实用医学杂志 ›› 2025, Vol. 41 ›› Issue (10): 1525-1532.doi: 10.3969/j.issn.1006-5725.2025.10.014

• 临床研究 • 上一篇    

四维牵引治疗老年退行性腰椎管狭窄症的疗效、腰肌形态学及力学性能评估

冯思仪1,李艳娇1,钟锐1,郭俊彪2()   

  1. 1.广州中医药大学第二附属医院,芳村超声科,(广东 广州 510000 )
    2.广州中医药大学第二附属医院,芳村脊柱科,(广东 广州 510000 )
  • 收稿日期:2025-01-17 出版日期:2025-05-25 发布日期:2025-05-21
  • 通讯作者: 郭俊彪 E-mail:yrtb0731@163.com
  • 基金资助:
    广东省中医药局科研项目(20241118)

Efficacy, lumbar muscle morphology and mechanical property in the elderly with degenerative lumbar spinal stenosis treated with four⁃dimensional traction

Siyi FENG1,Yanjiao LI1,Rui ZHONG1,Junbiao. GUO2()   

  1. *.Fangcun department of Ultrasound,the Second Affiliated Hospital of Guangzhou University of Traditional Chinese Medicine,Guangzhou 510000,Guangdong,China
  • Received:2025-01-17 Online:2025-05-25 Published:2025-05-21
  • Contact: Junbiao. GUO E-mail:yrtb0731@163.com

摘要:

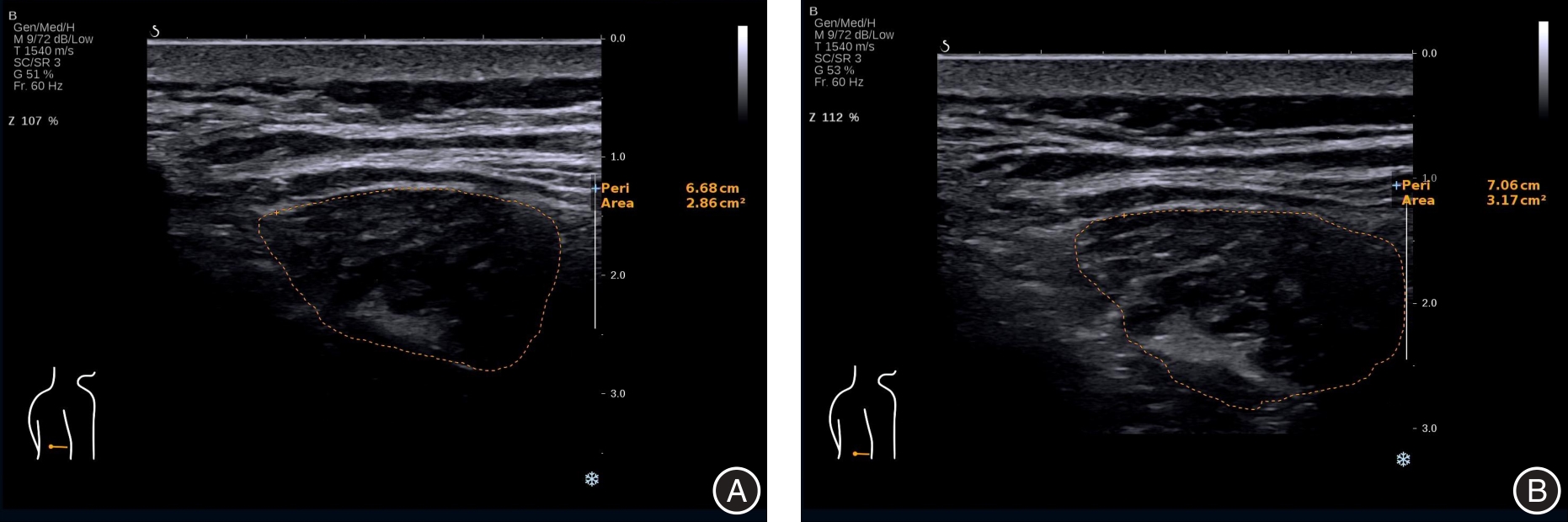
目的 分析四维牵引治疗老年退行性腰椎管狭窄症(DLSS)疗效、腰肌形态学及力学性能的效果。 方法 选择2022年1月至2024年2月广州中医药大学第二附属医院收治的老年DLSS患者按治疗方式分为观察组(肌肉锻炼+四维牵引,40例)和对照组(常规肌肉锻炼,40例)。对照组接受常规肌肉锻炼,观察组接受肌肉锻炼+四维牵引治疗,治疗4周。进行超声多模态检查,比较两组腰肌肌群形态学、力学性能、腰椎活动度、间歇性跛行距离、视觉模拟评分(VAS)、Oswestry功能障碍指数(ODI)。 结果 治疗后,观察组多裂肌厚度、多裂肌周长、多裂肌横截面积、压痛阈、腰椎活动度均大于对照组(P < 0.05),多裂肌剪切波速度(SWV)、多裂肌杨氏模量、肌张力、屈曲伸直比均小于对照组(P < 0.05),间歇性跛行距离长于对照组(P < 0.05)。治疗结束后及随访12个月期间,观察组VAS评分、ODI指数均低于对照组(P < 0.05)。 结论 四维牵引联合肌肉锻炼治疗能有效改善老年DLSS患者的临床症状、肌肉功能和力学性能。

关键词: 老年, 退行性腰椎管狭窄症, 四维牵引, 肌肉锻炼, 超声多模态, 多裂肌

Abstract:

Objective To evaluate the efficacy of four-dimensional traction in elderly patients with degenerative lumbar spinal stenosis (DLSS), focusing on changes in lumbar muscle morphology and mechanical properties. Methods Elderly patients with DLSS admitted to the Second Affiliated Hospital of Guangzhou University of Chinese Medicine from January 2022 to February 2024 were enrolled. Based on the treatment method, they were categorized into the study group (muscle exercise combined with four-dimensional traction, n = 40) and the control group (routine muscle exercise, n = 40). All participants underwent a 4-week treatment regimen and subsequently received multimodal ultrasound examinations. The morphology and mechanical properties of the lumbar muscle group, lumbar range of motion, walking distance in intermittent claudication, Visual Analogue Scale (VAS), and Oswestry Disability Index (ODI) scores were compared between the two groups. Results After treatment, the study group exhibited significantly greater improvements in multifidus muscle thickness, circumference, cross-sectional area, pressure pain threshold, and lumbar range of motion (P < 0.05). In contrast, the shear wave velocity (SWV), Young's modulus, muscle tension, and flexion-extension ratio of the multifidus muscle were significantly lower in the study group (P < 0.05). Additionally, the walking distance in intermittent claudication for the study group was markedly longer (P < 0.05). During the 12-month follow-up period after treatment, the VAS and ODI scores of the study group remained significantly lower (P < 0.05). Conclusion Four-dimensional traction in combination with muscle exercise can effectively alleviate clinical symptoms, enhance muscle function, and improve mechanical properties in elderly patients with DLSS.

Key words: elderly, degenerative lumbar spinal stenosis, four-dimensional traction, muscle exercise, multimodal ultrasound, multifidus muscle

中图分类号: