实用医学杂志 ›› 2023, Vol. 39 ›› Issue (21): 2754-2760.doi: 10.3969/j.issn.1006-5725.2023.21.011

• 基础研究 • 上一篇    下一篇

Mettl14介导的m6A修饰对改善心肌梗死的分子机制

郑学斌,沙莎(),杨慧琼,刘恋   

  1. 长沙市第四医院(湖南师范大学附属长沙医院)全科医学科 (长沙 410006 )
  • 收稿日期:2023-05-14 出版日期:2023-11-10 发布日期:2023-12-19
  • 通讯作者: 沙莎 E-mail:keywang2007@163.com
  • 基金资助:
    湖南省卫生健康委员会科研项目(20210278)

Molecular mechanism of Mettl14 mediated m6A modification in improving myocardial infarction

Xuebin ZHENG,Sha SHA(),Huiqiong YANG,Lian LIU   

  1. Department of General Practice,Changsha Fourth Hospital (Changsha Hospital Affiliated to Hunan Normal University),Changsha 410006,China
  • Received:2023-05-14 Online:2023-11-10 Published:2023-12-19
  • Contact: Sha SHA E-mail:keywang2007@163.com

摘要:

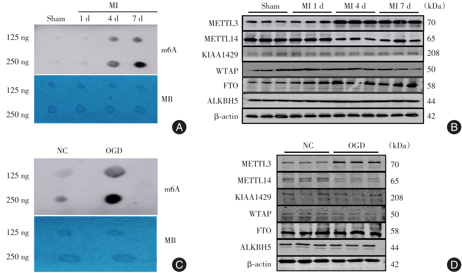
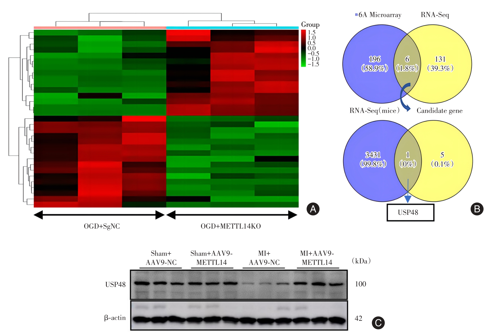
目的 探索甲基转移酶样14(METTL14)介导的N6-甲基腺苷(m6A)修饰在心肌梗死(MI)中的生物学作用。 方法 将小鼠随机分为4组,每组10只:Sham+AAV9-NC组、Sham+AAV9-METTL14组、MI+AAV9-NC组和MI+AAV9-METTL14组。各组小鼠分别在MI诱导前1周将AAV9-METTL14或AAV9-NC通过尾静脉注射到小鼠体内。通过经胸超声心动图无创测量心脏功能,并采用免疫荧光测定小鼠微血管损伤和内皮线粒体功能障碍。从小鼠心肌组织中分离CMECs,对细胞进行去氧葡萄糖(OGD)处理。 结果 METTL14在MI小鼠心脏组织以及OGD处理的CMECs中下调。与Sham+AAV9-NC组小鼠相比,MI +AAV9-NC组小鼠中VE-cadherin表达显著下调(P < 0.05),线粒体ROS水平显著增加(P < 0.05)。MI+AAV9-METTL14抑制了这些变化,并增强了小鼠的心脏功能。与NC组相比,在OGD组CMECs细胞中观察到线粒体ROS水平显著增加(P < 0.05)。CMECs细胞中METTL14敲低加剧了ROS水平(P < 0.05),当加入USP48过表达质粒则逆转了这些变化(P < 0.05)。 结论 METTL14在MI中低表达,并通过增加CMECs细胞USP48的m6A修饰水平以降低其稳定性,从而介导CMECs细胞线粒体功能障碍。

关键词: 甲基转移酶样14, N6-甲基腺苷, 心肌梗死, 泛素特异性肽酶48

Abstract:

Objective To investigate the biological role of methyltransferase-like 14 (METTL14)-mediated m6A modification in myocardial infarction (MI). Methods A total of 40 mice were randomly divided into 4 groups: Sham+AAV9-NC group (n = 10), Sham+AAV9-METTL14 group (n = 10), MI+AAV9-NC group (n = 10) and MI+AAV9-METTL14 group (n = 10). Mice in each group were injected with AAV9-METTL14 or AAV9-NC through the tail vein one week before MI induction. Cardiac function was measured non-invasively by transthoracic echocardiography, and microvascular injury were measured by immunofluorescence. CMECs were isolated from mouse myocardial tissue, and the cells were treated with oxygen-glucose deprivation (OGD). Results METTL14 was downregulated in MI mouse heart tissue as well as in OGD-treated CMECs. Compared with the Sham+AAV9-NC group, the expression of VE-cadherin was significantly down-regulated (P < 0.05), ROS levels increased significantly (P < 0.05) in the MI+AAV9-NC group. MI+AAV9-METTL14 suppressed these changes and enhanced cardiac function in mice. Compared with the NC group, a significant increase in mitochondrial ROS levels was observed in the OGD group (P < 0.05). Knockdown of METTL14 in CMECs exacerbated ROS levels (P < 0.05), and the addition of USP48 overexpression plasmid reversed these changes (P < 0.05). Conclusion METTL14 was lowly expressed in MI and mediates mitochondrial dysfunction in CMECs by increasing the m6A modification level of USP48 in CMECs to reduce its stability.

Key words: methyltransferase-like 14, N6-methyladenosine, myocardial infarction, ubiquitin-specific peptidase 48

中图分类号: