实用医学杂志 ›› 2023, Vol. 39 ›› Issue (16): 2037-2042.doi: 10.3969/j.issn.1006-5725.2023.16.005

• 基础研究 • 上一篇    下一篇

氢气抑制TL1A/DR3通路对兔肢体缺血-再灌注后心肌细胞凋亡的影响

李林1,殷月2,王晨晨1,庄宝祥3,王岱君1()   

  1. 1.潍坊医学院基础医学院 解剖学教研室,(山东 潍坊 261053 )
    2.潍坊医学院基础医学院 生理学教研室,(山东 潍坊 261053 )
    3.潍坊医学院基础医学院 形态学实验室 (山东 潍坊 261053 )
  • 收稿日期:2023-02-10 出版日期:2023-08-25 发布日期:2023-09-26
  • 通讯作者: 王岱君 E-mail:wandaijun@126.com
  • 基金资助:
    山东省医药卫生科技发展计划项目(2017WS412)

Hydrogen attenuates cardiomyocyte apoptosis after limb ischemia-reperfusion in rabbits via inhibition of TL1A/DR3 pathway

Lin LI1,Yue YIN2,Chenchen WANG1,Baoxiang ZHUANG3,Daijun. WANG1()   

  1. Department of Anatomy,School of Basic Medical Sciences,Weifang Medical University,Weifang 261053,China
  • Received:2023-02-10 Online:2023-08-25 Published:2023-09-26
  • Contact: Daijun. WANG E-mail:wandaijun@126.com

摘要:

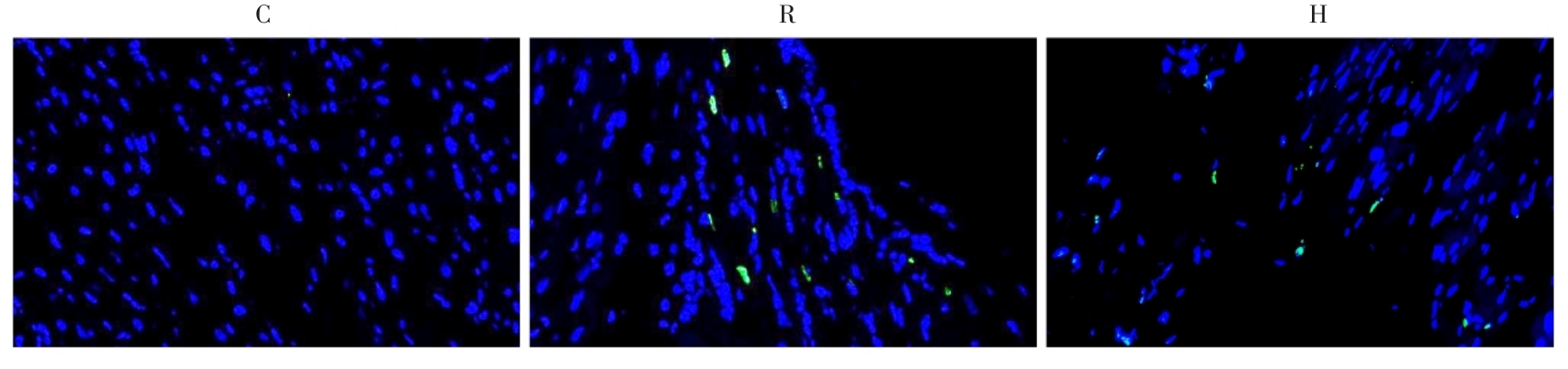
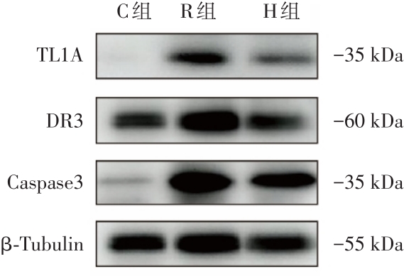
目的 探讨氢气通过肿瘤坏死因子样细胞因子1A(tumor necrosis factor-like cytokine 1A,TL1A)/死亡受体3(death receptor 3, DR3)通路对兔肢体缺血-再灌注后心肌细胞凋亡的影响。 方法 下载基因表达数据库(gene expression omnibus, GEO)GSE160516数据集,进行基因组百科全书(kyoto encyclopedia of genes and genomes, KEGG)通路富集。采用随机数字表法将18只雄性新西兰大耳白兔随机分为对照组(C组),肢体缺血-再灌注组(R组),氢气组(H组),每组6只。建立兔双后肢缺血-再灌注模型,各组动物取静脉血离心制备血清,摘取心脏。酶联免疫吸附试验(enzyme-linked immunosorbent assay, ELISA)法检测血清TL1A和DR3水平。终端脱氧核苷酸转移酶UTP介导的缺口端标记(terminal deoxynucleotidyl transferase UTP mediated nicked end labeling, TUNEL)法检测心肌细胞凋亡率。免疫印迹(western blotting)法测定心肌组织中TL1A、DR3与半胱氨酸天冬氨酸蛋白酶3(Caspase3)蛋白相对表达量。实时逆转录聚合酶链反应(real-time reverse transcription polymerase chain reaction, RT-qPCR)测定心肌组织中TL1A、DR3与Caspase3 mRNA相对表达量。 结果 KEGG通路富集分析发现,小鼠心肌缺血-再灌注后,基因表达富集在Apoptosis信号通路、TNF信号通路和MAPK信号通路等。实验观察到,与C组比较,R组血清TL1A和DR3表达水平显著升高(P < 0.01);与R组比较,H组血清TL1A和DR3表达水平显著降低(P < 0.01)。与C组比较,R组心肌细胞凋亡率显著升高(P < 0.01);与R组比较,H组心肌细胞凋亡率显著降低(P < 0.01)。与C组比较,R组心肌组织内TL1A、DR3和Caspase3蛋白与mRNA相对表达量均显著升高(P < 0.01);与R组比较,H组心肌组织内TL1A、DR3和Caspase3蛋白与mRNA相对表达量均显著降低(P < 0.05,P < 0.01)。 结论 氢气可通过抑制TL1A/DR3通路减轻肢体缺血-再灌注后心肌细胞凋亡。

关键词: 氢气, 缺血-再灌注, 心肌, 细胞凋亡

Abstract:

Objective To investigate the effect of hydrogen on myocardiumapoptosis after limb ischemia-reperfusion in rabbits through inhibition of the tumor necrosis factor-like cytokine 1A (TL1A)/death receptor 3 (DR3) pathway. Methods The gene expression omnibus (GEO) GSE160516 dataset was downloaded and the kyoto encyclopedia of genes and genomes (KEGG) pathway enrichment was performed. Eighteen male New Zealand large-eared white rabbits were randomly divided into control group (Group C), limb ischemia-reperfusion group (Group R), and hydrogen group (Group H) using the random number table method, with six rabbits in each group. The rabbit double hind limb ischemia-reperfusion model was established, and the animals in each group were centrifuged with venous blood to prepare serum, and the hearts were removed. Serum TL1A and DR3 levels were measured by enzyme-linked immunosorbent assay (ELISA). The terminal deoxynucleotidyl transferase UTP mediated nicked end labeling (TUNEL) assay was performed to detect apoptosis rate in myocardium. The relative expression of TL1A, DR3 and cysteine aspartate protease 3 (Caspase3) proteins in myocardium was measured by western blotting (WB). The real-time reverse transcription polymerase chain reaction (RT-qPCR) was performed to determine the relative expression of TL1A, DR3 and Caspase3 mRNA in myocardium. Results KEGG enrichment analysis revealed that gene expression was enriched to Apoptosis signaling pathway,TNF signaling pathway and MAPK signaling pathwayafter myocardium ischemia-reperfusion in mice. It was observed that the expression levels of serum TL1A and DR3 were significantly higher in group R compared with group C (P < 0.01), while the expression levels of serum TL1A and DR3 were significantly lower in group H compared with group R (P < 0.01). Compared with group C, the apoptosis rate of myocardium in group R was significantly higher (P < 0.01);compared with group R, the apoptosis rate of myocardium in group H was significantly lower (P < 0.01). The relative expressions of TL1A, DR3 and Caspase3 protein and mRNA in myocardium were significantly increased in group R compared with group C (all P<0.01); the relative expressions of TL1A, DR3 and Caspase3 protein and mRNA in myocardium were significantly decreased in group H compared with group R (P < 0.05, P < 0.01). Conclusion Hydrogen attenuates myocardium apoptosis after limb ischemia-reperfusion by inhibiting the TL1A/DR3 pathway.

Key words: hydrogen, ischemia-reperfusion, myocardium, apoptosis

中图分类号: