sci,2021,28(6):1659-1670. doi:10.1007/s43032-021-00579-2
doi: 10.1007/s43032-021-00579-2
|
19 |
RUSSELL S J, KWOK Y, NGUYEN T, et al. Autologous platelet-rich plasma improves the endometrial thickness and live birth rate in patients with recurrent implantation failure and thin endometrium[J]. J Assist Reprod Genet,2022,39(6):1305-1312. doi:10.1007/s10815-022-02505-0
doi: 10.1007/s10815-022-02505-0
|
20 |
SILVA M R, HELIO O A, VAZ O D, et al. The predictive value of serial serum estradiol and serial endometrial volume on endometrial receptivity on assisted reproductive technology cycles[J]. BMC Pregnancy Childbirth,2021,21(1):184. doi:10.1186/s12884-021-03672-1
doi: 10.1186/s12884-021-03672-1
|
21 |
MARTINS R S, OLIANI A H, OLIANI D V, et al. Continuous endometrial volumetric analysis for endometrial receptivity assessment on assisted reproductive technology cycles[J]. BMC Pregnancy Childbirth,2020,20(1):663. doi:10.1186/s12884-020-03372-2
doi: 10.1186/s12884-020-03372-2
|
22 |
郑浙悦,范霜月. 彩色多普勒超声检测子宫动脉血流动力学在不明原因复发性流产中的临床意义[J]. 中国妇幼保健,2020,35(11):2135-2137.
|
23 |
郑琦,钟素琴,朱丽君. 免疫型复发性流产患者血清封闭抗体、TPOAb及ANA的临床治疗变化[J]. 分子诊断与治疗杂志,2022,14(12):2090-2093,2097. doi:10.3969/j.issn.1674-6929.2022.12.017
doi: 10.3969/j.issn.1674-6929.2022.12.017
|
24 |
ABDELRAHIM A, ALKHOLY E, BADAWIE A G. CD4+ and CD8+ preimplantation endometrial population in women with unexplained recurrent miscarriage[J]. Prz Menopauzalny,2023,22(1):37-41. doi:10.5114/pm.2023.126438
doi: 10.5114/pm.2023.126438
|
25 |
程虹,符爱贞,周娃娃. 原因不明复发性流产患者再次妊娠早孕期HMGB1、单核细胞上Tim-3、PD-1表达与免疫失衡的关系[J]. 中国性科学,2023,32(5):68-72. doi:10.3969/j.issn.1672-1993.2023.05.018
doi: 10.3969/j.issn.1672-1993.2023.05.018
|