实用医学杂志 ›› 2025, Vol. 41 ›› Issue (14): 2191-2198.doi: 10.3969/j.issn.1006-5725.2025.14.010

• 临床研究 • 上一篇    

3D数字化全息影像及术中导航技术在腹腔镜肾部分切除术中的应用

李存耀,杨晓亮,魏灿,齐伟,井俊峰,张艳斌()   

  1. 安徽医科大学附属合肥医院(合肥市第二人民医院)泌尿外科 (安徽 合肥 230011 )
  • 收稿日期:2025-04-16 出版日期:2025-07-25 发布日期:2025-07-29
  • 通讯作者: 张艳斌 E-mail:doczyb@sina.com
  • 基金资助:
    国家自然科学基金项目(82004010);合肥市卫生健康委2024年度应用医学重点项目(Hwk2024zd012);蚌埠医科大学自然科学重点项目(2023byzd245)

Application of 3D digital hologram and intraoperative navigation technology in laparoscopic partial nephrectomy

Cunyao LI,Xiaoliang YANG,Can WEI,Wei QI,Junfeng JING,Yanbin. ZHANG()   

  1. Department of Urology,Hefei Hospital Affiliated to Anhui Medical University (the Second People's Hospital of Hefei),Hefei 230011,Anhui,China
  • Received:2025-04-16 Online:2025-07-25 Published:2025-07-29
  • Contact: Yanbin. ZHANG E-mail:doczyb@sina.com

摘要:

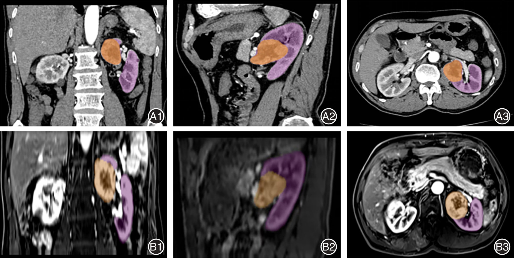
目的 分析3D数字化全息影像及术中导航技术在腹腔镜肾部分切除术中应用的可行性与有效性。 方法 选取2023年6月至2025年1月就诊于合肥市第二人民医院泌尿外科行腹腔镜肾部分切除术的46例患者为研究对象,随机分为观察组和对照组,观察组23例患者术前采用3D数字化全息影像重建进行术前规划和术中行实时导航。对照组23例患者术前采用最佳参数的二维影像(增强CT与增强MRI)进行术前规划。比较两组患者术前资料(性别、年龄、体质量指数、肿瘤直径、Renal评分)、术中指标(手术总时间、热缺血时间、术中出血量、血红蛋白变化值、术后住院时间、拔除引流管时间),肾功能变化指标(术前与术后1个月血肌酐变化值、术前与术后1个月肾小球滤过率变化值)及术中(肾集合系统损伤)和术后并发症(切缘阳性率、出血、皮下气肿、尿瘘)等发生率。 结果 成功构建了观察组23例肾肿瘤患者的全息影像,并对各个组织进行不同颜色标记,术前可直观地展示肾脏及肿瘤病灶、集合系统、肾动静脉、肾上腺、下腔静脉等组织并进行术前规划,术中提供实时的空间引导,精准定位肿瘤并辅助切除。对照组23例患者均采集到最佳参数的增强CT与增强MRI图像进行术前规划。本研究46例患者均由同一名具备相应资质的主刀医师实施腹腔镜肾部分切除术,术后病理均为肾肿瘤,其中透明细胞癌(27例)、嫌色细胞癌(7例)、乳头状细胞癌(5例)、肉瘤样癌(2例)和血管平滑肌脂肪瘤(5例),两组患者一般临床资料比较,组间差异无统计学意义(P > 0.05),观察组的手术时间、热缺血时间、出血量、血红蛋白变化及术后1个月肌酐变化均显著优于对照组(P < 0.01),观察组术后住院时间、拔除引流管时间、术前与术后1个月肾小球滤过率变化值小于对照组,差异无统计学意义(P = 0.175、0.331、0.273)。观察组与对照组均未发生术中并发症,未损伤集合系统,对照组术后切缘阳性1例,出血1例,皮下气肿1例,差异无统计学意义(P > 0.05)。 结论 基于MRI与CT数据融合的3D数字化全息影像及术中导航技术有助于术前规划和术中精确导航,在确保疗效的同时,可以减少手术时间,保护肾脏功能,降低围术期风险。

关键词: 3D数字化全息影像, 术中导航, 腹腔镜肾部分切除术, 肾功能

Abstract:

Objective To evaluate the feasibility and effectiveness of 3D digital holographic imaging combined with intraoperative navigation technology in the context of partial nephrectomy. Methods A total of 46 patients who underwent laparoscopic partial nephrectomy in the Department of Urology at the Second People's Hospital of Hefei City between June 2023 and January 2025 were randomly assigned to either the experimental group or the control group. The experimental group (n = 23) utilized preoperative planning and intraoperative real-time navigation based on 3D digital holographic imaging, whereas the control group (n = 23) relied on preoperative planning using optimized two-dimensional images obtained via contrast-enhanced CT and MRI scans. Preoperative data—including gender, age, body mass index (BMI), tumor diameter, and RENAL score—were collected. Intraoperative parameters such as total operative time, warm ischemia time, intraoperative blood loss, hemoglobin levels, postoperative hospitalization duration, and time to drain removal were recorded. Renal function changes were assessed by comparing serum creatinine levels and estimated glomerular filtration rates (eGFR) before surgery and one month post-surgery. Additionally, the incidence of intraoperative complications—particularly injury to the renal collecting system—and postoperative complications—including positive surgical margins, bleeding, subcutaneous emphysema, and urinary fistula—was analyzed. Results In this study, holographic images were successfully reconstructed for 23 patients with renal tumors in the experimental group. Each anatomical structure—including the kidney and tumor lesions, collecting system, renal arteries and veins, adrenal glands, and inferior vena cava—was color-coded to enable intuitive visualization. These images were used for preoperative planning and provided real-time spatial orientation to accurately locate and guide resection of the tumor during surgery. In the control group, 23 patients underwent preoperative planning based on contrast-enhanced CT and MRI scans acquired using optimized parameters. All 46 patients underwent laparoscopic partial nephrectomy performed by the same qualified surgeon, and postoperative pathological analysis confirmed renal tumors, including 27 cases of clear cell carcinoma, 7 cases of chromophobe cell carcinoma, 5 cases of papillary cell carcinoma, 2 cases of sarcomatoid carcinoma, and 5 cases of angiomyolipoma. No significant differences were observed in baseline clinical characteristics (including age, body mass index, tumor diameter, and RENAL score) between the two groups (P > 0.05). The experimental group showed significantly lower values in total operative time, warm ischemia time, intraoperative blood loss, pre- to postoperative hemoglobin changes, and pre-surgical to one-month post-surgical creatinine changes compared to the control group (P < 0.01). Additionally, the experimental group exhibited smaller changes in hospitalization duration, time to drain removal, and glomerular filtration rate from preoperative to one month post-surgery; however, these differences were not statistically significant (P = 0.175, P = 0.331, and P = 0.273). There were no intraoperative complications or damage to the collecting system in either the experimental or control groups. Postoperatively, the control group experienced one case of positive surgical margin, one case of hemorrhage, and one case of subcutaneous emphysema. No statistically significant differences were observed between the groups (P > 0.05). Conclusions 3D digital holographic imaging combined with intraoperative navigation technology, based on the fusion of MRI and CT data, facilitates preoperative planning and precise intraoperative guidance. This approach helps reduce operative time, preserve renal function, and lower perioperative risks while ensuring therapeutic efficacy.

Key words: 3D digital hologram, intraoperative navigation, laparoscopic partial nephrectomy, renal function

中图分类号: