实用医学杂志 ›› 2024, Vol. 40 ›› Issue (21): 3113-3118.doi: 10.3969/j.issn.1006-5725.2024.21.024

• 疑难病例研讨 • 上一篇    

一例主动脉瓣感染性心内膜炎致瓣膜赘生物患者的综合诊治

黄沛森,薛睿聪,何建桂,董吁钢,刘晨   

  1. 中山大学附属第一医院心内科 (广东 广州 510080 )
  • 收稿日期:2024-08-26 出版日期:2024-11-10 发布日期:2024-11-19
  • 基金资助:
    广东省自然科学基金项目(2023A1515010627)

Comprehensive diagnosis and treatment of a patient presenting with aortic valve vegetations due to Infective endocarditis

Peisen HUANG,Ruicong XUE,Jiangui HE,Yugang DONG,Chen. LIU   

  1. Department of Cardiology,the First Affiliated Hospital of Sun Yat?sen University,Guangzhou 510080,Guangdong,China
  • Received:2024-08-26 Online:2024-11-10 Published:2024-11-19

摘要:

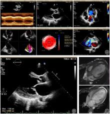
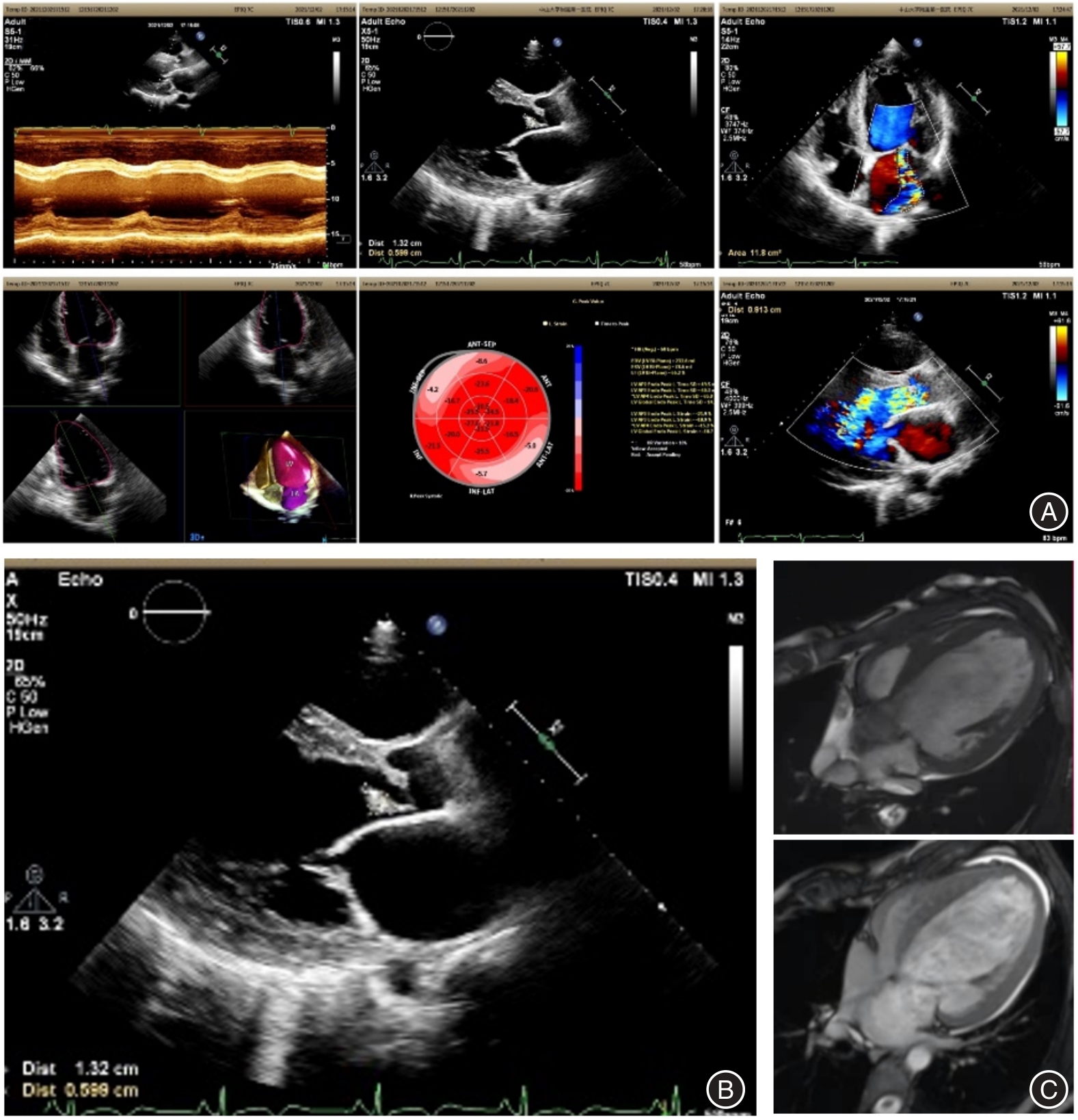
1例36岁青年男性因胸闷、气促10余天入院,超声心动图提示主动脉瓣重度关闭不全、主动脉瓣赘生物、二尖瓣重度关闭不全、左房左室增大。经多学科会诊讨论,以患者主动脉瓣赘生物为切入点,将患者瓣膜病病因聚焦在血培养阴性的感染性心内膜炎(IE)和非细菌性血栓性心内膜炎,并与风湿性心脏瓣膜病相鉴别。最终经外科主动脉瓣置换术取赘生物行组织病理学、生物培养及病原微生物高通量宏基因组二代测序,最终确诊为贝纳特柯克斯体导致的主动脉瓣感染性心内膜炎(Q热IE)。

关键词: Q热感染性心内膜炎, 主动脉瓣赘生物, 感染性心内膜炎, 立克次体

Abstract:

A 36-year-old male patient was hospitalized due to persistent chest tightness and dyspnea lasting over 10 days. An echocardiogram revealed significant aortic valve regurgitation, the presence of vegetation on the aortic valve, severe mitral valve regurgitation, and enlargement of both the left atrium and left ventricle. Following a comprehensive multidisciplinary consultation, the focus was directed towards the aortic valve vegetation as the primary concern, with particular attention given to the potential diagnosis of blood culture-negative infective endocarditis (IE) and non-bacterial thrombotic endocarditis, while differentiating it from rheumatic heart disease. Ultimately, the vegetation was excised during a surgical aortic valve replacement procedure, which facilitated histopathological examination, biological culture, and high-throughput metagenomic sequencing of pathogenic microorganisms. The definitive diagnosis was established as aortic valve infective endocarditis (Q fever IE) leading by infection of Coxiella burnetii.

Key words: Q fever infective endocarditis, aortic valve vegetations, infective endocarditis, rickettsia

中图分类号: