实用医学杂志 ›› 2024, Vol. 40 ›› Issue (11): 1494-1499.doi: 10.3969/j.issn.1006-5725.2024.11.005
Mengni HU,Xiaolei ZHANG,Zhen RONG,Yao WANG,Ya′nan LI,Jun. MA(
)
摘要:
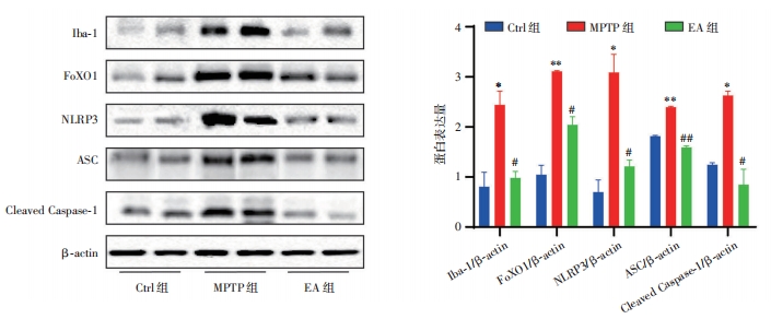
目的 探究电针对1-甲基-4-苯基-1,2,3,6-四氢吡啶(MPTP)诱导帕金森病(PD)模型小鼠的作用机制是否与叉头盒蛋白O1(FoXO1)/NOD样受体热蛋白结构域相关蛋白3(NLRP3)信号通路介导的神经炎症相关。 方法 将30只小鼠随机分为对照组(Ctrl)、模型组(MPTP)、电针组(EA),每组10只。连续7 d腹腔注射MPTP 30 mg/(kg·d)制备PD小鼠模型。采用旷场实验及爬杆实验观察小鼠行为学;免疫组化观察小鼠中脑黑质α-突触核蛋白(α-syn)表达水平;蛋白免疫印迹测定Iba-1、FoXO1、NLRP3、ASC、Caspase-1蛋白表达水平;ELISA法检测中脑黑质肿瘤坏死因子-α(TNF-α)、白细胞介素-1β(IL-1β)炎症因子表达水平。 结果 MPTP组小鼠出现显著的行为学障碍,中脑黑质α-syn明显增加(P < 0.01),Iba-1、FoXO1、NLRP3、ASC、Caspase-1蛋白水平升高(P < 0.05,P < 0.01),TNF-α、IL-1β含量明显增加(P < 0.01)。EA治疗后能有效改善PD小鼠运动障碍,提高运动平衡及协调能力(P < 0.01),减少α-syn的异常聚集(P < 0.01),减轻小胶质细胞异常活化,缓解神经炎症(P < 0.05)。 结论 电针可能通过调控FoXO1/NLRP3通路介导的神经炎症,在PD中发挥保护作用。
中图分类号: