实用医学杂志 ›› 2025, Vol. 41 ›› Issue (24): 3919-3929.doi: 10.3969/j.issn.1006-5725.2025.24.017

• 临床研究 • 上一篇    下一篇

带线锚钉重建三角韧带对踝关节骨折合并韧带损伤患者多维运动功能的影响

张庆喜,赵静,李为腾(),刘晏齐,耿远航   

  1. 邢台市人民医院创伤骨科 (河北 邢台 054000 )
  • 收稿日期:2025-08-11 出版日期:2025-12-25 发布日期:2025-12-25
  • 通讯作者: 李为腾 E-mail:lllliweiteng@163.com
  • 基金资助:
    河北省医学科学研究项目(20231366);邢台市重点研发计划自筹项目(2023ZC055)

A clinical study on the reconstruction of the deltoid ligament using suture anchors for improving multidimensional motor function in patients with ankle fractures combined with ligament injuries

Qingxi ZHANG,Jing ZHAO,Weiteng LI(),Yanqi LIU,Yuanhang. GENG   

  1. Department of Traumatic Orthopedics,Xingtai People's Hospital,Xingtai 054000,Hebei,China
  • Received:2025-08-11 Online:2025-12-25 Published:2025-12-25
  • Contact: Weiteng LI E-mail:lllliweiteng@163.com

摘要:

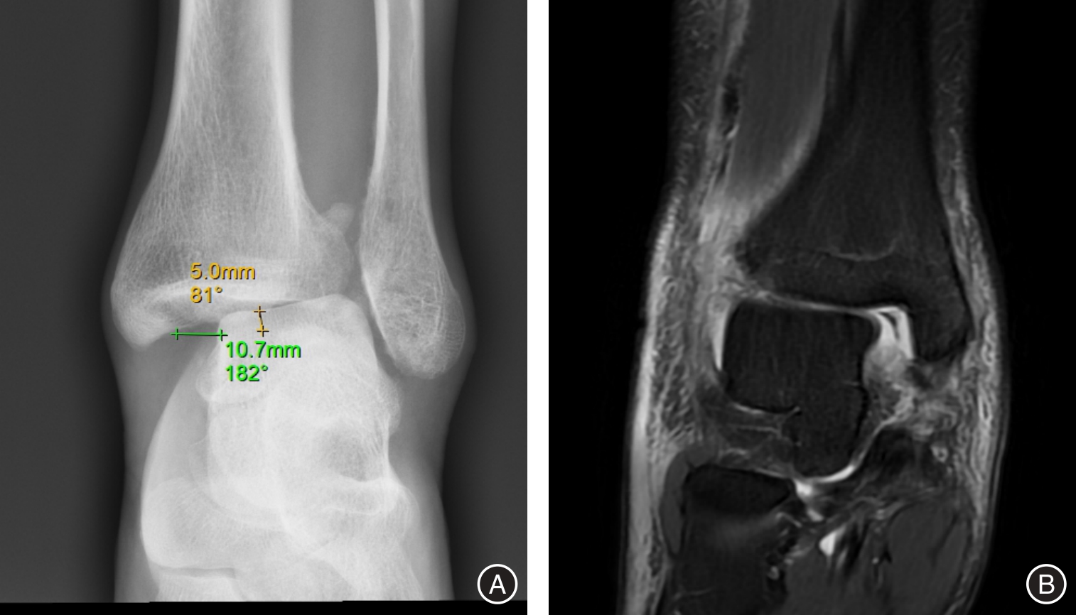
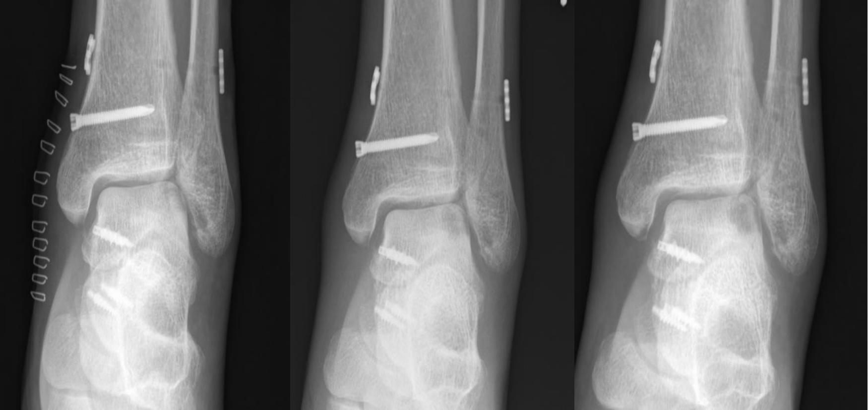
目的 探讨带线锚钉重建三角韧带(deltoid ligament)对踝关节骨折合并韧带损伤患者多维运动功能的影响。 方法 采用回顾性研究方法,纳入2023年3月至2024年3月期间在医院接受切开复位内固定术治疗的DL损伤合并关节骨折患者共210例。根据是否接受三角韧带重建分为重建组(110例)和对照组(单纯骨折固定,100例),其中重建组失访4例,对照组失访2例。比较两组术后优良率,并于术前及术后3、6、12个月评估六自由度(Six Degrees of Freedom,6DOF)运动参数、美国足踝外科协会评分(AOFAS)、疼痛视觉模拟评分(VAS)及影像学指标(间踝间隙和距骨倾斜角),同时记录术后并发症发生率。 结果 重建组手术时间、术中出血量和住院时间均显著高于对照组(P < 0.001)。术后12个月,重建组优良率显著高于对照组(93.40% vs. 81.63%,P < 0.05)。两组术后所有评估指标随时间持续改善,且重建组在踝关节6DOF运动参数(内旋/外旋、背伸/跖屈、内翻/外翻、上移/下移、内移/外移、前移/后移)、AOFAS评分及VAS评分方面改善程度均优于对照组(P < 0.001)。影像学结果显示,重建组间踝间隙及距骨倾斜角恢复更佳(P < 0.001)。两组术后并发症发生率差异无统计学意义(P > 0.05)。 结论 在关节骨折合并三角韧带损伤的治疗中,带线锚钉重建三角韧带可有效改善踝关节运动功能,提高AOFAS评分,减轻疼痛,促进影像学复位,且不增加术后并发症风险,是治疗此类损伤的安全有效方法。

关键词: 带线锚钉, 三角韧带, 关节骨折, 六自由度运动参数, 功能评分

Abstract:

Objective To investigate the impact of deltoid ligament reconstruction using suture anchors on multidimensional motor function in patients with ankle fractures combined with ligament injuries. Methods A retrospective cohort study included 210 patients undergoing open reduction and internal fixation (ORIF) for ankle fractures with confirmed DL injuries between March 2023 and March 2024. Based on intraoperative management of the DL, patients were allocated to a reconstruction group (received suture anchor-based DL reconstruction, n = 110; 4 lost to follow-up) or a control group (ORIF alone without DL reconstruction, n = 100; 2 lost to follow-up). Outcomes assessed preoperatively and at 3, 6, and 12 months postoperatively included: 6DOF ankle motion parameters (internal/external rotation, dorsiflexion/plantarflexion, inversion/eversion, superior/inferior translation, medial/lateral translation, anterior/posterior translation), American Orthopaedic Foot & Ankle Society (AOFAS) scores, visual analogue scale (VAS) pain scores, and radiographic parameters (medial clear space, talar tilt angle). Clinical efficacy at 12 months and postoperative complication rates were also compared. Results The reconstruction group demonstrated significantly longer operative times, greater intraoperative blood loss, and longer hospital stays compared to the control group (all P < 0.001). At 12-month follow-up, the excellent and good rate (based on AOFAS) was significantly higher in the reconstruction group (93.40% vs. 81.63%, P < 0.05). While all parameters improved significantly over time in both groups, the reconstruction group exhibited significantly greater improvements in all 6DOF motion parameters, higher AOFAS scores, and lower VAS scores at all postoperative time points (all P < 0.001). Radiographically, the reconstruction group achieved significantly better restoration of the medial clear space and talar tilt angle at all postoperative assessments (all P < 0.001). Postoperative complication rates did not differ significantly between the groups (P > 0.05). Conclusion For patients with ankle fractures combined with deltoid ligament injuries, suture anchor-based anatomical reconstruction of the deltoid ligament effectively restores multidirectional ankle kinematics, improves functional outcomes as measured by the AOFAS score, alleviates pain, and facilitates radiographic reduction, without increasing the risk of postoperative complications, thereby representing a safe and effective treatment strategy.

Key words: suture anchor, deltoid ligament, ankle fracture, Six Degrees of Freedom motion parameters, functional score

中图分类号: