实用医学杂志 ›› 2025, Vol. 41 ›› Issue (14): 2231-2236.doi: 10.3969/j.issn.1006-5725.2025.14.016
摘要:
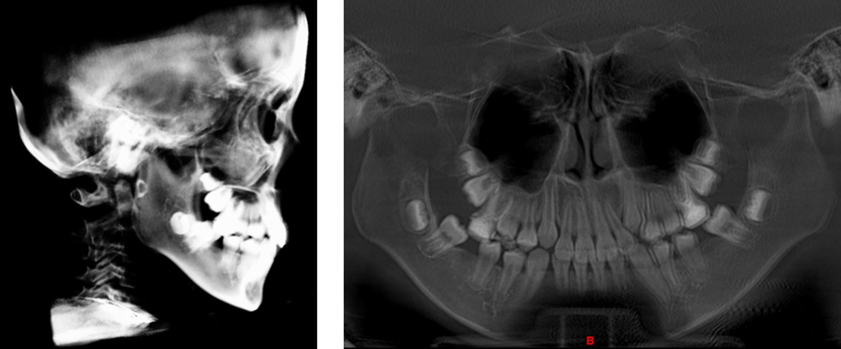
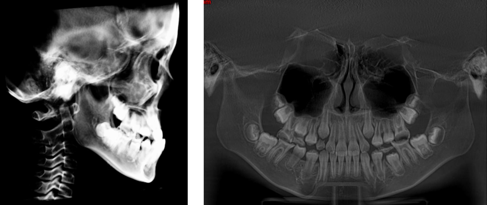
目的 探讨上颌前牵引联合个性化钛板治疗生长发育期骨性Ⅲ类错的临床效果。 方法 纳入2021年5月至2023年5月本院收治的96例生长发育期骨性Ⅲ类错
患者,采用随机数字表法分组,奇数为对照组(n = 48),偶数为观察组(n = 48),对照组予以上颌前牵引治疗,观察组予以上颌前牵引联合个性化钛板治疗,比较两组临床疗效、颌面部软组织指标(LL-EP、NLA、G-SnPg)、硬组织指标[上牙槽座角(SNA)、下牙槽座角(SNB)、上下牙槽座角(ANB)、下颌平面角度(MP-SN)、颌平面与眶耳平面(FH)角度(MP-FH)、上颌骨位置(A-OLP)、下颌骨位置(Pg-OLP)、Y轴角度(Y轴角)]、舌骨位置、牙性指标[H-X、H-Y、H-MP、H-FH]及不良反应发生情况。 结果 治疗后,观察组治疗总有效率较对照组高(P < 0.05);观察组LL-EP较对照组小(P < 0.05);观察组SNA、ANB、MP-SN、MP-FH、A-OLP及Y轴角均较对照组大(P < 0.05);观察组H-X、H-Y较对照组大(P < 0.05);观察组U1-NA较对照组大,覆
较对照组短(P < 0.05);两组不良反应发生情况无显著差异(P > 0.05)。 结论 上颌前牵引联合个性化钛板治疗可显著提升骨性Ⅲ类错
患者的临床疗效,改善软硬组织结构、舌骨位置及牙性指标,且安全性良好。
中图分类号: