实用医学杂志 ›› 2024, Vol. 40 ›› Issue (8): 1142-1147.doi: 10.3969/j.issn.1006-5725.2024.08.021

• 医学检查与临床诊断 • 上一篇    下一篇

人工智能视网膜微血管分析在糖尿病并发症中的应用价值

张锐,周颖,倪文吉,黄亚,李丹丹,金涛,钟勇()   

  1. 中国人民解放军东部战区总医院健康医学科 (南京 210018 )
  • 收稿日期:2023-08-31 出版日期:2024-04-25 发布日期:2024-04-19
  • 通讯作者: 钟勇 E-mail:zhongyongnj@163.com
  • 基金资助:
    江苏省老年健康科研项目(LKM2023021);院内课题(2023LCYYQH019)

Application value of artificial intelligence⁃basedretinal microvascular analysis in diagnosis of diabetes complications

Rui ZHANG,Ying ZHOU,Wenji NI,Ya HUANG,Dandan LI,Tao JIN,Yong. ZHONG()   

  1. Department of Health Medicine,Eastern Theater Command General Hospital of PLA,Nanjing 210018,China
  • Received:2023-08-31 Online:2024-04-25 Published:2024-04-19
  • Contact: Yong. ZHONG E-mail:zhongyongnj@163.com

摘要:

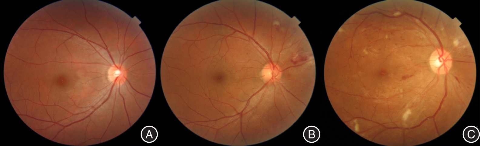
目的 探讨人工智能视网膜微血管指标分析在糖尿病视网膜病变(DR)、糖尿病肾病(DN)等糖尿病并发症诊断中的应用价值。 方法 选取2022年1-12月健康医学科和内分泌科共305例受检者作为研究对象,并根据糖尿病及并发症情况分为健康对照组(n = 119)、糖尿病无DR组(n = 100)、糖尿病并发DR组(n = 86)。糖尿病并发DR组进一步分为无DN组(n = 50)与并发DN组(n = 36)。收集所有受试者的临床资料、实验室检查指标及眼底照相检查结果。本研究采用独立样本t检验、Kruskal-Wallis H检验、logistic回归分析进行数据统计分析。 结果 三组间FBG、2hPBG、HbA1c、视网膜中央动脉当量(CRAE)、视网膜动静脉比值(AVR)差异有统计学意义(P < 0.05)。糖尿病并发DR的患者中,无DN组与并发DN组的糖尿病病史、出血总个数、渗出总面积、渗出最大面积及渗出总个数差异有统计学意义(均P < 0.05)。视网膜微血管指标与DN存在相关性,当视网膜出血总面积、渗出总面积、渗出最大面积增加时,DN患病风险上升。 结论 AI视网膜微血管分析对糖尿病患者并发症的情况有提示和辅助诊断的价值。

关键词: 健康体检, 人工智能, 眼底照相, 糖尿病视网膜病变, 糖尿病肾病

Abstract:

Objective To explore the application value of artificial intelligence(AI) based retinal microvascular analysis in the diagnosis of diabetes retinopathy (DR), diabetes nephropathy (DN) and other diabetes complications. Methods From January to December 2022, 305 subjects from the Health Medicine Department and Endocrine Department of the Eastern Theater Command General Hospital of PLA were divided into healthy control group (n = 119), diabetes without DR group (n = 100), and diabetes with DR group (n = 86) according to the condition of diabetes and its complications. The group of diabetes with DR was further divided into the group without DN (n = 50) and the group with DN (n = 36). Clinical data, laboratory test indicators, and fundus photography results of all the subjects were collected. Independent sample t-test, Kruskal Wallis H-test, and logistic regression analysis were used for data analysis. Results There were statistically significant differences in FBG, 2hPBG, HbA1c, central retinal artery equivalent (CRAE), and retinal arteriovenous ratio (AVR) among the three groups (all P < 0.05). In patients with diabetes complicated with DR, there were statistically significant differences in the history of diabetes, total number of bleeding, total area of exudation, maximum area of exudation and total number of exudation between non-DN group and DN group (all P < 0.05). There was correlation between retinal microvascular indicators and diabetic retinopathy. When the total area of retinal hemorrhage, total area of exudation, and maximum area of exudation increased, the risk of diabetic retinopathy increased. Conclusion AI-based retinal microvascular analysis has value in providing prompt indication and assisting with the diagnosis of complications in diabetic patients.

Key words: physical examination, artificial intelligence, fundus photography, diabetes retinopathy, diabetic nephropathy

中图分类号: