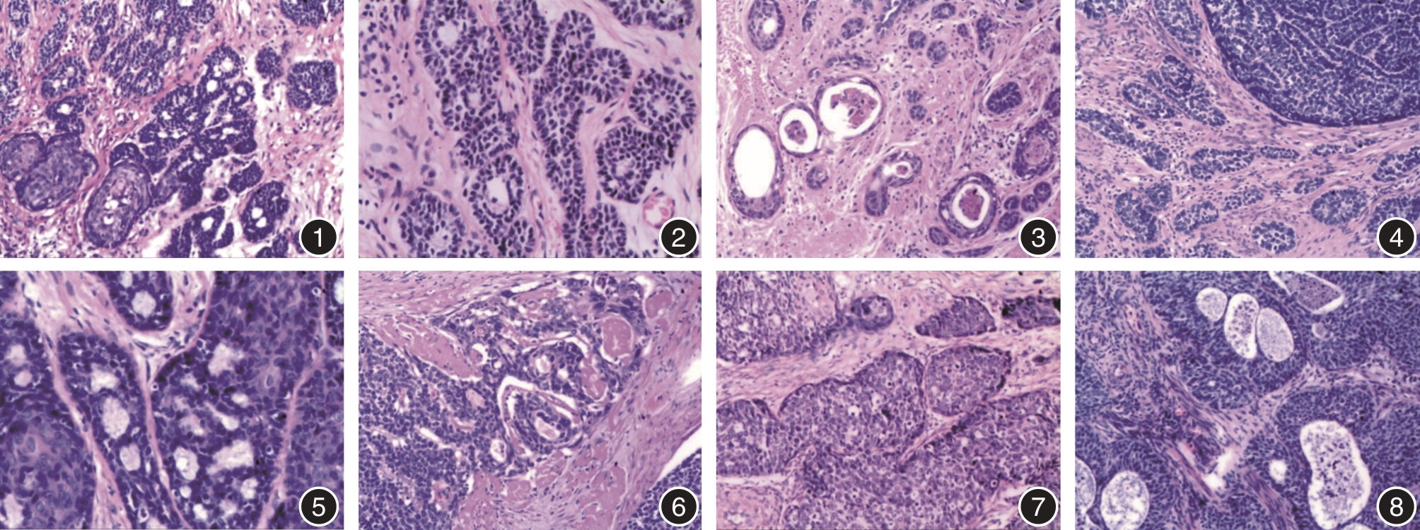
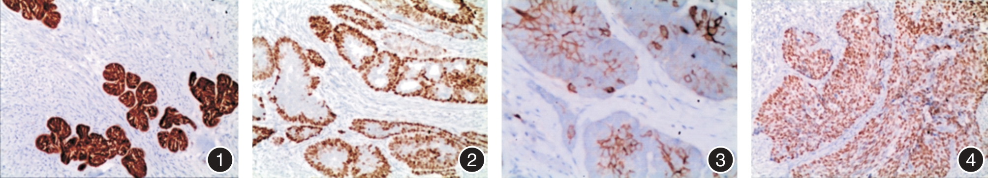
| 1 |
BAGGISH M S, WOODRUFF J D. Adenoid-basal carcinoma of the cervix[J]. Obstet Gynecol, 1966, 28(2):213-218. doi:10.1097/00003081-196608000-00013
doi: 10.1097/00003081-196608000-00013
|
| 2 |
PAALMAN R J, COUNSELLER V S. Clyindroma of the cervix with procidentia[J]. Am J Obstet Gynecol, 1949, 58(1):184-187. doi:10.1016/0002-9378(49)90024-1
doi: 10.1016/0002-9378(49)90024-1
|
| 3 |
MCGEE J A, FLOWERS C E, TATUM B S. Adenoid Cystic Carcinoma of the Cervix:Report of a Case[J]. Obstet Gynecol,1965, 26:356-358.
|
| 4 |
KWON Y S, KIM Y M, CHOI G W, et al. Pure basaloid squamous cell carcinoma of the uterine cervix: a case report[J]. J Korean Med Sci,2009, 24(3):542-545. doi:10.3346/jkms.2009.24.3.542
doi: 10.3346/jkms.2009.24.3.542
|
| 5 |
何德明,吴饶平,秦赟娜,等. 子宫颈腺样基底细胞癌12例临床病理特征分析[J].临床与实验病理学杂志,2015,31 (5):510-513.
|
| 6 |
赵月,孙平丽,何洋洋,等. 宫颈所谓的腺样囊性癌临床病理学特征及进展[J]. 中华病理学杂志,2022, 51(4):385-388. doi:10.3760/cma.j.cn112151-20210828-00623
doi: 10.3760/cma.j.cn112151-20210828-00623
|
| 7 |
王利群,王昀,晋薇,等. 子宫颈基底样鳞癌的临床病理分析[J]. 中华妇产科杂志, 2019,54(1):7-12. doi:10.3760/cma.j.issn.0529-567x.2019.01.003
doi: 10.3760/cma.j.issn.0529-567x.2019.01.003
|
| 8 |
SHI H, SHAO Y, LIU Q, et al. A clinicopathological and molecular analysis of cervical carcinomas with basaloid features[J]. Histopathology,2020, 76(2): 283‑295. doi:10.1111/his.13968
doi: 10.1111/his.13968
|
| 9 |
赵月,孙平丽,于世利,等. 宫颈腺样囊性癌5例临床病理分析[J]. 中华病理学杂志,2022,51(11):1161-1163.
|
| 10 |
GRAYSON W, TAYLOR L F, COOPER K. Adenoid basal carcinoma of the uterine cervix: detection of integrated human papillomavirus in a rare tumor of putative "reserve cell" origin[J]. Int J Gynecol Pathol, 1997,16(4):307-312. doi:10.1097/00004347-199710000-00003
doi: 10.1097/00004347-199710000-00003
|
| 11 |
JONES M W, KOUNELIS S, PAPADAKI H,et al. The origin and molecular characterization of adenoid basal carcinoma of the uterine cervic[J]. Int J Gynecol Pathol,1997,16(4):301-306. doi:10.1097/00004347-199710000-00002
doi: 10.1097/00004347-199710000-00002
|
| 12 |
XING D, SCHOO LMEESTER J K, REN Z, et al. Lower femalegenital tract tumors with adenoid cystic differentiation: p16 expression and high‑risk HPV detection[J]. Am J Surg Pathol,2016, 40(4):529-536. doi:10.1097/pas.0000000000000565
doi: 10.1097/pas.0000000000000565
|
| 13 |
RUSSELL M J, FADARE O. Adenoid basal lesions of the uterine cervix: evolving terminology and clinicopathological concepts[J]. Diagn Pathol,2006,1:18. doi:10.1186/1746-1596-1-18
doi: 10.1186/1746-1596-1-18
|
| 14 |
薛德彬,主 译. Blaustein女性生殖道病理学[M]. 6版.北京:北京科学技术出版社, 2012: 252-276.
|
| 15 |
江庆萍,王昀,胡丹,主 译. 妇科病理学图谱[M]. 4版. 北京:中国科学技术出版社, 2022:129-159.
|
| 16 |
KURMAN R, CARCANGIU M L, HERRINGTON C S,et al .WHO classification of tumours of female reproductive organs[M]. 4 ed. Lyon:IARC Publications, 2014.
|
| 17 |
WHO classification of tumours: Female genital tumours[M]. Lyon (Frence): International Agency for Research on cancer, 2020.
|
| 18 |
赵婧,罗荣奎,周先荣,等. 宫颈腺样基底细胞癌的临床病理学特征分析[J]. 诊断病理学杂志,2017, 24(6):450-454. doi:10.3969/j.issn.1007-8096.2017.06.012
doi: 10.3969/j.issn.1007-8096.2017.06.012
|
| 19 |
PARWANI A V, SMITH S A, KURMAN R J, et al. Cervical adenoid basal tumors comprised of adenoid basal epithelioma associated with various types of invasive carcinoma: clinicopathologic features, human papillomavirus DNA detection, and p16 expression[J]. Hum Pathol,2005,36(1):82-90. doi:10.1016/j.humpath.2004.08.015
doi: 10.1016/j.humpath.2004.08.015
|
| 20 |
JEONG J, HA S Y, CHO H Y, et al. Comparison of cytologic characteristics between adenoid cystic carcinoma and adenoid basal carcinoma in the uterine cervix[J]. J Pathol Transl Med,2015,49(5):396-402. doi:10.4132/jptm.2015.07.08
doi: 10.4132/jptm.2015.07.08
|
| 21 |
XING D, LU J. Distinctive clinicopathological features and disease‑specific survival of adenoid cystic carcinoma and adenoid basal carcinoma in the lower female genital tract[J]. Oncol Rep,2019, 41(3): 1769-1778.
|
| 22 |
FREGNANI J H, SOARES F A, NOVIK P R, et al. Comparison of biological behavior between early‑stage adenocarcinoma and squamous cell carcinoma of the uterine cervix[J]. Eur J Obstet Gynecol Reprod Biol,2008, 136(2):215-223. doi:10.1016/j.ejogrb.2006.10.021
doi: 10.1016/j.ejogrb.2006.10.021
|
| 23 |
KOYFMAN S A, ABIDI A, RAVICHANDRAN P, et al. Adenoid cystic carcinoma of the cervix[J]. Gynecol Oncol,2005, 99(2):477-480. doi:10.1016/j.ygyno.2005.06.063
doi: 10.1016/j.ygyno.2005.06.063
|
| 24 |
刘倩,王玮. 浅谈宫颈癌临床治疗新进展[J]. 实用医学杂志, 2018, 34(1):5-7. doi:10.3969/j.issn.1006-5725.2018.01.002
doi: 10.3969/j.issn.1006-5725.2018.01.002
|
| 25 |
陈默,黄荣. 调强放射治疗条件下根治性宫颈癌的长期生存报道[J]. 实用医学杂志, 2020, 36(20):2810-2814. doi:10.3969/j.issn.1006-5725.2020.20.013
doi: 10.3969/j.issn.1006-5725.2020.20.013
|
| 26 |
周晖,刘昀昀,罗铭,等.《2023NCCN子宫颈癌临床实践指南(第1版)》解读[J]. 中国实用妇科与产科杂志,2023, 39(2):189-196.
|