实用医学杂志 ›› 2025, Vol. 41 ›› Issue (1): 41-47.doi: 10.3969/j.issn.1006-5725.2025.01.007

• 临床研究 • 上一篇    下一篇

单一切口椎间孔镜治疗双节段腰椎管狭窄合并腰椎间盘突出症的效果

王子桓1,张翼升1,余熙荣1,马楚杰1,莫泳皓1,钟远鸣2()   

  1. 1.广西中医药大学第一临床医学院 (广西 南宁 530200 )
    2.广西中医药大学第一附属医院脊柱骨伤科 ;(广西 南宁 530023 )
  • 收稿日期:2024-06-08 出版日期:2025-01-10 发布日期:2025-01-14
  • 通讯作者: 钟远鸣 E-mail:zym196395@sina.com
  • 基金资助:
    国家自然科学基金项目(81760874)

Clinical observation of single incision intervertebral foramen in the treatment of double⁃segment lumbar spinal stenosis complicated with lumbar disc herniation

Zihuan WANG1,Yisheng ZHANG1,Xirong YU1,Chujie MA1,Yonghao MO1,Yuanming ZHONG2()   

  1. The First Clinical School,Guangxi University of Chinese Medicine,Nanning 530200,Guangxi,China
  • Received:2024-06-08 Online:2025-01-10 Published:2025-01-14
  • Contact: Yuanming ZHONG E-mail:zym196395@sina.com

摘要:

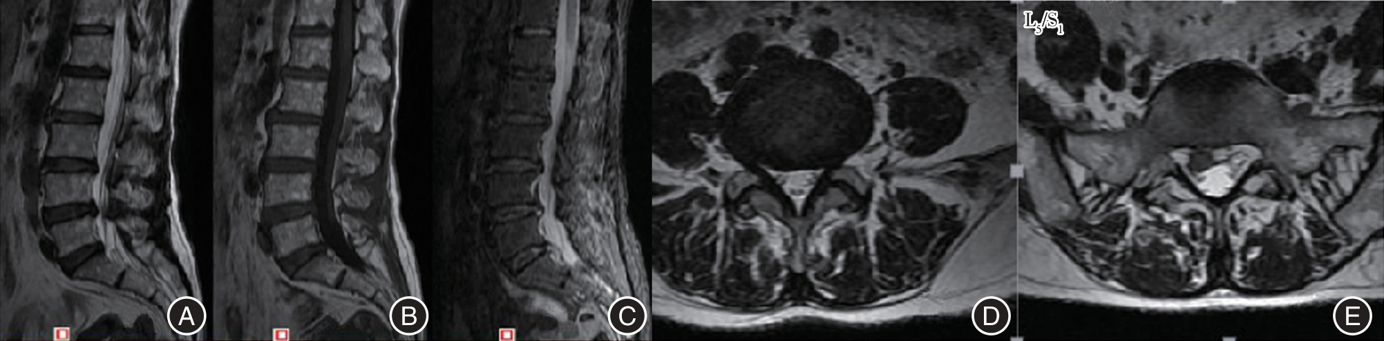
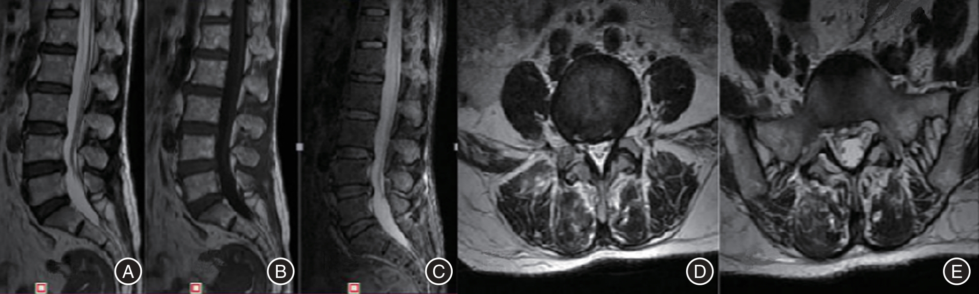
目的 探讨单一切口椎间孔镜治疗双节段腰椎管狭窄并腰椎间盘突出症的临床疗效。 方法 回顾性分析2016年3月至2018年5月在广西中医药大学第一附属医院脊柱骨伤科就诊的40例双节段腰椎管狭窄并腰椎间盘突出症患者临床资料,其中通过单一切口同时穿刺椎间孔镜治疗的患者11例(A组),通过单一切口前后穿刺椎间孔镜治疗的患者13例(B组),通过双切口前后穿刺椎间孔镜治疗的患者16例(C组)。记录患者的一般临床资料,三组不同时间点(术前、术后即刻、术后1周、术后1个月、末期随访)的VAS评分、JOA评分及临床疗效,并运用统计学进行分析。 结果 三组间手术时间、术中透视次数、皮肤切开长度和满意度差异均有统计学意义(P < 0.05);手术时间与手术方式在VAS、JOA评分上存在交互作用;手术时间、手术方式在VAS、JOA评分上存在主效应(P < 0.05);三组术后即刻、术后1周、术后1个月、末期随访与术前在VAS、JOA评分上比较差异均有统计学意义(P < 0.05);三组间术后即刻在VAS、JOA评分上差异有统计学意义(P < 0.05);三组间术后1周在VAS评分上差异有统计意义(P < 0.05)。 结论 单一切口椎间孔镜技术同时减压双节段腰椎管狭窄并腰椎间盘突出症的有效手段,具有手术时间短、术中透视少,损伤小等优势,患者满意,值得临床推广应用。

关键词: 单一切口, 椎间孔镜, 腰椎管狭窄, 腰椎间盘突出症

Abstract:

Objective To evaluate the clinical effectiveness of single?incision intervertebral foraminotomy in treating double?segment lumbar spinal stenosis accompanied by lumbar disc herniation. Methods A retrospective analysis was conducted on 40 cases of double?segment lumbar spinal stenosis and lumbar disc herniation treated in our orthopedic (spinal surgery) department from March 2016 to May 2018. Among these cases, 11 patients (Group A) were treated with percutaneous discectomy, 13 patients (Group B) underwent percutaneous endoscopic discectomy, and 16 patients (Group C) received double?incision percutaneous surgery. General clinical data for all patients were recorded. Visual Analog Scale (VAS) scores, Japanese Orthopaedic Association (JOA) scores, and clinical outcomes were assessed at five different time points: preoperatively, immediately postoperatively, one week postoperatively, one month postoperatively, and at the final follow?up. Statistical analysis was performed on the collected data. Results The operation time, the number of fluoroscopies performed on the hands, the length of the skin incision, and patient satisfaction were all statistically significant (P < 0.05). An interaction effect was observed between the operation time and the surgical procedure on both the VAS and JOA scores. Both the operation time and the surgical method had significant main effects on the VAS and JOA scores (P < 0.05). Significant differences in VAS and JOA scores were found among the three groups immediately post?surgery, one week post?surgery, one month post?operation, and at the end of the study (P < 0.05). Immediately after surgery, there were statistically significant differences in VAS and JOA scores among the three groups (P < 0.05). One week post?surgery, there were also statistically significant differences in VAS scores among the three groups (P < 0.05). Conclusions The single?incision intervertebral foramen technique is an effective approach for simultaneously addressing double?segment lumbar spinal stenosis and lumbar disc herniation through decompression. This method boasts a shorter operative duration, reduced intraoperative radiation exposure, and minimal tissue damage. Patient satisfaction is high, making it a valuable addition to clinical practice.

Key words: single incision, intervertebral foramen, lumbar spinal stenosis, lumbar disc herniation

中图分类号: