实用医学杂志 ›› 2023, Vol. 39 ›› Issue (23): 3058-3064.doi: 10.3969/j.issn.1006-5725.2023.23.006

• 基础研究 • 上一篇    下一篇

基于OPG/RANKL/RANK信号通路探究“引血下行法”调控激素性股骨头坏死骨代谢表达的影响

区志坚1,李希文1,邱华耀1,黄思聪1,林烁2,李逸群1()   

  1. 1.佛山市第二人民医院骨科 (广东 佛山 528000 )
    2.佛山市南海区第七人民医院中医科 (广东 佛山 528231 )
  • 收稿日期:2023-07-21 出版日期:2023-12-10 发布日期:2024-01-08
  • 通讯作者: 李逸群 E-mail:lyq2703@126.com
  • 基金资助:
    广东省中医药局面上项目(编号:[2020]366号,20212222);李逸群佛山市名中医传承工作室项目(佛卫函[2022]92号)

Effect of TCM⁃based prescription for “Bringing Blood Downward” on osseous metabolism in steroid⁃induced osteonecrosis of the femoral head through OPG/RANKL/RANK signaling pathway

Zhijian OU1,Xiwen LI1,Huayao QIU1,Sicong HUANG1,Shuo LIN2,Yiqun. LI1()   

  1. *.Department of Orthopaedics,Foshan Second People's Hospital,Foshan 528000,China
  • Received:2023-07-21 Online:2023-12-10 Published:2024-01-08
  • Contact: Yiqun. LI E-mail:lyq2703@126.com

摘要:

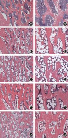
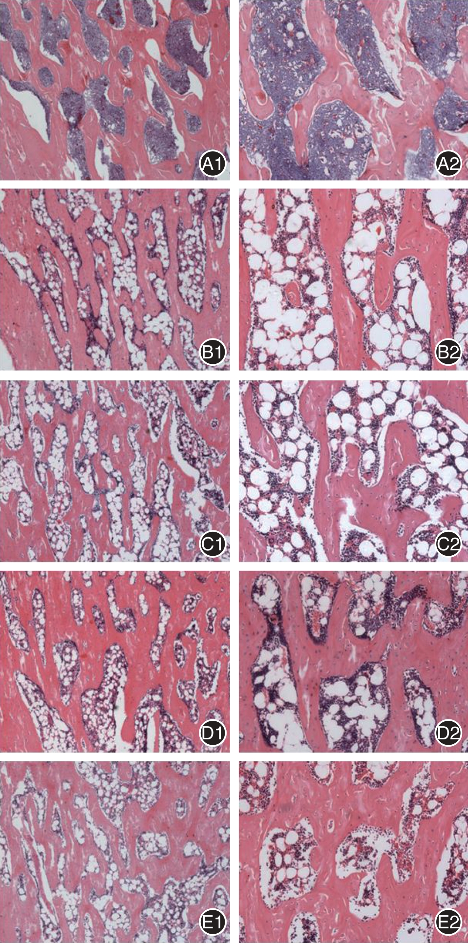
目的 基于OPG/RANKL/RANK信号通路,探究激素性股骨头坏死(SONFH)的发病机制及“引血下行法”治疗SONFH的作用靶点。 方法 将50只雄性SD大鼠随机分为造模组和对照组(C组),造模组采用脂多糖联合甲强龙的方法建立SONFH模型。6周后从两组中随机抽取2只大鼠取新鲜股骨头组织,光镜下行组织形态学检测确认造模成功。含生药浓度分别为2.5、5、10 g/kg的引血下行方对低、中、高剂量治疗组(分别为L组、M组、H组)行灌胃处理;5 g/(kg·d)生理盐水对模型组(O组)、对照组(C组)行灌胃处理。4周后检测各组股骨头组织的病理变化和OPG、TRAF-6、RANKL表达水平。 结果 与O组相比,光镜下L组、M组、H组股骨头组织的软骨细胞及细胞基质减少程度、破骨性吸收程度、骨小梁结构破坏程度均较轻;细胞脂肪化程度较低。C组及各剂量治疗组的脂肪细胞密度均显著低于O组(P < 0.01);C组骨髓腔面积小于O组(P < 0.05),各剂量治疗组与O组差异均无统计学意义(P > 0.05)。C组、L组、M组、H组的OPG、RANKL、TRAF-6的表达水平及OPG/RANKL比值均低于O组(P < 0.01)。 结论 “引血下行法”能改善股骨头微循环环境,诱导骨小梁生成,起到治疗SONFH的作用;其可能作用机制存在多靶点效应或多样化效应。

关键词: 激素性股骨头坏死, OPG/RANKL/RANK信号通路, TRAF-6, 引血下行法, SONFH模型

Abstract:

Objective To explore the pathogenesis of steroid-induced osteonecrosis of the femoral head (SONFH) and the mechanism of Traditional Chinese Medicine(TCM)-based prescription for “Bringing Blood Downward” targeting SONFH through the OPG/RANKL/RANK signaling pathway. Methods Fifty male SD rats were randomly divided into model group and control group. The rats in the model group were treated with LPS and methylprednisolone to build a SONFH model. After 6 weeks, two rats were randomly selected respectively from the two groups, and the SONFH model was confirmed by histomorphological examination under light microscopy. The rats in a low, medium and high dose treatment groups (group L, M, and H) were intragastrically administrated with the Prescription for “Bringing Blood Downward” at concentrations of 2.5/5/10 g/kg. While the rats in the model group and control group were intragastrically administrated with normal saline at a concentration of 5 g/(kg·d). The pathological changes and expression levels of OPG, TRAF-6, and RANKL in each group were examined 4 weeks later. Results Compared with the model group, chondrocytes and cell matrix of groups L, M and H were less reduced, osteoclastic absorption and trabecular structure were less destroyed and the cells were less adipose. The adipocyte density in the control group and each treatment group was significantly lower than that in the model group (P < 0.01). In the control group, the bone marrow cavity area was smaller than that in the model group(P < 0.05), but there was no significant difference between each dose treatment groups and the model group (P > 0.05). The expression levels of OPG, RANKL, TRAF-6 and OPG/RANKL ratio in the control group and groups L, M and H were significantly lower than those in the control group (P < 0.01). Conclusion The TCM-based prescription for “Bringing Blood Downward” works to treat SONFH byregulating the activity of osteoclasts and osteogenic differentiation process of osteoblasts, improving the microcirculation environment of the femoral head, and inducing the formation of trabecular bone through the OPG/RANKL/RANK signaling pathway. It functions with its multitargetsin diverse methods.

Key words: steroid-induced osteonecrosis of the femoral head, OPG/RANKL/RANK signaling pathway, TRAF-6, Bringing Blood Downward, animal model of SONFH

中图分类号: