实用医学杂志 ›› 2024, Vol. 40 ›› Issue (4): 483-489.doi: 10.3969/j.issn.1006-5725.2024.04.008

• 基础研究 • 上一篇    下一篇

LncRNA GNAS-AS1通过调节miR-449a/Notch1轴参与胃癌细胞的增殖和迁移

徐俐,胡珊珊,赵海明()   

  1. 四川省医学科学院·四川省人民医院(电子科技大学附属医院)消化内科 (成都 610000 )
  • 收稿日期:2023-05-24 出版日期:2024-02-25 发布日期:2024-03-08
  • 通讯作者: 赵海明 E-mail:m2b1io88@163.com
  • 基金资助:
    四川省医学科研课题项目(S18082)

LncRNA GNAS⁃AS1 participates in the proliferation and migration of gastric cancer cells by regulating the miR⁃449a/Notch1 axis

Li XU,Shanshan HU,Haiming. ZHAO()   

  1. Department of Gastroenterology,Sichuan Academy of Medical Sciences,Sichuan Provincial People's Hospital,Affiliated Hospital of University of Electronic Science and Technology of China,Chengdu 610000,China
  • Received:2023-05-24 Online:2024-02-25 Published:2024-03-08
  • Contact: Haiming. ZHAO E-mail:m2b1io88@163.com

摘要:

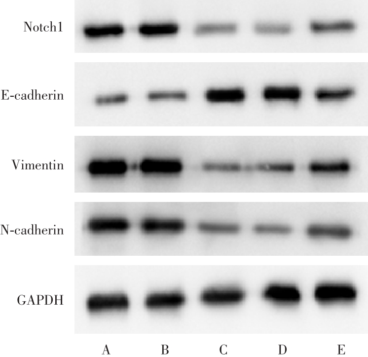
目的 探究长链非编码RNA(LncRNA)GNAS反义RNA1(GNAS-AS1)通过调节miR-449a/缺刻基因1(Notch1)轴对胃癌(GC)细胞增殖和迁移的影响。 方法 收集四川省人民医院2013年9月至2017年9月30例确诊为GC的患者肿瘤组织与癌旁组织标本;将GC细胞AGS随机分为对照组(Control组)、si-NC组、si-GNAS-AS1组、si-GNAS-AS1+inhibitor NC组、si-GNAS-AS1+miR-449a inhibitor组。实时荧光定量PCR检测GNAS-AS1、miR-449a和Notch1 mRNA的表达;MTT实验、平板克隆形成实验检测增殖;wound healing实验检测细胞迁移;Transwell实验检测细胞侵袭。Western Blot检测Notch1、E-cadherin、Vimentin、N-cadherin蛋白表达。双荧光素酶报告基因实验验证miR-449a和GNAS-AS1、Notch1的关系。 结果 与癌旁组织相比,肿瘤组织中GNAS-AS1、Notch1 mRNA表达升高,miR-449a表达降低(P < 0.05)。与Control组、si-NC组相比,si-GNAS-AS1组AGS细胞GNAS-AS1表达、OD490值、克隆形成数、划痕愈合率、细胞侵袭数目、Notch1、Vimentin、N-cadherin蛋白表达表达降低,miR-449a表达、E-cadherin蛋白表达升高(P < 0.05)。与si-GNAS-AS1组、si-GNAS-AS1+inhibitor NC组相比,si-GNAS-AS1+miR-449a inhibitor组OD490值、划痕愈合率、细胞侵袭数目、Notch1、Vimentin、N-cadherin表达升高(P < 0.05),miR-449a表达、E-cadherin蛋白表达降低(P < 0.05)。GNAS-AS1靶向负调控miR-449a表达,miR-449a靶向负调控Notch1表达。 结论 沉默GNAS-AS1可能通过上调miR-449a来抑制Notch1蛋白的表达,从而抑制GC细胞增殖、迁移、侵袭过程。

关键词: 长链非编码RNA GNAS反义RNA1, miR-449a, 缺刻基因1, 胃癌, 迁移, 增殖

Abstract:

Objective To explore the impacts of long non-coding RNA (LncRNA) GNAS antisense RNA1 (GNAS-AS1) on the proliferation and migration of gastric cancer (GC) cells by regulating the miR-449a/Notch1 axis. Method Tumor tissue and adjacent tissue samples were collected from 30 patients diagnosed with GC at Sichuan Provincial People's Hospital from September 2013 to September 2017; GC cells AGS were randomly divided into Control group, si-NC group, si-GNAS-AS1 group, si-GNAS-AS1+inhibitor NC group, and si-GNAS-AS1+miR-449a inhibitor group. Real-time fluorescence quantitative PCR method was applied to detect the expression of GNAS-AS1, miR-449a, and Notch1 mRNA; MTT experiments and plate cloning experiments were applied to detect the proliferation; wound healing test was applied to detect cell migration; Transwell experiment was applied to detect cell invasion. Western Blot was applied to detect the expression of Notch1, E-cadherin, Vimentin, and N-cadherin proteins. Double Luciferase reporter gene experiment was applied to verify the relationship between GNAS-AS1 and miR-449a, between miR-449a and Notch1, respectively. Results Compared with adjacent tissues, the expression of GNAS-AS1 and Notch1 mRNA in tumor tissue was increased, the expression of miR-449a was reduced (P < 0.05). Compared with the Control group and si-NC group, the expression of GNAS-AS1, OD490 value, number of clones formed, scratch healing rate, number of cell invasions, and the expression of Notch1, Vimentin, and N-cadherin proteins in AGS cells in the si-GNAS-AS1 group reduced, the expression of miR-449a and E-cadherin protein increased (P < 0.05). Compared with the si-GNAS-AS1 group and the si-GNAS-AS1+inhibitor NC group, the OD490 value, scratch healing rate, number of cell invasions, Notch1, Vimentin, and N-cadherin expression in the si-GNAS-AS1+miR-449a inhibitor group increased, the expression of miR-449a and E-cadherin protein reduced (P < 0.05). GNAS-AS1 targeted and negatively regulated miR-449a expression, while miR-449a targeted and negatively regulated Notch1 expression. Conclusion Silencing GNAS-AS1 may inhibit the expression of Notch1 protein by up-regulating miR-449a, thereby inhibiting the proliferation, migration, and invasion processes of GC cells.

Key words: long non-coding RNA GNAS antisense RNA1, miR-449a, Notch1, gastric cancer, migration, proliferation

中图分类号: